神经科常见 MRI「影像征」汇总
青鹊词等 2人推荐神经影像疾病种类繁多,有些疾病具有典型的影像学表现,将影像学征象与生活中的图形联想起来,不仅能提高学习兴趣,更能加深对该疾病的辨识和记忆,从而更好的应用于临床工作中。我们共同学习一系列常见神经影像征象,希望对大家有所帮助。
1 虎眼征
虎眼征:常见于 Hallervorden-Spatz 综合征,又称苍白球黑质变性病,或泛酸激酶相关性神经变性病,是一种罕见的神经系统变性病。
影像学征象解析:双侧苍白球 T2WI 对称性低信号,苍白球低信号的前内侧出现斑片状高信号,即呈现典型的「虎眼征」;MRI 梯度回波序列显示铁质沉积更加敏感。
病理基础:双侧苍白球及黑质对称性低信号(铁质沉积)与高信号(神经元脱失、神经胶质增生、脱髓鞘与轴索肿胀)共同构成。
注意:「虎眼征」并非 Hallervorden-Spatz 综合征特有征象,有文献报道此征象可见于海洛因脑病及神经铁蛋白病等。

图 1. Hallervorden-Spatz 综合征
A. 轴位 T2WI 双侧苍白球可见对称性低信号,其前内侧出现斑片状高信号(红色箭);B. 梯度回波序列显示更加明显(红色箭头);C. 虎眼示意图
2 虎纹征
虎纹征:常见于 Lhermitte-Duclos 病(LDD),又称小脑发育不良性神经节细胞瘤,是一种罕见的起源于小脑皮层的神经节细胞瘤,目前认为与发育异常或错构瘤有关,属于神经皮肤综合征的一部分。
影像学征象解析:MRI 表现为相对边界清楚的小脑肿块,T1WI 呈等及低信号,T2WI 呈高及低信号相间排列,呈虎纹状或条纹状改变,病变可存在占位效应,引起周围邻近结构受压,增强扫描通常无强化。「虎纹征」是 LDD 特征性影像学表现。
病理基础:LDD 的病理特征是小脑皮层异常弥漫性肥厚,颗粒层的浦肯野细胞与颗粒细胞被神经节细胞所取代,而内层颗粒层增厚,外层分子层虽增厚但仍维持皮层结构伴邻近白质萎缩,从而影像学上呈特征性「虎纹征」表现。

图 2. Lhermitte-Duclos 病
A. 轴位 T2WI 见右侧小脑半球占位,边界清楚,可见虎纹状改变(红色箭),脑干及第四脑室受压变形;B. 轴位 T2FLAIR 病变呈稍高信号;C. 虎纹示意图
3 海蛇头征
海蛇头征:又称为水母头征,常见于脑发育性静脉畸形(DVA),包括了单支扩张的静脉或一簇异常扩张的静脉。
影像学征象解析:多见于大脑深部和小脑白质内,由畸形的静脉成放射状排列并汇聚汇入中央扩张的静脉干组成,血流最终汇入表浅皮层静脉或硬膜窦。在影像学检查时呈海蛇头状,称为「海蛇头征」。通常在 CT 或 MR T1WI 增强扫描序列显示明显,梯度回波序列显示畸形静脉更加敏感。
病理基础:是由放射状排列的异常髓静脉汇入中央扩张的引流静脉干所组成,畸形血管周围是正常的神经组织,形成「海蛇头」征,通常不伴有供血动脉和直接的动静脉短路。

图 3. 脑发育性静脉畸形(DVA)
A. 轴位 T2 FLAIR 示右侧小脑条片状稍高信号影(红色箭);B. 轴位 T1WI 增强扫描呈海蛇头样的深部髓静脉(蓝色箭)汇集到单根粗大的引流静脉(红色箭头),最终汇入直窦;C. 海蛇头或水母头示意图
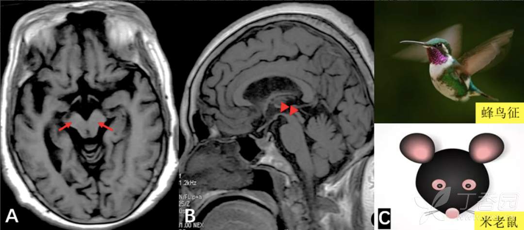
4 蜂鸟征
蜂鸟征:又称为鸟嘴征,常见于进行性核上性麻痹(PSP)。
影像学征象解析:头部 MRI 表现为中脑萎缩,第三脑室扩大,导水管扩张,四叠体池增大,正中矢状位 T1WI 中脑顶端萎缩,表现为中脑中脑顶端的平坦或凹陷,即为「蜂鸟征」,轴位图像中脑表现为「米老鼠征」。
病理基础:蜂鸟征形成的病理基础主要是中脑被盖的萎缩和中脑被盖前后径的缩小引起的脚间窝长度的相对增加而形成,引起蜂鸟征表现主要提示中脑被盖的萎缩表现。

