消化系统少见病(一百十五):出乎意料的结肠病变
一名60岁的女性因每日数次不成形便而就诊。
之前15年间因便秘而长期服用中草药治疗。
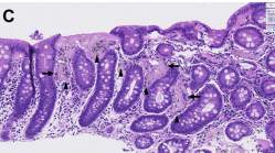
肠镜检查可见全结肠粘膜呈棕黑色,由盲肠至降结肠另可见多发淡青铜色区(图A)。病理所见如图B,图C为局部放大所见。
请问:诊断是什么?
A 结肠黑变病 B 肠系膜静脉硬化 C 结肠早癌 D 结肠淀粉样变



(CGH,22-Aug)
上一期:消化系统少见病(一百十四):肠镜检查后腹痛 - 消化内科 - 专业医生社区,医学、药学、生命科学、科研学术交流 (dxy.cn)
下一期:消化系统少见病(一百十六):食管粘膜下占位(回帖讨论赢丁当) - 消化内科 - 专业医生社区,医学、药学、生命科学、科研学术交流 (dxy.cn)















































