(原创)高乳酸血症之糟老头子坏得很
“最后确诊了绝症,医护却都笑了。”
抢救室夜班,应该是很闲的,23点50之前都可以这么说!
我坐在诊室无聊,就走回抢救室看急诊心内科抢救心梗后室颤的病人。
没看一会,急诊神经内科的医生走到我身边说,“抢救室是你吗?”!
“咋了?”
“我有个病人,头晕来的,查了颅脑Ct没事。我给查了个血气,乳酸9.0?”
“神清语力?四肢活动正常?不抽搐?”
“神清语力,四肢活动正常,不抽搐。”
“病人在哪里?”
“我刚把他转进来,在8床!”
“嗯”快步走到病人面前,第一眼看到的心电监护,心率130次/分,窦律,血压70/40mmhg,呼吸35次/分,血氧饱和度100%(吸氧2L/min)!
查体:神志清,对答如流,皮肤黏膜未见花斑,心肺听诊正常。
“这!休克了吧?你没给快速补点液体?”
神经内科值班的是个小姑娘,被我问的有点慌,很委屈的说,“补了!”
“我看了一眼滴的液体,银杏…”……
快速翻看患者的检查结果,如下:
患者男60岁,5年前肺叶切除病史,具体原因不详。










看完检查,立刻嘱,“开两路补500盐水,多巴胺180泵入,复查血气,顺便带出来肝功。”
抢救室护士回复,“嗯”
立即起身走到老人身边,“怎么不舒服来的?”
老人确实神清语力,说“头晕、憋气、恶心、呕吐、腹痛。”,很清楚的表达了5个症状!!!(就他这五个症状,让我忙了三个小时!)
“现在呢?好点吗?”
“没有!”
摸了下老人的手,很冷。
转身看向神经内科医生,“把医嘱补补。”,说完我转身就要回诊室。
神经内科医生跟着我一直走到抢救室门口,“你不收过去吗?”
“这么重,病因未明,你给我不好吧?”
“这么重,我看不了的,我做了Ct了,也不管我们神经内科的事!”
我看向她,我听她说这句话,我更不想要了,刚要说话,神经内科医生低下头继续说,“你要有我的病人,我也要。我求求你了。”
我回复笑容!神经内科医生立刻说,“我这就让去挂你的号。”
“等等,你别着急。”
转身又走回抢救室办公桌旁!打开老人的检查结果说,“心率快,血压低,高乳酸,血小板91都支持休克,DiC!”
说到DI C,立刻打开了患者的凝血,就D二聚体高?
又看了下肾功,肌酐正常。
肝功没测,刚让复查了。
继续说,“你看老人肝脏,结构已经改变,肝功能很差了。你把检查该完善的完善了,我就要!”
“我要给做什么检查?”
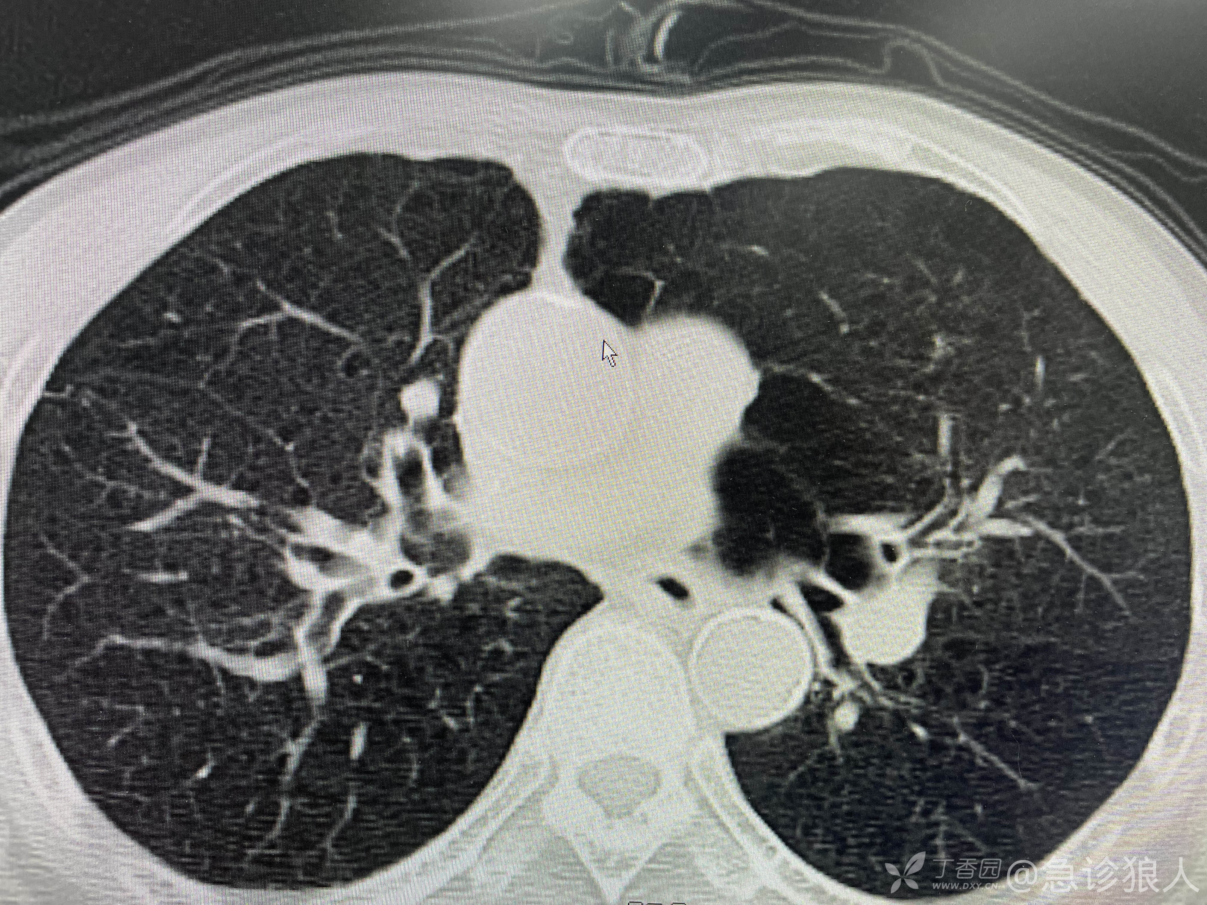
“腹部Ct你要给做了吧,你这Ct就扫到胸部。不做腹部你也要给Ct室打电话,让把这部分Ct结果出了吧?”
说完我立即起身,刚起身,神经内科医生说,“我已经让挂你号了。”
“你!我很忙的!”
快步走出抢救室,“谁是…家属?”
患者的儿子和老伴快步走到我身边。
“老人怎么不舒服来的,原来有什么病?”
“就是头晕,原来没病,5年前做过一次手术。”
“老人很重了,随时就没了,接受有创抢救吗?”
“这么快,都接受。”
回到抢救室坐在电脑旁,打开患者的检查!
从已经有的检查,你们能发现什么?
心率快、血压低、乳酸高、血小板低是支持休克的,但是凝血相对正常,肌酐正常的休克有吗?没有!是可以直接排除的,如果肝功出来,谷草转氨酶正常,就可以直接排除休克。很好理解,休克,外周灌注不足,乳酸中毒,横纹肌溶解,肾前性无尿,凝血的激活,这都是同步出现的。
很快第二次复查血气如下,相隔1小时!

