dxy logo
首页丁香园病例库全部版块
搜索
登录

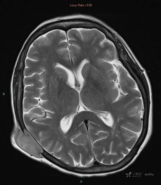
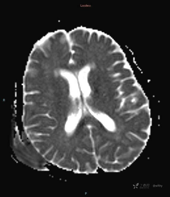
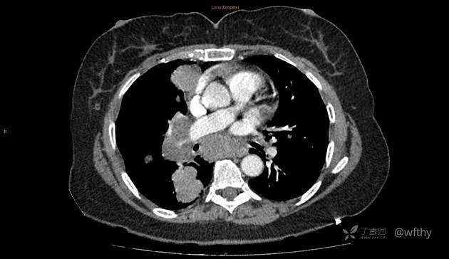
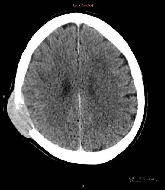
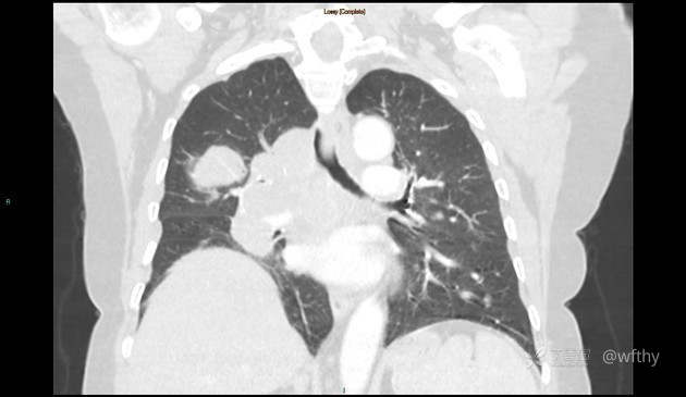
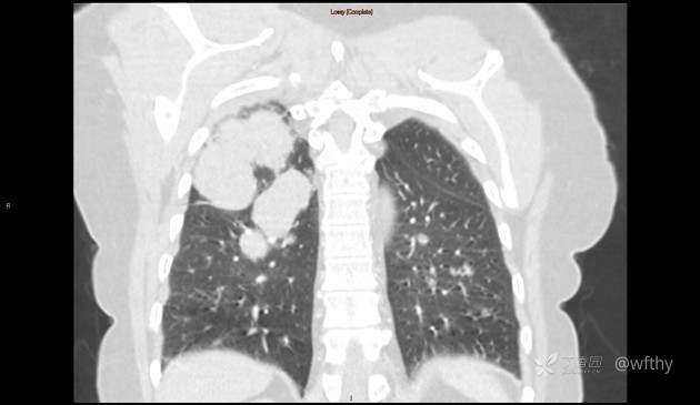
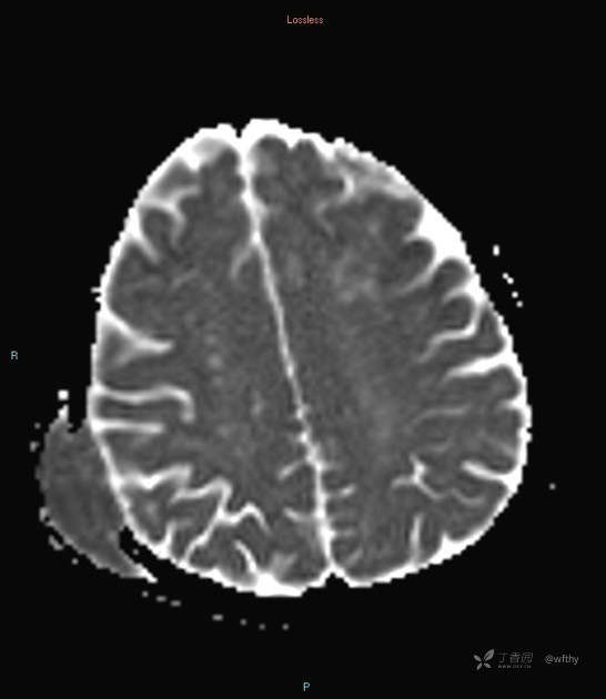
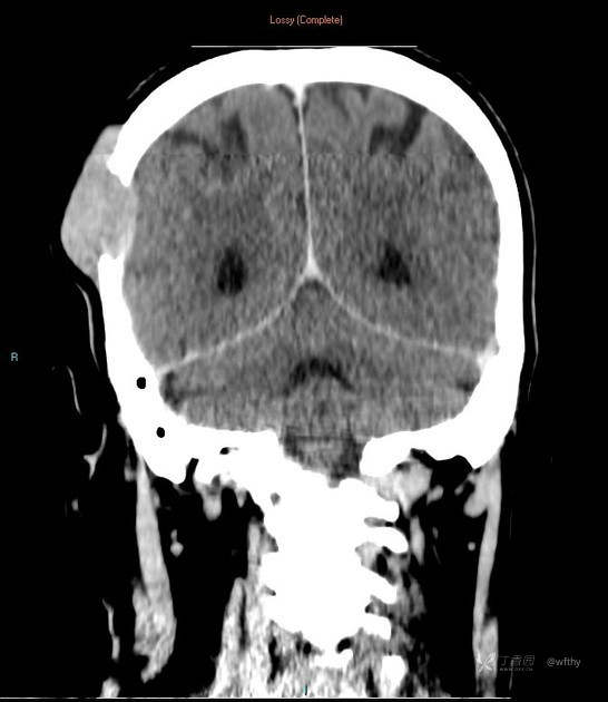
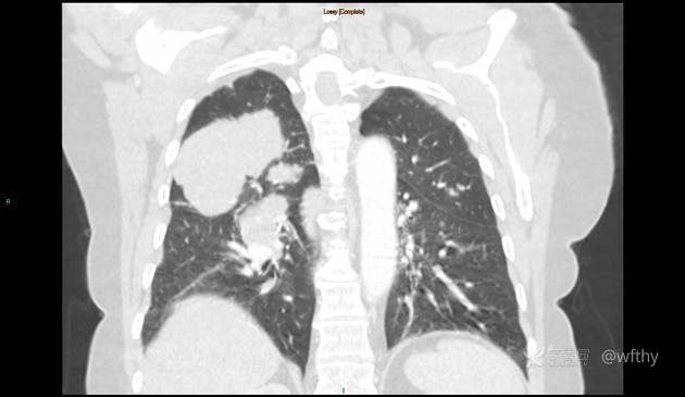
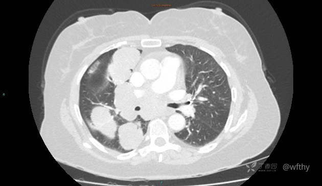
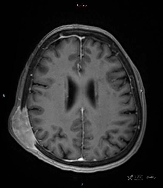
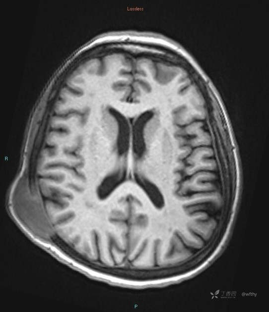
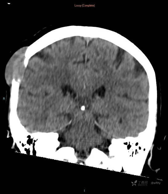
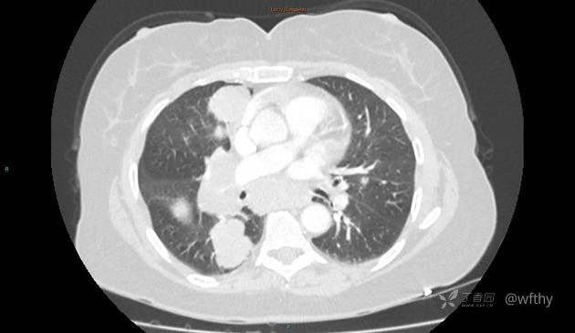
