常见的恶性肺结节影像特征
随着检查发现肺结节的增多,它们的良恶性判断最主要就是基于胸部CT影像的表现,在许多磨玻璃为主的肺结节中,增强CT或PET-CT价值并不高,因为它们血管没有丰富到强化时有明显区别的程度。靶扫描与薄层扫描提供的信息反而多于增强CT及PET。
通过分析大量的临床肺结节影像特征,手术前后对比佐证,不断修正对肺结节良恶性影像特征判断的认识,会让我们在结节性质的判断上越来越准确。我收集科室从2014年以来几乎所有手术患者的影像资料,通过手术后病理去反推影像的特征,总结经验,得出常见肺结节恶性的特征影像,今天做个汇总,希望对你判断肺结节良恶性起到一定的作用。
因为我不是影像专业,也不大爱看书,其中的一些征象是我自己说说的,可能并不规范,但我想,我们主要是能把意思表达清楚,问题说明白就可以了,对吧?
下面分别讲述目前总结到的,也许还有疏漏,或一时没有想到的,不过,没有关系,以后仍可补充归纳。
浅分叶征

浅分叶征:病灶表面凹凸不平,略不平则是浅分叶,因为肺小结多整体并不大,所以往往是浅分叶而已。形状像土豆。上图中红色箭头所指就是稍微凹点进去的地方。
蜂窝征

蜂窝征:病灶多为实性密度或偏实性密度,但其内部有很多小空泡样,以致整体看就像蜂窝。这种病灶初期认识不够,会以为是炎症,其实现在看来,基本都是恶性的,大概是从磨玻璃病灶逐渐变实增密到实性的过程之中,有些区域还不密时,看上去像蜂窝。
蝴蝶征

蝴蝶征:混合磨玻璃结节容易有这种表现,中间有收缩纠集,两边像蝴蝶的翅膀伸展开,其实是病灶有收缩力的外在表现,说明质地硬,中间密度高的部分更是密实,边缘含磨玻璃成份的相对不太密些,所以有这样的影像表现。
花朵征

花朵征:病灶有浅分叶的前提下,又有血管进入,其实是浅分叶与血管征的综合,看着就像一朵花,血管就是花的枝。若是病灶缺乏分叶征,是圆形的,则像棒棒糖。
空泡征

空泡征:磨玻璃病灶伴有中间小空泡或空腔时,基本上都是恶性的,好像印象中基本上没有碰到良性的。如果空泡边上的成份密度较淡,则可能是不典型增生或原位腺癌,或密度较高,则会是微浸润或浸润性腺癌。
乱石征

乱石征:这个名称也是我自己想想的,病灶偏实性,就像多个小石头堆在一起,乱石堆砌的感觉。这时如果病灶的轮廓又很清晰,周围肺组织也无渗出的改变,那么极可能是恶性的。些征用在密度低的混合磨玻璃结节上也适用,其实性部分密度杂乱时也类似道理。
细毛刺征

细毛刺征:病灶边缘不够光滑,有细毛刺,有点像杨梅或板栗表面的样子,毛刺突向正常肺组织中去,说明病灶有侵袭性,向周围浸润性生长,是恶性的征象。
囊腔征

囊腔征:此征与空泡征的区别时,空腔部分体积较大,大于有形部分,以致容易误诊肺大泡。它虽然看着像大泡,但它的壁明显不正常,比肺大泡的厚,有磨玻璃成份,且往往不同方向厚薄不均。记住,这不是肺大泡,是囊腔型肺癌。
毛刺征

毛刺征:为什么与细毛刺分开讲,因为像上图这种病灶,其毛刺较细毛刺为长,看着像尖刀刺向周边肺组织。同样代表着病灶有侵袭性,外侵性,基本有这种表现的多为浸润性癌。
胸膜凹陷征

