86岁男性低血糖昏迷纠正后出现定向力障碍
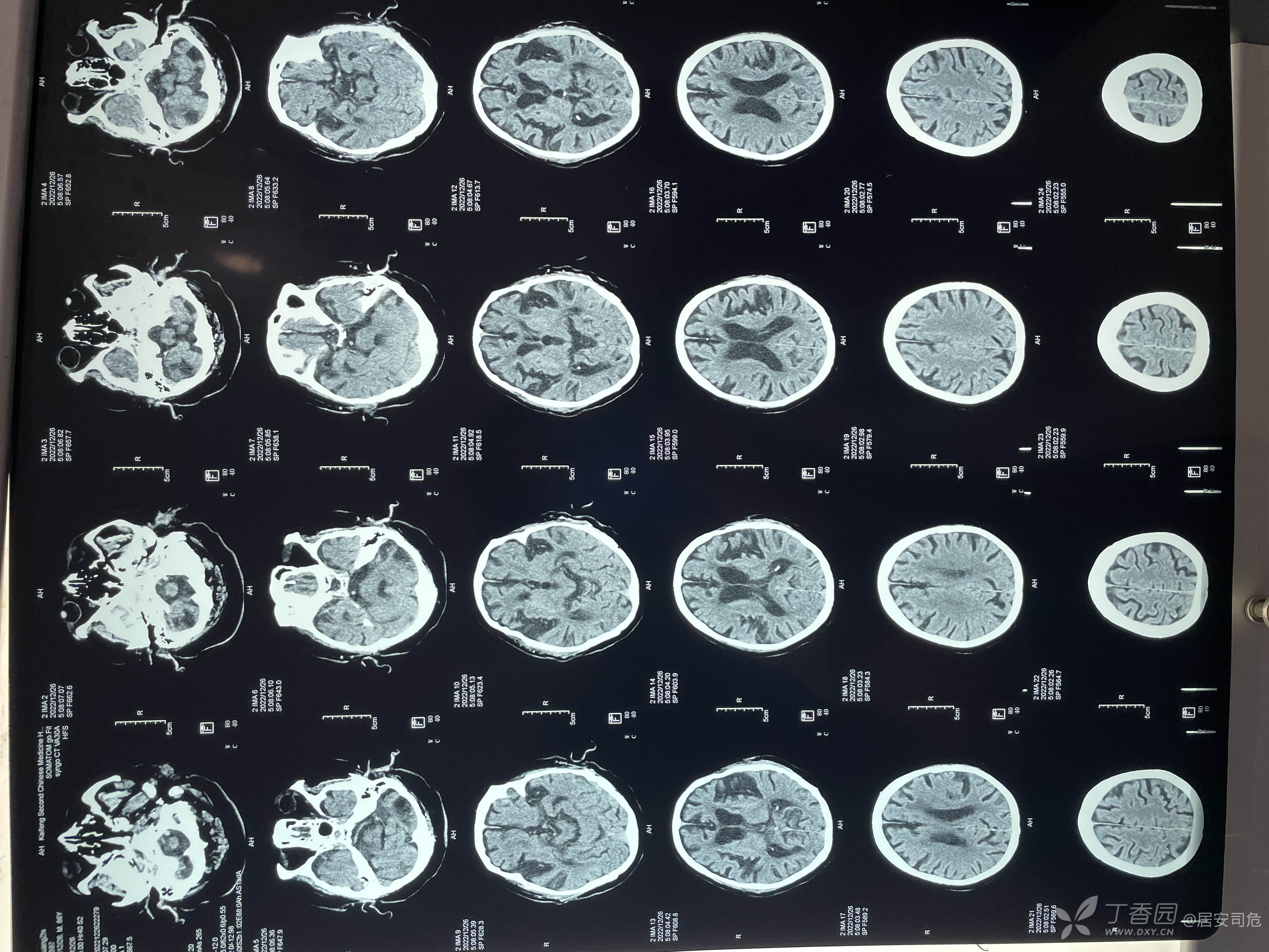
86岁男性,夜间睡眠时突发意识不清,家属发现时口吐白沫,呼之不应,无肢体抽搐及肌肉强直,120急诊查血糖1.0mmol/L,完善胸部CT,头颅CT(下图)对症处理后,意识转清。1周前有咳嗽,咳痰,胸闷症状,无发热,盗汗等,现因呼吸道症状入我院治疗。入院后予以抗生素(头孢呋辛联合莫西沙星),化痰,活血化瘀等治疗。治疗两天,出现定向力障碍,不认识人,近期记忆力下降,睡眠颠倒。四肢肌力肌张力正常,双病理征阴性。入院监测血糖8mmol/L,血压160/90mmHg左右。指脉氧96%,血常规及超敏C反应蛋白基本正常,肝肾功能正常。讨论脑脑功能障碍的原因是什么



















































