清华长庚进修记-第十四回-联合制胜
西地兰vip 推荐越来越多的案例说明,面对肿瘤,外科单打独斗效果远不如多学科联合,继上上回说HCC,上回说胆囊癌,这回合再说一个联合制胜的案例,是ICC。
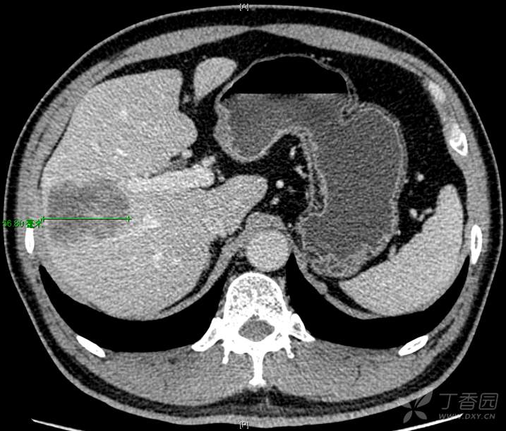
56岁男性,因右上腹隐痛不适检查发现右肝ICC可能于2021年11月来院。化验除了CA199>检测上限之外,无明显其他异常。影像报告:“右半肝可见一低密度肿块影,形态不规则,边界清晰,肿块内部密度不均匀,可见细小血管进入其中,增强扫描呈环形强化,大小约46mm×70mm×49mm,周围肝实质内可见异常灌注,局部肝包膜略回缩;病变周围可见多个类似卫星灶。门静脉不宽,肝内外胆管无扩张。胆囊不大,壁不厚,腔内未见异常密度影。”如下图:

肝内胆管细胞癌预后差,大家应该都有感觉,何况这个病灶比较大,影像报告明确说多个卫星灶,面对“强敌”要联合作战!肝胆外科、肝胆肿瘤、肝胆介入、放疗、肝移植等等一起讨论制定了新辅助治疗策略:第一步先行免疫治疗+靶向治疗+放射治疗(范围右半肝,既灭活右半肝肿瘤及可能的周围转移灶,又促进将来的左半肝代偿),第二步行外科手术,第三步辅以靶向+免疫治疗。新辅助治疗6周后,CA199下降明显,从3410降到了2311;但是影像学评估变化不明显,如下图:

按计划行右半肝切除+12/8/13组淋巴结清扫术(新辅助治疗ICC,如何把握外科手术的时机,这个现在尚无指南或共识,不像结直肠癌肝转移那样经验比较多。不知大家有啥经验?欢迎留言指教),过程如下:



病理报告再次让人震惊:瘤床大部分均为坏死,瘤床中央及周围散在少许残留癌细胞(约占瘤床1%),细胞呈单个或腺管样排列,细胞退变,周围可见较多成纤维细胞增生、泡沫样组织细胞聚集,伴淋巴细胞浸润。未见明确脉管内癌栓及神经侵犯,肝脏手术切缘未见癌浸润。周围肝小叶结构良好,细胞轻度大小泡混合性脂肪变,可见小灶坏死,汇管区少许淋巴细胞浸润。(肝十二指肠韧带淋巴结)淋巴结可见转移性低分化癌(1/4枚),转移灶未见治疗后改变。(腹膜组织)纤维及脂肪组织,伴小灶坏死,慢性炎细胞及组织细胞浸润,未见癌浸润。免疫组化:-20号切片AE1+AE3(-)、CK7(-)、CK19(个别+)、SMA(纤维母细胞+)、CD68(组织细胞+)、Ki-67(未见异常增殖);-29号切片AE1+AE3(-)、CK7(-)、CK19(-)、SMA(纤维母细胞+)、CD68(组织细胞+);-39号切片AE1+AE3(部分+)、CK7(-)、CK19(-)、SMA(纤维母细胞+);-16号切片AE1+AE3(+)、CK7(+)、CK19(+)、Vimentin(部分+)、CEA(-)、Hep-1(-)、Ki-67(60%+)。综上,结合临床,肝内胆管细胞癌,腺癌,中-低分化,治疗后改变。
用连续三个回合篇幅,说了几个综合疗效让人吃惊的病种,个人几点感触:1、医院应努力建立便捷的、真正的MDT机制体制,就像清华长庚肝胆胰中心这样;如果大多数医院都能组建真正的MDT范式,最终获益的是患者,有很大的意义。2、靶向、免疫、HAIC、放疗等等治疗手段,已经使肝癌治疗迎来了又一春,胆管癌和胆囊癌领域似乎也嗅到了春的气息,那么仍在“寒冬”中的胰腺癌呢?翘首以盼;3、综合治疗中还有很多很多问题没有理清,需要像这样一个一个成功或失败的案例积累成大宗病例报告。4、近几年来疗效的提高并不是靠外科,但外科依然是主角,还是战争中的“陆军老大哥”,海空军狂轰乱炸之后,还得靠我们去攻城略地、摧城拔寨。因为从术后病理看,常有癌细胞残存,而且不切下来不知道答案;何况,综合治疗使得很多不可切除的变成了可切除。广阔天地,大可所为。
















































