巨噬细胞M1.M2,历时2年硬干货分享.
巨噬细胞M1.M2
各位老师们好,初来乍到。请版主手下留情,发文不易,本文更多的是关于巨噬细胞的心得分享,初衷只是希望做相关课题的老师能够规避一些问题。也希望能帮到一些老师发高分的SCI 文章。
如果觉得此文有价值,麻烦留下你们的赞,那将是对我最大的支持。
本文历时两年的实验经验总结。在此,我们不去讨论实验原理与否以及造模方式。很多文献都有参考了。咱们上图给数据,欢迎大家指点,有不对的地方大家多多包涵。
关于巨噬细胞的热度,在此我就不多说了。鉴于其较高的实验门槛,还是很受到国自然项目的支持。当然有些老师,科研能力非常强,那也欢迎提供更好的建议。除了细胞实验外,也会说一些关于动物实验染色的部分。本文的意义在于,借此希望能够帮到一些没有时间做实验的老师,如果有什么不符合逻辑的地方,老师们可以私聊我修正文章。
先做一个巨噬细胞的背景介绍吧!
这个就是水起来的。参考了一些文案。
巨噬细胞功能极化对机体抗病原菌感染及损伤修复的质量和效率具有重要作用。巨噬细胞有不同的极化方式,如机体遇到细胞内病原微生物感染时,巨噬细胞会表现出经典型极化(M1)并表达相应的促炎因子TNF-α、IL-12及iNOS来清除病原微生物。同时,M1产生可诱导性一氧化氮合成酶(iNOS)在胞内合成大量NO,典型的M1细胞是I型反应中的效应细胞,它们杀伤微生物和肿瘤细胞,分泌大量炎性因子。;另一方面,当机体遇到细胞外病原微生物如寄生虫感染或过敏原等刺激时,巨噬细胞发生替代激活(M2)并表达Arg1,Ym1及Fizz促进寄生虫的清除,M2a、M2c的精氨酸则由精氨酸酶代谢为鸟氨酸和多胺,M2限制炎症反应和I型适应性免疫,清除残留物,促进血管生成,参与组织重塑和修复。。因此,巨噬细胞的极化的精确调控对维系机体健康十分重要。
以为M2亚型的细胞能够限制炎症的反应,所以一般在组织修复过程中我们会比较关注M2亚型细胞的表达。
对于巨噬细胞的阳性率,我们这边实验的结果显示是不高的。如果是动物实验的话,一般是做得急性模型,造模时间和取材的时间很重要,如果是慢性模型,很有可能巨噬细胞已经转化了,那就更难得出好的结果了。
巨噬细胞标记物
巨噬细胞的标记物包括CD68,CD80,CD163等等,当巨噬细胞出现极化时,M2亚型的细胞的标记物就变成了CD163,所以,可以通过免疫荧光双染的方法或者流式来确定M2亚型细胞的表达。即(CD68 +CD163),or (CD68+CD206)
M1:CD68,CD86,CD282,CD284,iNOS
M2:CD163,CD206,CD200R
巨噬细胞流式分型鉴定
关于巨噬细胞的流式分选以及表面抗原,园子里面的图和解析就蛮多了。数据图的话,我看看能找找看,没有就算了哈。正所谓不好的数据千篇一律,好的数据万一挑一。好的数据太难得了。
这里,我说一个关键点。首先是细胞种属的选择上,如果老师们是第一次接触这个实验的话,细胞种属或者动物种属很重要。目前市面上大鼠的流式抗体公司是非常少的,仅有某一家抗体公司有大鼠的货号,而且只有大包装,最关键的还是间标,还要去买对应的荧光二抗,2只抗体需求加起来价格就是2W了。因此,我建议老师们直接做小鼠细胞或者人种属的细胞,抗体的选择性就比较多了,而且还提供直标流式抗体货号。在经费的开销上,我们有更多的预算给到其他的实验技术上。
另外,对于模型的选择上,我先介绍下我遇到过的问题。说得比较浅薄,仅为参考,毕竟每个审稿人的风格都不一样。我遇到的问题都比较主观,如果你们很顺利的话,那就恭喜你了。
比较可惜的是大动物疾病模型方案,例如大动物房颤模型,无法结合到同样的细胞模型上,编辑不满足于看到在病理层面切片染色的巨噬细胞阳性率,要求提供巨噬细胞流式结果,补充细胞实验,另外还要求提供犬的心肌细胞诱导方案。然而国内都没有犬心肌细胞系,提原代细胞更是没有这个实验条件,而且原代细胞传代受限,导致成本将会非常高,别的不说,咱狗子的成本就很贵的哈,最终导致将文章拆分换投。
然而如果是药物+干预的模型,动物实验+细胞实验的逻辑很合理,可以去冲一些高分文章。
流式图的话,暂时没有了。看看后期能不能新增吧~或者老师们去看园子里面的其他数据,流式双标的结果而已。
下文开始我们的重点。形态以及病理染色。
巨噬细胞极化的方法哪种最好我们在次也不去做评判,不管是IL-4细胞因子刺激RAW细胞的极化,还是LPS模型诱导,总有人做得好,也有人做不出来。在此,我们不讨论方法了。希望平常心去对待任何一个实验。套用最近很火的段子,实验结果不说钱,说缘,SCI 就是每个医学生最大的怨念。
首先看看正常的RAW细胞。

