【影诊笔记497】左膝关节疼痛不适1周余就诊,有点难度~『骨巨细胞瘤』
患者性别:女
患者年龄:18岁
主 诉:左膝关节疼痛不适1周余。
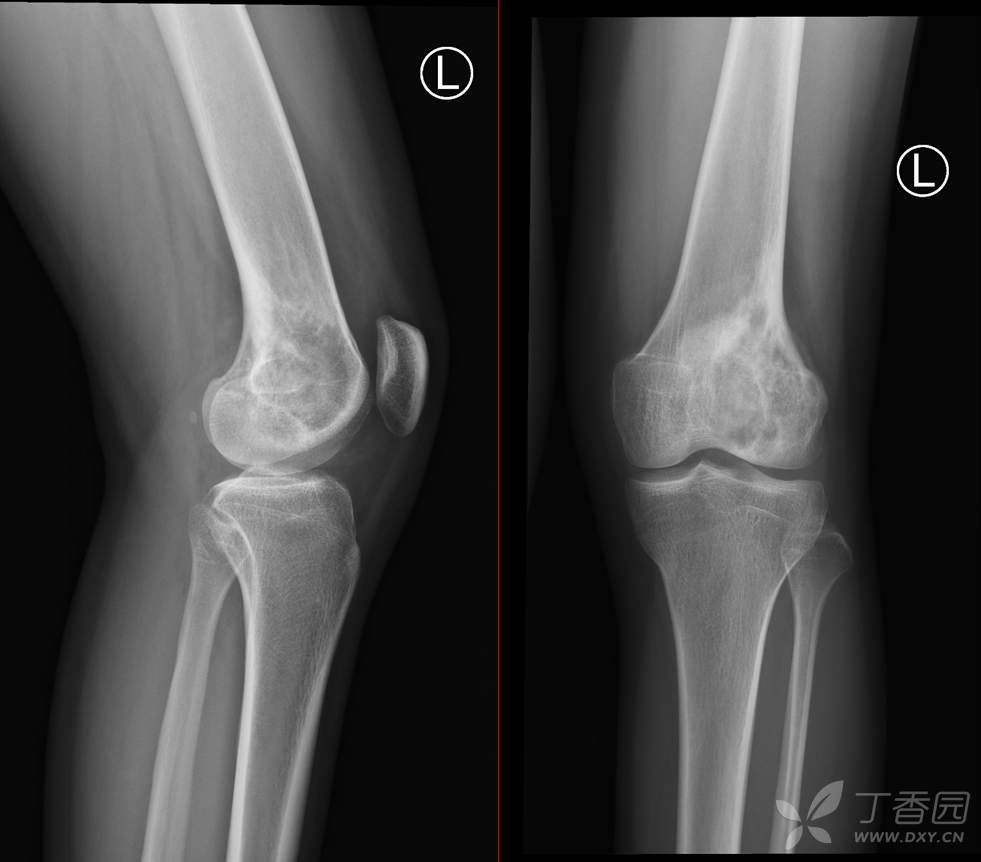
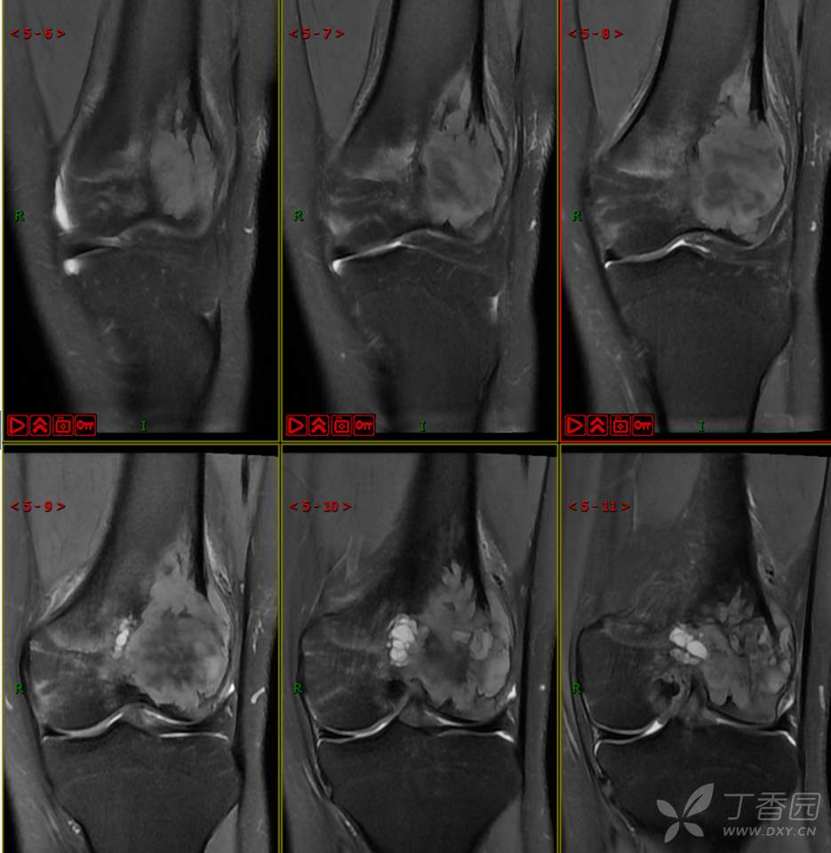
现病史:患者1周余前无明显原因及诱因出现左膝关节疼痛不适,活动时疼痛加重,休息后好转,无明显关节不稳及交锁,无发热、盗汗、乏力,无胸闷、憋气,无头痛、头晕,无四肢小关节晨僵。曾于外院就诊行左膝DR检查示:左股骨远端肿物。现患者为进一步治疗于我院就诊,门诊经检查后以“左股骨远端肿物”收入我科。患者自起病以来,神志清,精神可,饮食睡眠可,大小便正常,体重无明显减轻。
既往史:既往体健,否认高血压、糖尿病、心脑血管病等疾病史,否认肝炎、结核或其他传染病史及密切接触史,预防接种史不详,否认药物及食物过敏史,否认外伤史,否认手术史,否认输血史,其它无特殊。
个人史:生于原籍,否认冶游史,无职业及毒物暴露史,无吸烟饮酒嗜好。无药物嗜好。




















































