dxy logo
首页丁香园病例库全部版块
搜索
登录

病例6月精彩病例|反复胸闷、气喘、咳嗽半年【病理已公布】

用户头像
影像核医学版版主 · 发布于 2022-06-14 · IP 江西江西
2467 浏览
推荐、达人点赞 2 项荣誉
这个帖子发布于 3 年零 179 天前,其中的信息可能已发生改变或有所发展。

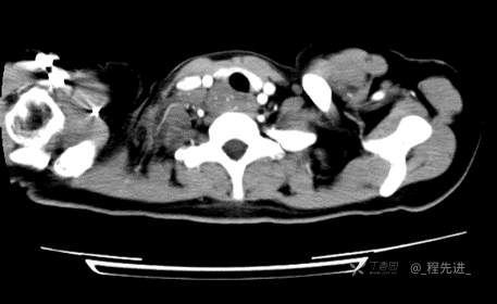
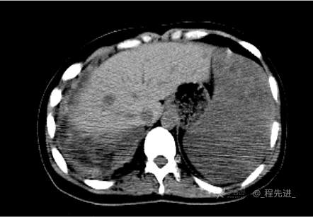
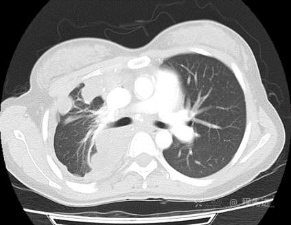
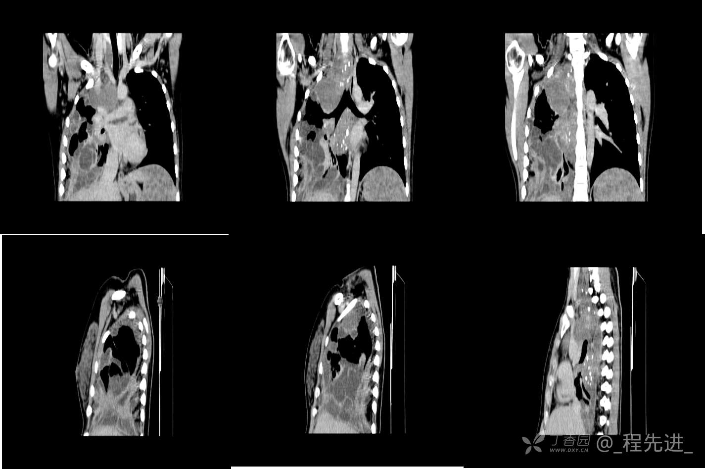
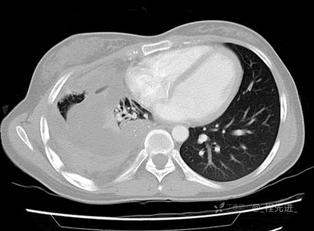
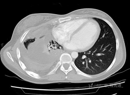
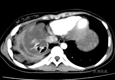
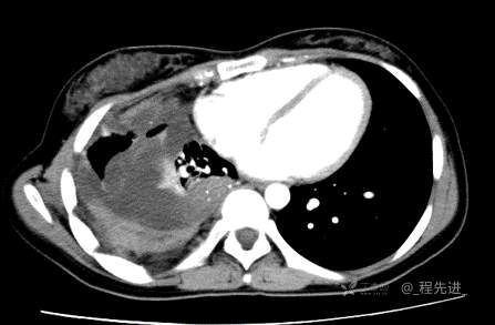
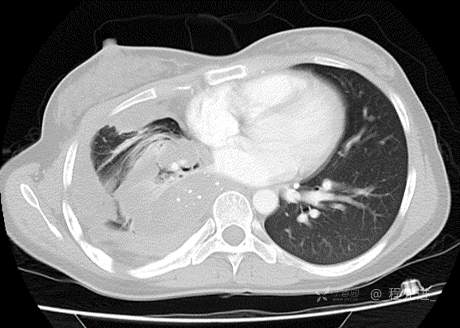
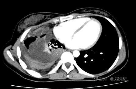
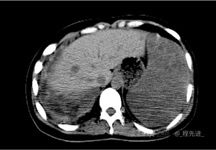
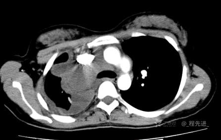