乳酸6.6,依然很高!
和病人第二次交流,“能好点吗?”
中气十足,“还是憋气,恶心。”
我第一次遇到,我一点头绪没有的疾病!
要你们该如何继续抢救,需要做什么检查?
坐在电脑前,打通CT室电话,“你感觉…CT像啥?”
“哪里像啥?”
“肝脏上有没有占位,结构改变了,肝硬化了?”
“我只能报脂肪肝,看不出来其他!”
挂断电话,护士问我,“他咋了啊?给我个诊断,明天我们交班交他!”
“我要是知道他咋了,我还用这样?”
转身走出抢救室,继续给家属谈病危,希望老人猝死前,谈到放弃。
没用,家属依然要积极抢救。
又回到抢救室,继续死磕化验检查,肝功出来如下:

你们说,气不气,神经内科就给我个这样的病人!
谷草才88,老爷子神清气爽,直接可以把DIC排除!
我瞬间慌了,这这!没明确,就要没了!
继续死磕化验,心率快、血压低、D二聚体高,症状憋气,不会肺栓了吧!
立即给家属谈话,“老人很重,但是我不知道原因,现在做个强化,做出来没事,我也没有办法,你知道怎么了!”
我说了这样的话,没想到家属对我没一点怀疑,直接表达强化做。
很快强化结果出来,又完善了一次血气,如下:



乳酸进一步下降,强化正常。
凌晨1点,补了1500ml液体,血压上升,多巴胺停。
走回急诊诊室,把老人的老伴孩子叫到诊室,“检查能做的全做了,没看出来什么问题,但是感觉好转了,也不知道为什么好了!”
病人的儿子,“就没办法了吗?”
“也不是这么说,我给你们讲讲他现在的情况。头晕、憋气、恶心、呕吐、腹痛,症状涵盖了神经系统、消化系统、呼吸系统。看他CT肺气肿,肯定老慢支有了。腹部Ct,肝脏结构变了,脂肪肝这么重,还这么瘦,应该是个酒精肝,肝硬化,平时喝酒很多吧?”
病人老伴回复,“喝不多,每天就让喝八两白酒。”
“八两白酒?”
“嗯”
立即起身,走回抢救室,走到病人床边,问“你今天是不是喝多了?”
“是”
“憋气一直就憋气?”
“是,一直就憋气。”
“老爷子,你这不就是喝多了吗?你咋来的时候不说?”
说完这句话,抢救室的护士全笑了。
恶心、呕吐、头晕,这不就是喝多了!憋气是老慢支,腹痛是因为酒精肝肝硬化腹水,隐隐地痛。所有的检查都能解释!
快步走回诊室,“你爸没事了,就是个酒精肝,肝硬化,肝病的晚期,这次应该是偷喝酒了,喝多了。”
忙了一夜,真气啊!啥都不是,躺倒睡觉!糟老头子坏得很!
















































