看看大家平时的诊疗及思维之病列讨论| 乏力
患者性别:
患者年龄:70岁
简要病史:四肢乏力1天。患者自诉1天前无诱因下出现乏力,否认胸痛胸闷,无发热咳嗽,无气喘,无口角歪斜,无言语欠清,无偏瘫及行走困难,无头晕头痛,无抽搐,曾于当地社区就诊,症状未缓解且自我感觉乏力与既往有区别(具体何种区别未能描述),现来诊。
既往于10余年前有“甲亢”病史,未经系统诊治。
体格检查:T36,P125次/分,R20次/分,Bp165/117mmHg。心肺腹未见明显异常。四肢肌力对称,肌张力正常。双下肢无明显水肿。
辅助检查:血糖8.7mmol/L。肾功能:二氧化碳结合力16.7mmol/L,余正常。肝功能、血常规、电解质正常。甲功未回。
临床诊断:1、乏力查因2、甲亢。
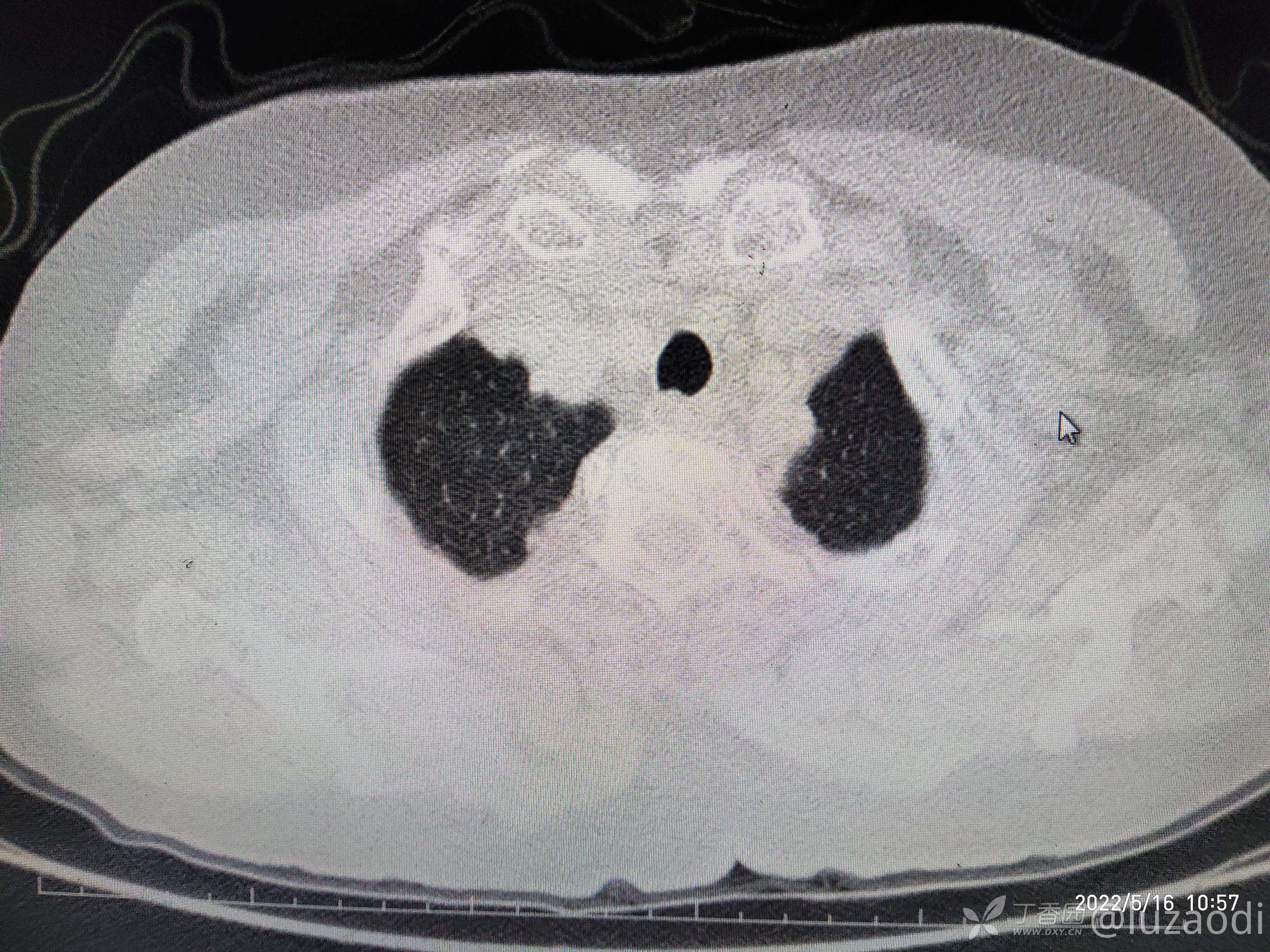
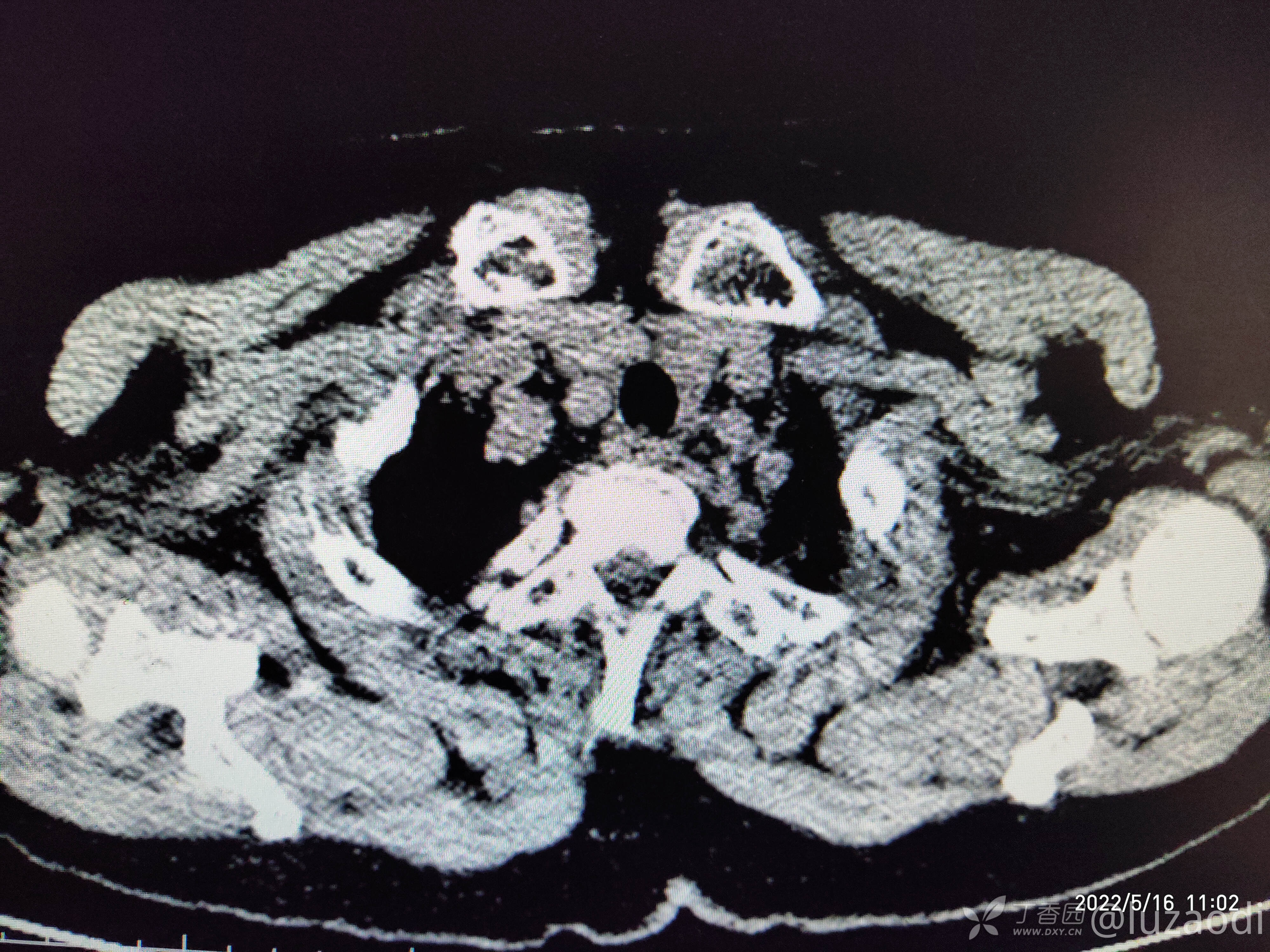
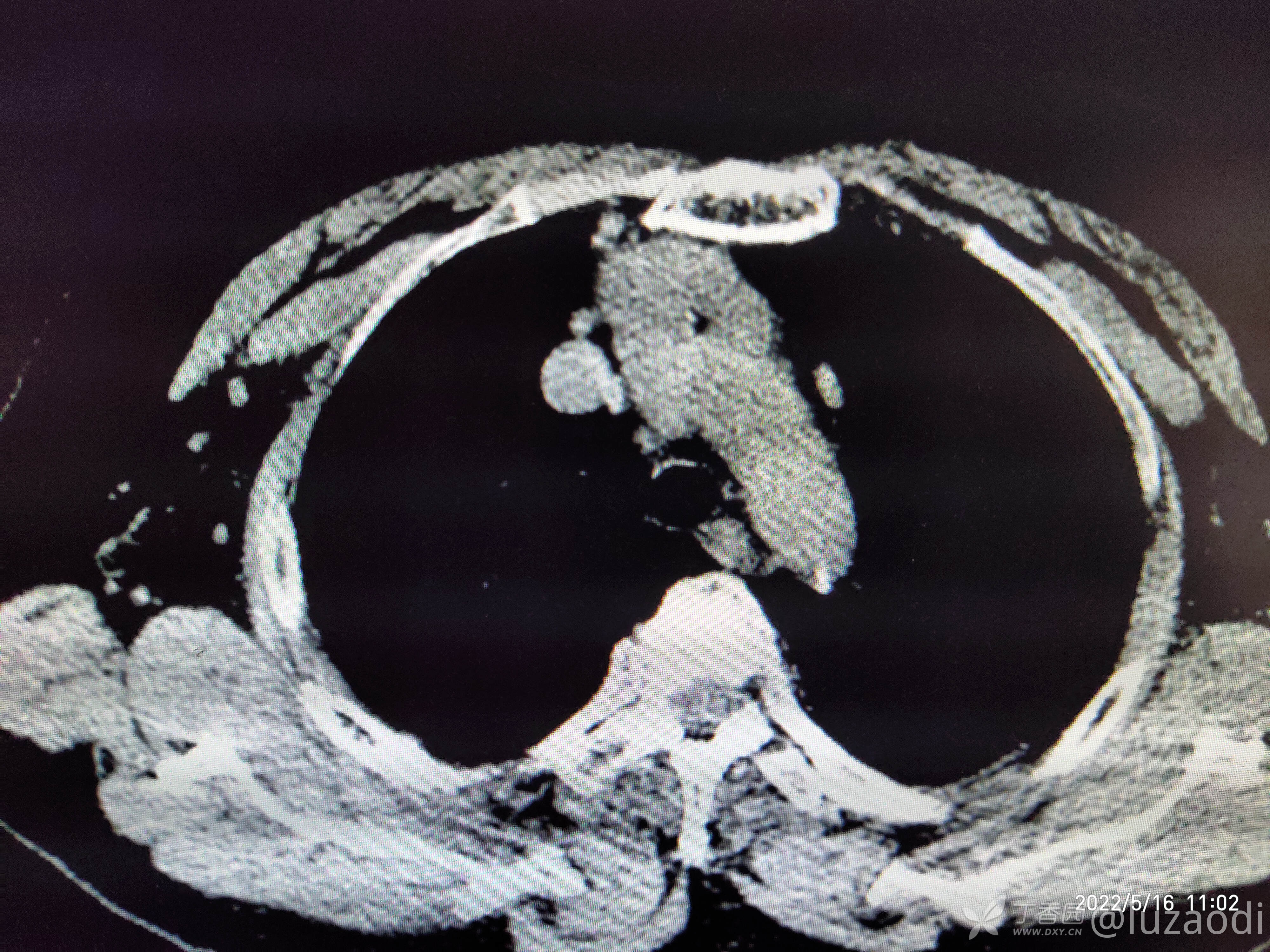
