dxy logo
首页丁香园病例库全部版块
搜索
登录

病例肱骨骨折髓内钉固定

骨科版达人 · 发布于 2023-01-02 · 来自 Android · IP 广西广西
3415 浏览
推荐、达人点赞 2 项荣誉
这个帖子发布于 2 年零 324 天前,其中的信息可能已发生改变或有所发展。

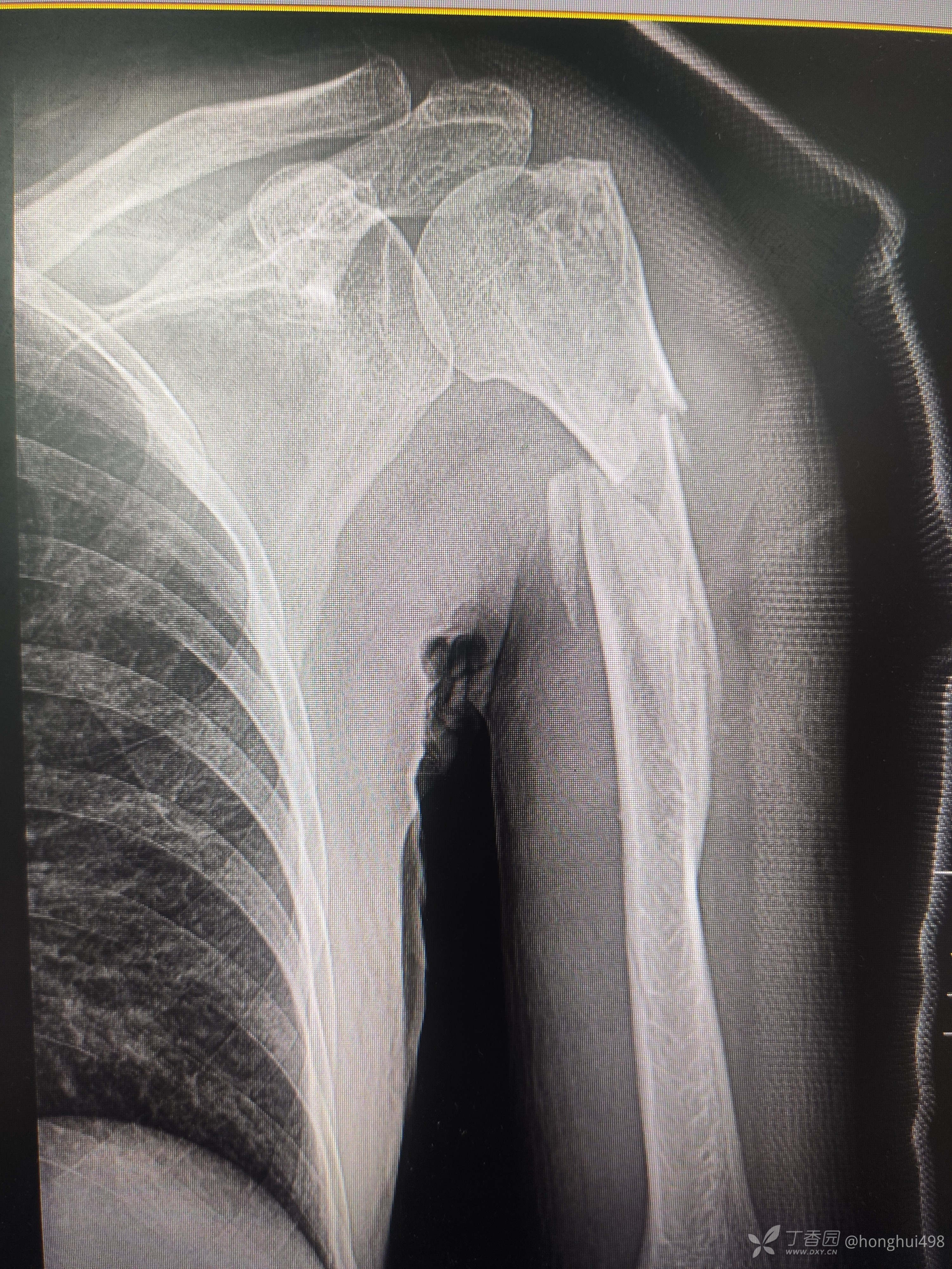
男性患者,62岁,摔倒致伤,入院诊断右肱骨骨折。麻醉下行肱骨骨折有限切开复位髓内钉+钢缆固定。

肱骨髓内固定做得比较少,但是手术还是顺利,此例患者你们如何选择固定方式?欢迎讨论

img


img


img


img


img


img
肱骨骨折 (133)
纠错
24 3 12
同行评议(0)
已评议
不开通精选
开通精选
精选已授权,待上线
评议结果暂未公布
参与评议
去邀请
NaN
病例完整NaN
临床实用NaN
诊疗科学NaN
学术价值NaN

全部讨论(0)

默认最新
avatar
24
分享帖子
share-weibo分享到微博
share-weibo分享到微信
认证
返回顶部