腹腔镜阑尾切除遭遇Amayand’s疝一例
历史渊源
1735年,家住伦敦的11岁男孩Hanvil Anderson因误吞了1根针后出现腹痛,在那个没有麻醉技术、没有抗生素的年代,只能是观察疗法。没想到等来的却是“大腿和阴囊之间出现窦道”,遂来到位于海德公园角的圣乔治医院就诊。
Claudius Amyand医生为其进行了手术,术中发现针尖已使阑尾穿孔,而且阑尾位于腹股沟疝疝囊内!于是进行了阑尾切除术。这是历史上记载最早的阑尾切除术,没想到第一例就是这么复杂!
此后,这种阑尾疝入腹股沟疝的特殊类型也被称为 Amyand疝。而外科医生对急性阑尾炎进行主动阑尾切除术,还要等到19世纪乙醚麻醉被广泛使用后。
诊断方法
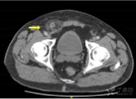
Luchs等报道应用盆腔 CT 进行Amyand‘s疝的术前诊断。可发现右侧因股沟区出现条索样类肠管结构并连接于盲肠,周围有脂肪炎症,术后确诊系阑尾伴炎症,化脓。由于 Amyand’s 疝较少见,缺乏“转移性腹痛”等典型症状,同时缺乏“腹痛、腹胀伴停止排便排气”等典型绞窄性肠嵌顿症状,这是由于阑尾经腹股沟管癌入阴囊使炎症局限,致病人局部出现肌紧张,而反跳痛症状常不明显,亦可刺激睾丸引起疼痛,容易出现误诊;而B超仅提示阴囊处混合性包块,考虑脓肿可能 。
回到本病例
患儿,男性,8岁,转移性右下腹疼痛1天。患儿1天前无明显诱因下出现脐周疼痛,伴有恶心感,无呕吐,约8小时后出现右下腹疼痛,呈持续性,急诊入院。
查体:神志清楚,右下腹肌卫,压痛反跳痛(+)。
辅助检查:血常规:白细胞1.5*10^9/L,中性粒细胞比85%。
腹部CT示:阑尾增粗伴周围渗出改变,右腹股沟区条索状物,淋巴结?腹股沟疝?待排


Amayand’s疝分型及处理要点
•I型,阑尾正常,推荐行疝复位术,补片修补术,年轻病人行阑尾切除术。
•Ⅱ型,症囊内阑尾呈急性炎症未合并腹腔感染,推荐应用自身组织修补术。
•Ⅲ型,急性阑尾类合并腹壁感染或腹膜炎(疝囊积脓),推荐阑尾切除术,应用自身组织行疝修补术。
•IV型,急性阑尾炎合并其他腹部病变,推荐行阑尾切除术、探查和根据病理报告再进行其他适当的处理。
















