图 4. 进行性核上性麻痹(PSP)
A. 轴位 T1WI 示中脑前后径缩短,呈「米老鼠征」(红色箭);B. 矢状位 T1WI 示中脑顶端平坦或凹陷,呈「蜂鸟征」
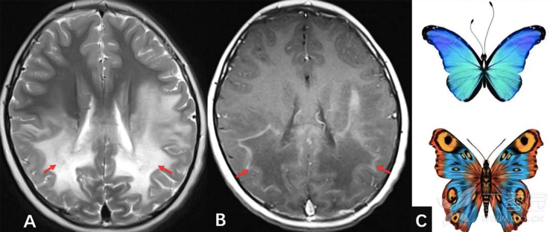
5 半蝴蝶征或蝶翼征
半蝴蝶征或蝶翼征:神经科有多种疾病均可表现为半蝴蝶征或蝶翼征,如肾上腺脑白质营养不良(ALD)、中枢神经系统淋巴瘤和胶质母细胞瘤。
1)肾上腺脑白质营养不良(ALD)
影像学征象解析:表现为双侧顶枕叶侧脑室周围对称性异常密度或信号,呈「蝶翼状」改变,从后向前发展,累及颞叶和额叶,也可累及胼胝体,脑干及皮质脊髓束,但不累及皮层下 U 型纤维;增强扫描病灶周边可见强化,提示处于活动期,晚期增强无强化且伴有脑萎缩。

图 5-1. 肾上腺脑白质营养不良(ALD)
A. 轴位 T2WI 示双侧顶枕叶侧脑室周围对称性异常高信号,胼胝体亦受累,呈「蝴蝶翼」样改变(红色箭);B. 轴位 T1WI 增强扫描,病变周边可见强化呈「火焰状」改变(红色箭),提示病变处于活动期
2)中枢神经系统淋巴瘤
影像学征象解析:中线部位的中枢神经系统淋巴瘤累及胼胝体后可通过胼胝体扩散至双侧大脑半球,形成蝶翼样表现,除此之外,淋巴瘤增强扫描后还可以表现为尖角征、握拳征或脐凹征。

图 5-2. 淋巴瘤
A. 轴位 T2WI 示胼胝体呈稍高信号,呈「蝴蝶翼」样改变(红色箭);B. 冠状位 T1WI 增强扫描,病变呈明显均匀强化呈「蝴蝶翼」样改变(红色箭头)
3)胶质母细胞瘤
影像学征象解析:大脑半球一侧的胶质母细胞瘤,可以跨越胼胝体侵犯对侧大脑半球,也可以室管膜下播散,形成「蝶翼样」改变。

图 5-3. 胼胝体胶质母细胞瘤
A. 轴位 T1WI 增强扫描示胼胝体膝部可见花环状强化,呈「蝴蝶翼」 样改变(红色箭);B. 冠状位 T1WI 增强扫描,病变呈明显不均匀强化,内部可见无强化区(坏死)(红色箭头);C. 大体标本示意图,胶质母细胞瘤通过跨越胼胝体侵犯双侧大脑半球
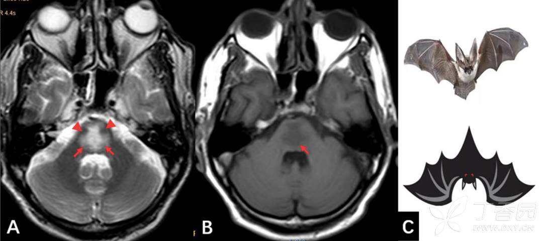
6 磨牙征
磨牙征:又称臼齿征,常见于 Joubert 综合征,又称先天性小脑蚓部发育不全,是一种罕见的起源于小脑皮层的神经节细胞瘤,目前认为与发育异常或错构瘤有关,属于神经皮肤综合征的一部分。
影像学征象解析:主要表现为小脑蚓部部分或完全缺乏、小脑上脚增宽、第四脑室变形(可呈蝙蝠翼状或三角形),而小脑半球通常正常。
病理基础:小脑蚓部不发育或发育不全而形成的异常的「中线裂」,其他改变包括齿状核变形、下橄榄核和旁橄榄核的发育不良等。
此外,由于小脑上脚纤维束缺乏正常交叉,导致小脑上脚垂直地行走于中脑和小脑间的脑干中,导致小脑上脚增粗,而且显得更为平行,小脑上脚的纤维缺乏交叉使得中脑前后径缩短、脚间窝增深,结合发育不良的小脑蚓部,中脑和小脑上脚形态在轴位图像上形似磨牙外观。