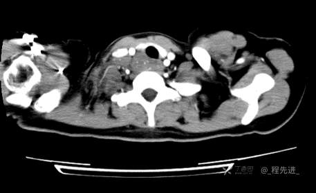
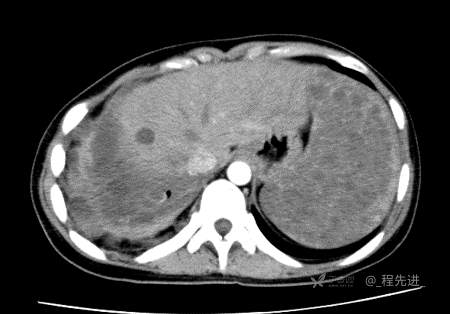
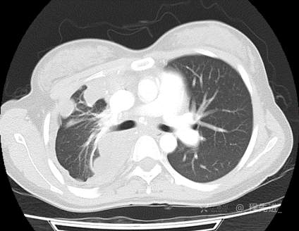
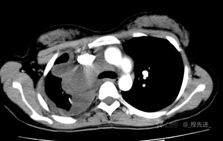
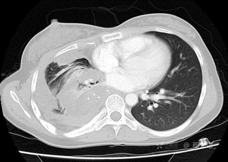
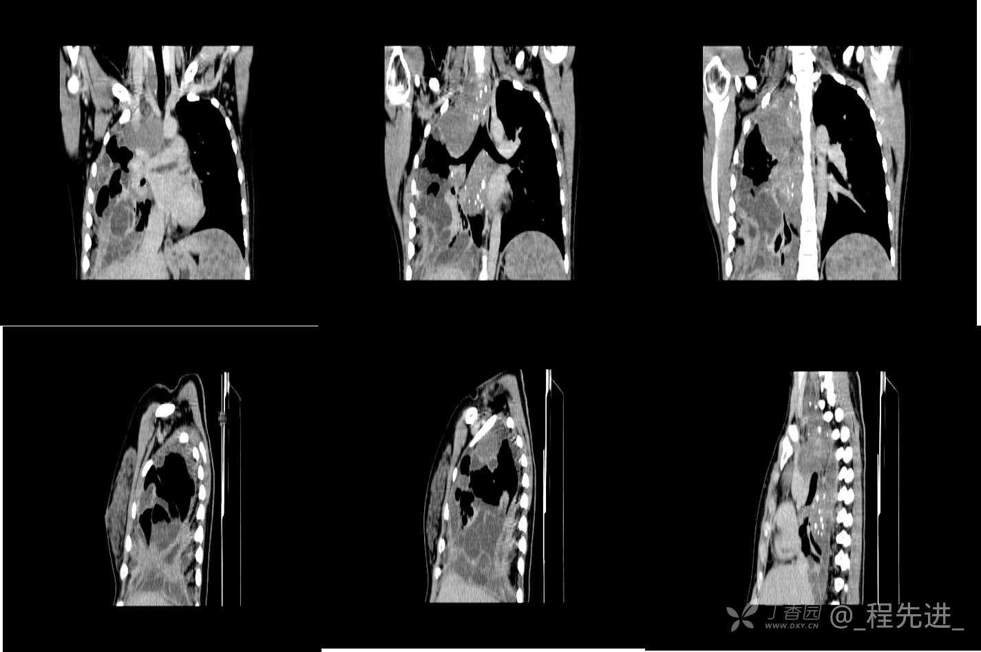
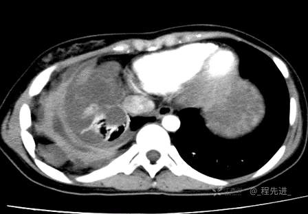
患者性别:女

患者年龄:26岁

简要病史:反复胸闷、气喘、咳嗽半年


img

img

img

img

img

img

img

img

img

img

img

img

img

img

img
该帖还没有疾病标签去添加
28 14 20
同行评议(0)
已评议
不开通精选
开通精选
精选已授权,待上线
评议结果暂未公布
参与评议
去邀请
参与病例讨论,解锁评议权益
您的专业意见将作为丁香园病例库收录的重要依据
NaN
病例完整NaN
临床实用NaN
诊疗科学NaN
学术价值NaN
评议
开分
入库

全部讨论(0)

默认最新
avatar
28
分享帖子
share-weibo分享到微博
share-weibo分享到微信
认证
返回顶部