正常的细胞形态就是圆形或者椭圆。通过药物的刺激,我们可以看到细胞出现了分化。变成了梭形巨噬细胞M2.有很明显的形态上的差异。

实验过程中,我们发现了一些问题。虽然细胞形态已经发生了改变,但是我们通过初次的染色,结果发现了细胞形态惊奇了复原了。目前,我们也无法得知是什么原因,技术员的猜测是可能是细胞爬片在固定之后,放在PBS里面泡久了, 而且实验过程中也是需要过夜,建议大家使用温和的多聚甲醛或者电镜固定液去固定细胞,然后缩短实验流程,加速完成染色的步骤。如果你们没有出现类似的这样的情况,那么恭喜你,直接正常做染色了。目前细胞的IF 单标,或者双标的话,还没有出现很大的技术难度点。

如右图,FITC 标记巨噬细胞M1,594 标记M2. 目前我们遇到的最大的困难就是在于动物组织蜡块染色的部分了。
关于巨噬细胞的动物模型,目前在急性的疾病模型中能得到一个不错的阳性率,但如果是慢性模型,很有可能巨噬细胞已经转化成其他细胞了。例如,我们通过不断的实验摸索中发现,心梗7天的大鼠心肌巨噬细胞的阳性率远高于心梗1个月的大鼠心肌。一个模型的成功与否,往往才是决定这个实验结果最重要的一个环节。实验也只是一种概率,几乎没有任何研究课题会完全按照预期发展。如果有,这种研究不会有任何突破、不会给人带来任何惊喜。”
真实实验都是探索性的,不要认定任何实验都是 must be.
造模成功之后,我们再继续深挖染色部分的难点。
众所周知,Rabbit Monoclonal Antibody 的特异性是非常好的,广泛应用于各种实验,WB,IHC,IF,IP 等等。因此对于CD68或者CD206来说,我们无脑冲一支TOP级别的厂家抗体就行,千万别手软。而对于另一个标记物的抗体选择就没有那么多了,特别是很多老师实验动物的种属是犬或者兔子,猪,本身就没有对应的特异性抗体。即使是实验种属是鼠,鼠来源的抗体做染色,也必定会产生很多非特异性染色。
因此,我们实验初期更换了很多不同厂家的抗体,不同的种属,不同的器官,但是都没有得到一个特异性很好的图片数据。