图 6. Joubert 综合征
A. 轴位 T2WI 示小脑上脚增粗,伴脑桥中脑连接处中线裂隙样增宽,加之小脑蚓部缺如,形成「磨牙样」改变(黄色箭);B. 小脑蚓部缺如(黄色箭);C. 第四脑室变形,呈「蝙蝠翼」样改变(黄色箭)
7 猫眼征
猫眼征:常见于 CO 中毒后迟发性脑病,CO 中毒后约 10~30% 患者发生 CO 中毒性脑病。
影像学征象解析:T2WI 双侧苍白球对称性斑片状稍高信号,类似于「猫眼征」,T1WI 呈稍低信号,内部可见呈稍高信号,T2 FLAIR 呈稍高信号。同时可出现双侧脑白质对称性高信号。
病理基础:由于苍白球为前脉络膜动脉和大脑中动脉深穿支供血,是血运薄弱区,对缺血和缺氧敏感,容易最先受累,发生缺血、坏死和软化。
注意:「猫眼征」并非 CO 中毒性脑病的特有征象,有文献报道其他中毒性脑病也可出现类似征象,如霉变甘蔗中毒、酒精中毒及缺血缺氧性脑病,需要结合临床病史。

图 7. CO 中毒后迟发性脑病(发病 2 周后 MRI)
A. 轴位 T2WI 示双侧苍白球可见片状稍高信号(红色箭),其内可见片状等信号(红色箭头),类似于 「猫眼征」 改变;B. 轴位 T2-FLAIR 示双侧苍白球片状稍高信号(红色箭),双侧大脑白质内也可将多发对称性稍高信号;C. 轴位 T1WI 示双侧苍白球稍低信号,其内可见片状稍高信号;D. 猫眼示意图
8 蝙蝠翼征
蝙蝠翼征:或三叉戟征,常见于脑桥中央髓鞘溶解症(CPM),是一种发生在中枢的特殊脱髓鞘疾病,通常与快速纠正低钠血症有关。该病变也可累及脑桥外的其他部位,如基底节、丘脑及大脑皮层深层等,称为脑桥外髓鞘溶解症(EPM),CPM 和 EPM 二者可以单独发生,也可以合并出现,现将两者合称为渗透性脱髓鞘综合征(ODS)。
影像学征象解析:T2WI 脑桥中央中线部位或基底部异常信号,形态呈双叶「蝙蝠翼样」或三角形「三叉戟样」,皮质脊髓束和被盖通常不受累。MRI 上的病灶和临床症状出现并不同步,往往有 1~2 周的时间差,MRI 特征性改变出现较迟。
病理生理基础:一般认为 CPM 的病理生理机制与脑内渗透压平衡失调有关。低钠血症时脑细胞处于低渗状态,此时补充高渗盐水过快,使血浆渗透压迅速升高,而钾、钠等未能尽快进入脑细胞,可能引起脑细胞急剧缺水,导致髓鞘和少突神经胶质的脱失,同时血脑屏障破坏,血管内皮细胞发生渗透性损伤,引起血管源性水肿,导致神经髓鞘脱失。
脑桥易发生髓鞘溶解,可能是由于少突胶质细胞位于含较多血管的灰质附近,使得脑桥对血管源性水肿和髓磷脂毒性因子释放特别敏感。

图 8-1. 脑桥中央髓鞘溶解症(CPM)
A. 轴位 T2WI 扫描示脑桥中央片状稍高异常信号,呈「蝙蝠翼」样改变(红色箭),而皮质脊髓束保持完整(红色箭头);B. 轴位 T1WI 示脑桥中央片状稍低信号(红色箭头);C. 蝙蝠翼示意图

图 8-2. 渗透性脱髓鞘综合征(ODS)
A. 轴位 T2WI 扫描示脑桥中央片状稍高异常信号,呈「三叉戟」样改变(红色箭),而皮质脊髓束保持完整(红色箭头);B. 轴位 T2WI 示双侧基底节区及双侧丘脑稍高异常信号(蓝色箭头);C. 三叉戟样示意图
9 熊猫脸征
熊猫脸征:常见于 Wilson 病脑部 MRI ,根据形态学不同在 T2WI 上又可分为大熊猫脸征和小熊猫脸征。
影像学征象解析:T2WI 序列上「大熊猫脸征」出现在中脑层面,红核为对称性低信号,构成熊猫的「眼睛」,而红核以外的中脑顶盖结构高信号构成熊猫的 「上半身白色轮廓」,侧面的黑质网状部的正常信号构成「耳朵」,上丘低信号构成「嘴巴」,从而构成所谓的「大熊猫脸征」。
而 T2WI 序列上「小熊猫脸」征出现在脑桥被盖层面,内侧纵束和中央被盖束呈低信号构成「眼睛」,导水管开口进入第四脑室的高信号构成「鼻子和嘴」。
病理基础:「熊猫脸征」是双侧中脑顶盖对称性异常信号,而红核信号正常为低信号,实际上是脑干结构选择易损性的不同表现,在不同层面表现为不同的征象,即「大熊猫脸征」和「小熊猫脸征」。
注意:「熊猫脸征」并非 Wilson 病脑部 MRI 特征性表现,有文献报道其他脑病也可出现类似征象,如 Leigh 病、脑干梗死、EB 病毒相关性脑炎、甲硝唑脑病、甲醇中毒及缺血缺氧性脑病,仅表现为脑干结构的选择易损性,需要结合临床病史。

