【乳腺超声】这6种结节可以评估为 BI-RADS 3类
来源:超声技术与诊断
BI-RADS 分类已经被我们很娴熟的使用了,今天跟大家复习一下哪些肿块可以被划为BI-RADS 3类(良性可能性大,恶性可能性<2%)。
根据BI-RADS指南中提供的证据及专家意见,以下几种肿块可以评估为BI-RADS 3类:
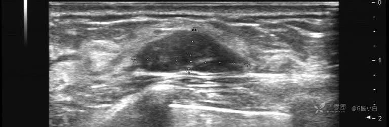
◆边缘清晰、卵圆形、平行于皮肤、回声低于脂肪、无后方回声改变或后方回声轻度增强的实性肿块。
对于这类结节的处理意见是:6、12、24个月随访,若随访过程中出现以下变化可以重新评估分类:
①随访过程中,肿块大小缩小,可降为2类
②随访过程中,肿块消失,可降为1类
③随访过程中,肿块直径增大超过20%或有其他可疑改变,则应调整为4类,建议活检
◆孤立、内部均匀低回声的复杂性囊肿。

复杂性囊肿是指含有沉积物的囊肿,沉积物的成分可以为蛋白质、细胞、血液或脓液,其常表现为均匀一致的低回声水平,无实性成分,囊壁常不易辨别,动态观察其内部回声可随体位改变而缓慢变化。
(注:评估为3类的复杂囊肿,应无附壁结节、厚分隔、后壁或其他任何可以的实性成分)

◆完全由微分叶或卵圆形肿块组成的簇状微囊肿。
簇状微囊肿是由一簇大小小于2-3mm的无回声组成的肿块,其内可见厚度<0.5mm的薄层分隔,无实性成分,由于囊肿聚集可能形成微小分叶状边缘,但不应将其边缘描述为模糊。

◆强回声肿块中央可见低至无回声伴有周围组织水肿,符合脂肪坏死的病变。(但不能确诊)

◆术后瘢痕相关的结构扭曲。这类肿块一定要结合相关的手术病史及手术部位,通常可见到延伸至切口皮肤的低回声隧道。
◆通常情况下,脂肪小叶边缘声影很容易鉴别,但若遇到多切面扫查或加压探头仍无法排除为脂肪小叶边缘声影时,可以将其评估为3类。
文献参考及文中部分图片来源:乳腺影像报告与数据系统图谱(第五版)
















