大鼠心肌细胞双标
可以看到大量心肌细胞着色。

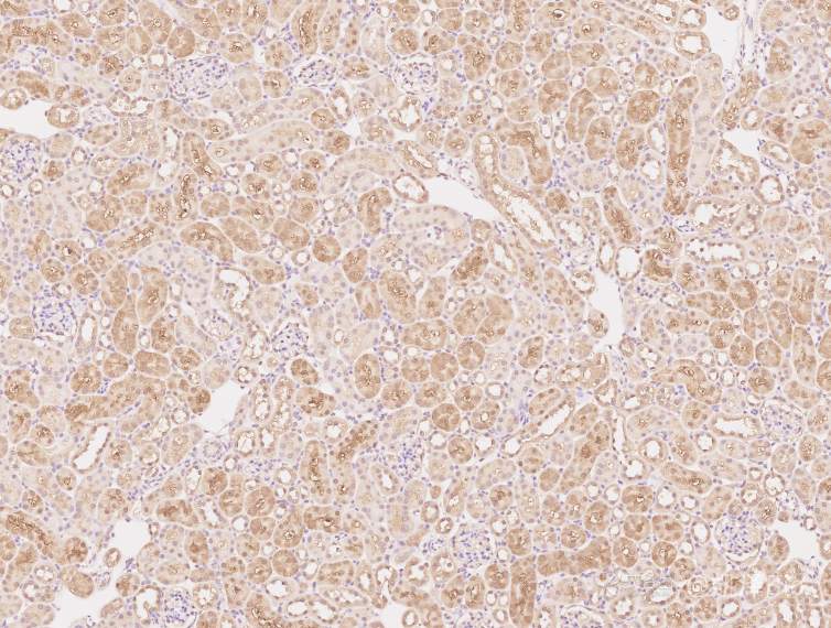
小鼠肾CD68组化染色
非特异性染色,相信也是很多老师遇到的问题。而且,我们也比对过很多阳性对照组织染色,单染没有问题,不管是CD68,还是CD206,或者是iNOS,只要是做双标,那么特异性就非常差,无法分辨出单个细胞。就这样,我们还是倒在了巨噬细胞的脚下。

心肌CD68阳性对照

脾CD68阳性对照

脾iNOS阳性对照
失败的经验让我们也总结出了一些问题,那就是双染抗体的种属来源的确还是应该尊重其本身的应用,同种属不能做双标,鼠抗鼠也很难得到好结果。
虽然大部分的结果都说不上差强人意,估计也是很难达到文章的要求。但是我们在巨噬细胞攻克的道路上从未止步。直到近几年TSA技术的出现,我们也是潜心摸索过河,研发自己的成熟的试剂盒,优化实验技术。终于取得成功。
TSA,Tyramide signal amplification 技术是一类利用辣根过氧化酶(HRP)对靶蛋白或核酸进行高密度原位标记的酶学检测方法。该技术可与高性能染料Alexa Fluor®、传统荧光染料和比色检测系统相兼容。通过使用TSA技术可以检测到传统方法无法检出的低丰度靶标。基于酪酰胺的信号放大技术能够在无需牺牲分辨率的条件下提供前所未有的敏感度。
下面我们就来欣赏下巨噬细胞M1,M2的美图。
目前,我们的大量样本结果总结出来,人肿瘤样本特异性非常好,巨噬细胞染色双标成功概率非常大。而且,我们通过不断的更换TOP级别厂家同目的蛋白,不同货号的抗体,也筛选出了一些非常适用IF和IHC 的巨噬细胞抗体,之前的样本都得到了明显的改善。
如果是做鼠的巨噬细胞双标,或者犬的,我们依然还是选择优化造模方案,以及更换合适的抗体,毕竟TSA也不是100% 能完成巨噬细胞双标染色。同时,我们也依然再探索巨噬细胞三标染色。再次重申,造模,造模,造模很重要!!!

犬心肌CD68+CD206

人肿瘤CD68+CD206

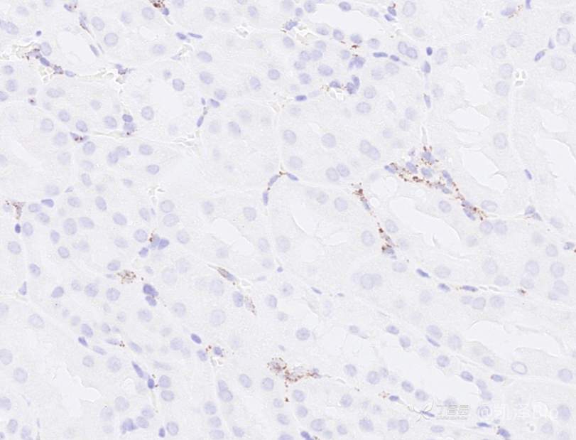
小鼠肾组化CD68
以上,是这几年的一些心得,和遇到的一些问题,真诚的和大家去分享。希望能够帮到一些老师们。码字不易,如果认可,辛苦点赞。@丁香通讯员
















