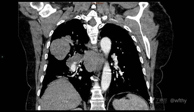
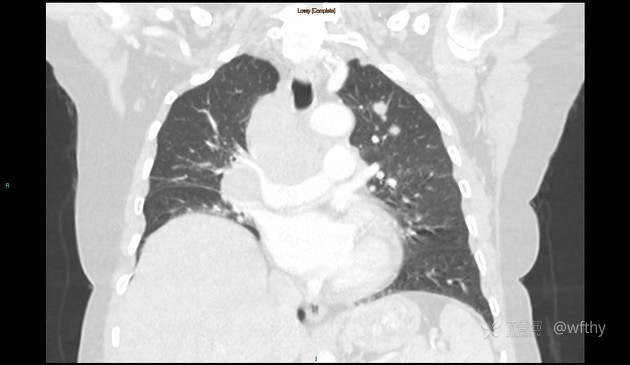
病例女65,头部肿块

用户头像
核医学科医师 · 发布于 2022-05-05 · 来自 Android · IP 山东山东
1563 浏览
这个帖子发布于 3 年零 212 天前,其中的信息可能已发生改变或有所发展。
img


img


img


img


img


img


img


img



img


img


img


img


img


img


img


img


img


img


img


img


img


img


img


img


img


img
该帖还没有疾病标签去添加
57 16 4
同行评议(0)
已评议
不开通精选
开通精选
精选已授权,待上线
评议结果暂未公布
参与评议
去邀请
参与病例讨论,解锁评议权益
您的专业意见将作为丁香园病例库收录的重要依据
NaN
病例完整NaN
临床实用NaN
诊疗科学NaN
学术价值NaN
评议
开分
入库

全部讨论(0)

默认最新
avatar
57
分享帖子
share-weibo分享到微博
share-weibo分享到微信
认证
返回顶部