胸膜凹陷征:这是老牌的肺癌恶性征象了,在磨玻璃为表现的早期肺癌中也适用。因病灶靠近胸膜,又有收缩力,导致邻近胸膜受到牵拉,以致拉向病灶侧。进胸后会发现表面胸膜皱缩纠集。
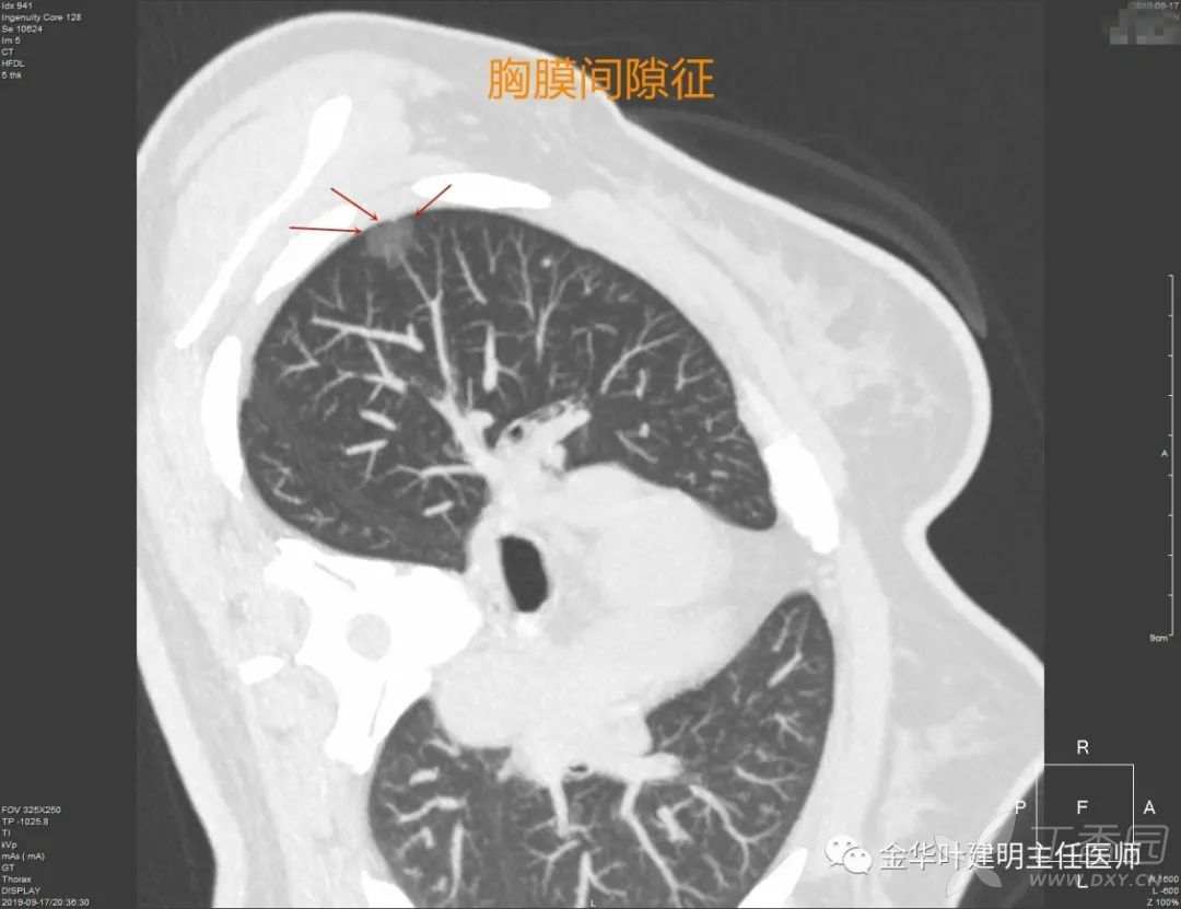
胸膜间隙征

胸膜间隙征:这个名称也是我取的,正规来说,应该没有这种叫法。要表达的意思是,病灶与胸膜挨的非常近,但却有极小的间隙存在,说明:
1、病灶非炎症性,炎症的话,有渗出或水肿,往往离这么近的话,间隙消失了;
2、说明病灶收缩力弱,一般是磨玻璃结节或实性的话,像周围型鳞癌或小细胞癌等收缩力弱的肿瘤。
血管破坏征

血管破坏征:有时候,病灶比较小,又不适合穿刺的地方,实性,良恶性特征了不太显著,需要我们增强或重建以观察血管与病灶的关系,如果紧挨病灶的血管走行异常,被牵拉向病灶侧、被侵犯,或者血管与病灶间间隙消失,则要怀疑恶性,有血管破坏。
血管征

血管征:也叫血管集束征,直白说,就是有血管进入病灶里面去。若是单一血管进入,有时候像枝头上挂着个果实的样子。像上图这种,是多根血管均改变自然走行,趋向病灶,说明病灶对血供需求比较旺盛,也是恶性的征象之一。
叶间胸膜凹陷征

叶间胸膜凹陷征:胸膜凹陷不单只是肋胸膜,之所以单独列开来讲,是因为提醒大家,叶间胸膜也是胸膜,邻近叶间裂部位的病灶,如果对叶间裂处有牵拉,也是胸膜凹陷征。
月牙铲征

月牙铲征:这种征象也是混合磨玻璃结节中较为常见,病灶一侧是往外突的,但某一侧则明显凹向病灶内部,形成这个方向的深凹陷。以前我不知道这叫啥征,只知道有这样影像表现的基本上都是恶性的,后来才知道它有专门的名称,叫“月牙铲征”,挺好听,也有诗意的名称。
小结
好了,目前想到的恶性影像征就总结到这儿,当然不可能一个病灶中这些特征都占齐,只要有其中的一项或二项,我们就要高度怀疑其为恶性。但愿通过我们的分享,让更多同道,也更多肺结节患者对恶性结节有更深刻的认识,尽量避免漏诊。
只有不断的努力才能不断进步!只有不断的无私分享才能与大家共同进步!
肺结节相对来说,是近十来年以来较新的疾病,明显改变了肺癌的疾病组成,早期肺癌的发现改写了肺癌治疗的效果,但此领域仍是比较混乱,没有形成非常统一的规范与意见,医生对肺结节的认识水平也参差不齐,只有大家共同努力,才能更好的服务于肺结节患者,期望既要尽量少误诊漏诊,也要防止过度干预、过度手术,权衡手术干预的最佳时机以及最佳的手术方式。
尤其在目前多原发肺癌比例很高,检查发现的又多是早期肺癌的情况下,改变传统的“肺癌治疗的标准术式是肺叶切除加淋巴结清扫”这一理念,更加细化采用不同术式的肺结节标准,使得维护肺功能与肿瘤得到根治做到最佳平衡才是我们应该追求的。
本文来源:叶建明说结节
















































