1 岁宝宝发热一天就病危,左肺全白!究竟什么病来得这么凶猛?
丁香通讯员 推荐感谢 @浙大儿院 分享的病例
患儿,男,1 岁,2022.08.23 入院
主诉:咳嗽 2 天,发热 1 天
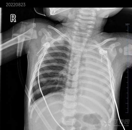
现病史:患儿 2 天前无明显诱因下出现咳嗽,为阵发性单声咳,不剧。1 天前咳嗽加重,频率较前增多,出现发热,体温最高 38.7℃,无畏寒寒战,无气促发绀,无呼吸困难,无烦躁不安,无嗜睡,无呕吐腹泻等,至当地市儿童医院就诊,予「拉氧头孢钠、盐酸氨溴素静滴、复方福尔可定口服溶液口服等对症治疗」,症状未见明显好转,夜间出现呼吸急促,嘴唇发绀,烦躁不安,遂住院治疗,查 CT,如下图所示:

全白的左肺
考虑「呼吸衰竭,支气管肺炎」,予「头孢他啶静滴抗感染,甲强龙抗炎平喘,雾化等对症治疗」,患儿病情进行性加重,出现呻吟、面色苍白、精神反应差,面罩吸氧 5L/min下血氧饱和度维持 90% 左右,为进一步诊治,120 转来我院,急诊拟「重症肺炎、呼吸衰竭」收住 ICU。
起病来患儿神志清,精神软,胃纳差(今日未进食),大小便无殊,体重无明显变化。
患儿于 3 天前曾有进食花生史,但家长诉当时无明显呛咳史。
既往史、个人史、出生史、家族史:无殊。
入院时查体:T 37.0℃,P 150 次/分,R 34 次/分,BP 97/56 mmHg,危重评分 88分 ,营养评分 0 分,GCS评分 11 分。面罩吸氧(流量 6 L/min)SPO2 仅维持 85-90%,精神差,无皮疹,颈软,双侧颈部未触及肿大淋巴结,呼吸急促,可见明显三凹征,左侧呼吸音消失,未闻及湿啰音;心律齐,心音中等,未闻及明显杂音,未及震颤;腹平软,肝脾肋下无肿大;心神经系统查体阴性,肌张力、肌力正常,CRT 2s。
化验室检查:
当地医院:
8.22 血常规:白细胞计数 19.82 × 10^9/L,中性粒细胞百分比 46.3%,血红蛋白 140 g/L,血小板计数 404 × 10^9/L,超敏 C 反应蛋白 3.76 mg/。
8.23血常规:白细胞计数 15.11 × 10^9/L,中性粒细胞百分比 80.9%,血红蛋白 125 g/L,血小板计数 290 × 10^9/,超敏 C 反应蛋白 13.96 mg/。
我院 8.23 急诊血气(吸氧状态下抽血):PH 7.309,二氧化碳分压 41.4 mmHg, 氧分压 77.0 mmHg,K+ 4.4 mmol/L,Na+ 134 mmol/L,Cl- 110 mmol/L,Ca2+ 1.17 mmol/L,Lac 1.6 mmol/L,HCO3- 20.2 mmol/L,ABE -5.3 mmo1/L。
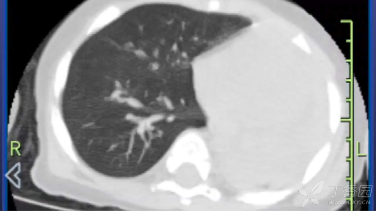
8.23 肺部 CT 如图:




各位老师和站友,该患儿左侧白肺在短短一天时间内出现,最可能的病因是什么?是「肺异物」还是其他?究竟是何方「神物」,这么凶猛?
欢迎大家积极讨论,写上您宝贵的意见和答案,期待您独到的见解!
















