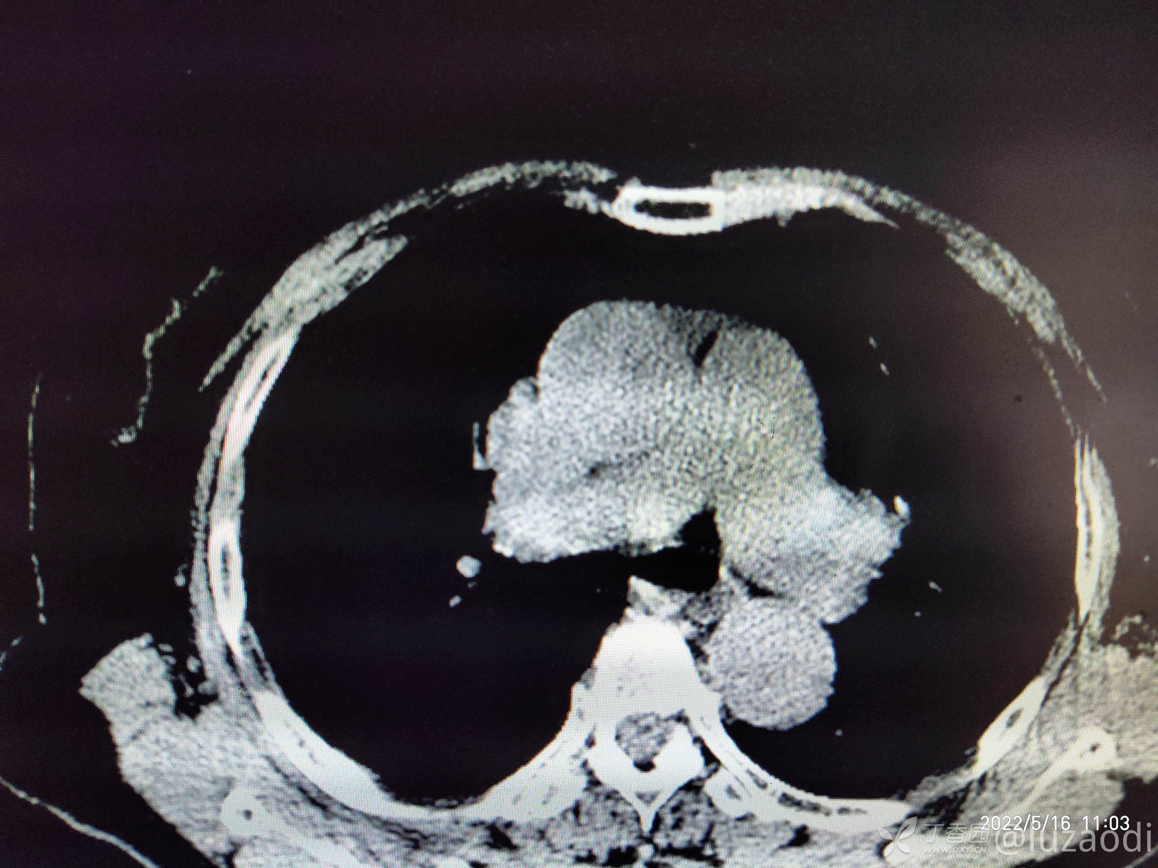
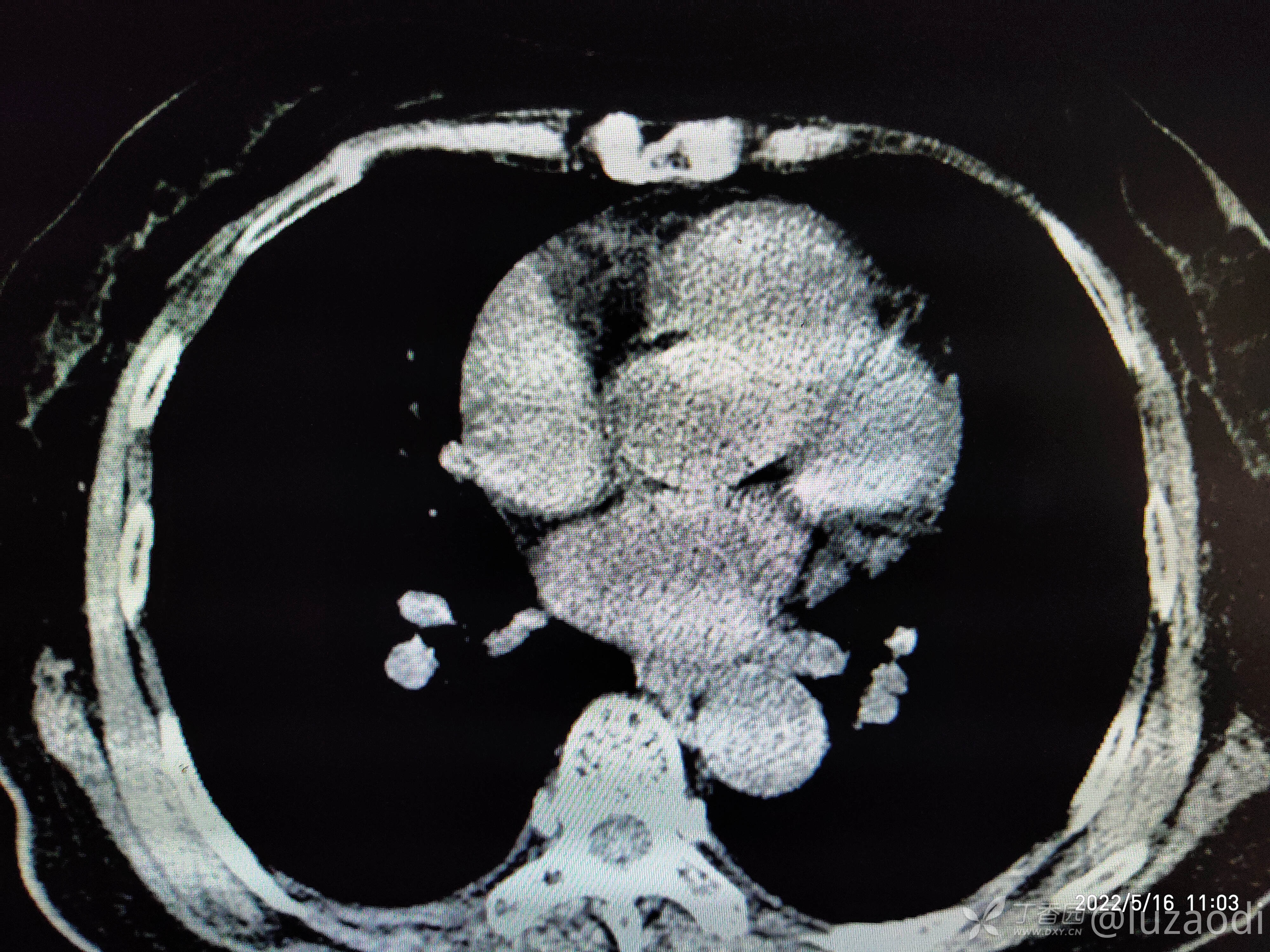
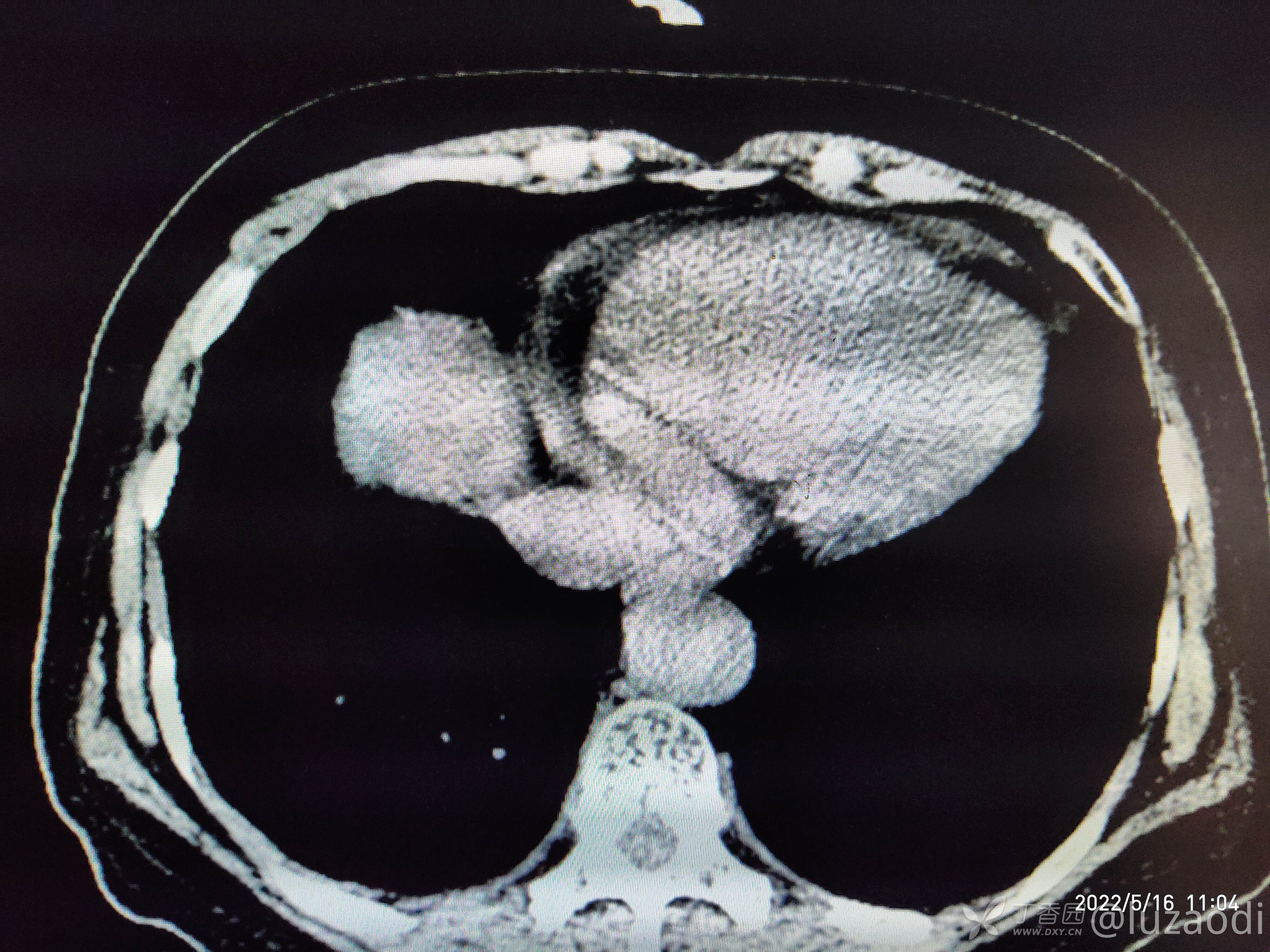
治疗经过:入院后患者仅有乏力,未见明显神经定位征。近期无发热、咳嗽、腹泻症状。遂予血糖、心电图、生化检查及影像检查,结果如下:

心电图将就着看,因为是手机拍的。












我去。。。。。视频只能上传一个,头颅CT上传不了,我直接说报告吧。头颅CT报腔隙性脑梗。
到目前为止,所有的资料如上面所描述。那么请大家讨论一下这个病人可能是何种疾病,下一步应该怎么做?如何告知患者病情以及可能的风险?欢迎各位新手和老鸟留言讨论,看看大家的思维及诊疗,或者是指出到目前为止还有什么需要做的诊疗措施?错也不要紧,没有错哪有对?在我这错好过在病人身上错。要学技术就不能要脸,各位
一天后我再更新后续的诊疗。















