图 9. Wilson 病脑部 MRI
A. 轴位 T2WI 扫描示中脑被盖高信号和正常低信号红核,类似「大熊猫脸征」样改变;B. 轴位 T2WI 示脑桥的中央被盖束呈低信号,第四脑室导水管开口高信号,类似「小熊猫幼崽脸部」;C. 大熊猫及小熊猫脸示意图
10 反兔耳征
反兔耳征:又称为「倒 V 字征」,常见于脊髓亚急性联合变性(SCD), 是由于维生素 B12 缺乏引起的神经系统变性疾病。
影像学征象解析:好发于颈胸髓,以脊髓的后索最先受累,可向上下扩展,逐渐累及侧索,前索及灰质受累少见。轴位 T2WI 上脊髓后索内对称性高信号,类似于「反兔耳征」或「倒 V 字征」,为脊髓亚急性联合变性典型影像学征象。矢状位 T2WI 上纵形条片状高信号,表现为多节段脊髓内(多超过 3 个脊髓节段)。
病理基础:维生素 B12 缺乏,影响神经系统的甲基化,使得髓鞘合成障碍、髓鞘的肿胀、断裂及髓鞘内空洞形成,随后可出现轴索变性和脱失、神经元死亡。

图 10. 脊髓亚急性联合变性(SCD)
A. 轴位 T2WI 扫描示脊髓后索内对称性高信号,呈「反兔耳征」或「倒 V 字征」;B. 矢状位 T2WI 示颈髓内长条状稍高信号,以背侧为主;C. 兔耳及「V」字示意图
11 猫头鹰眼征
猫头鹰眼征:也称为「蛇眼征」,常见于脊髓梗死,是各种原因引起的脊髓供血动脉缺血,该征象见于脊髓前动脉梗死。
影像学征象解析:脊髓梗死经典的影像学表现为轴位 T2WI 脊髓前侧呈稍高信号,呈「猫头鹰眼征」,常见于 70% 病例,DWI 呈明显高信号,ADC 呈低信号,矢状位上 T2WI 呈细铅笔样改变。
病理基础:脊髓的血供主要来自于脊髓前动脉和脊髓后动脉,脊髓前动脉起源于双侧椎动脉,供应脊髓横断面前 2/3,包括中央灰质、前角、侧角、前索和侧索等,但支配 C3~C4 的脊髓可能完全或主要来自 1 条椎动脉,所以脊髓前动脉相对易发生缺血梗死,而脊髓后动脉供应脊髓横断面的后 1/3,包括后角和后索,由于吻合支较多,较少发生血供障碍。
注意:脊髓梗死除了可以表现为「猫头鹰眼征」,T2WI 高信号还可以表现为前内侧斑、U/V 型、全灰质型及全脊髓型。

图 11-1. 脊髓前动脉梗死
A. 轴位 T2WI 扫描示颈髓前侧稍高信号,呈「猫头鹰眼样」,DWI 图呈明显高信号;B. 矢状位 T2WI 示颈髓前侧条状稍高信号,呈细铅笔样;C. 猫头鹰眼和蛇眼示意图

图 11-2. 脊髓动脉梗死不同表现
A. 矢状位 T2WI 表现为脊髓前部内线样高信号,呈「铅笔样改变」,轴位 T2WI 扫描示脊髓前侧对称性稍高信号,呈「猫头鹰眼样」;B. 矢状位 T2WI 示颈髓前侧条状稍高信号,轴位 T2WI 示前内侧斑点征;C. 矢状位 T2WI 示颈髓前侧条状稍高信号,轴位 T2WI 脊髓前部呈 U/V 高信号;D. 灰质完全受累型,脊髓肿胀,轴位 T2WI 示中央灰质高信号;E. 脊髓完全受累型,脊髓肿胀,T2WI 示整个脊髓高信号并延伸至圆锥
总之,神经系统疾病种类繁多,有些疾病有典型的影像学征象,对神经影像典型征象的准确识别,有助于我们快速准确进行疾病的影像诊断并。
这些和动物或动物的某些器官类似的征象便于辨认和记忆,从而能够单纯基于影像学征象准确诊断。但需要注意的是,有些影像征象不具有特异性,此时还需结合临床表现及实验室检查等。
本文首发:丁香园神经时间
















































