清华长庚进修记-第十三回-擒贼先擒王,这回搞掉了王中王
书接上回,再说一个降期成功案例,这个是公认的王中王---胆囊癌。
68岁女性,梗阻性黄疸入院。增强CT检查提示胆囊癌侵及肝门,如下图:

动脉评估可见右肝动脉受侵,图像如下:

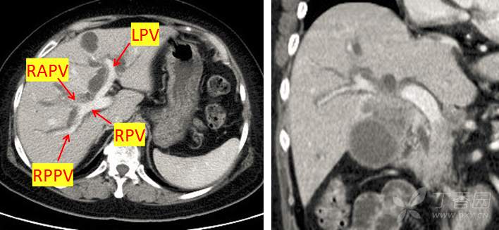
门静脉右前支间隙模糊,可疑受侵,图像如下:

肝静脉评估未见异常,如下图:

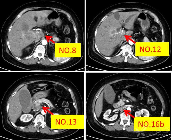
术前淋巴结评估如下:

病情介绍完了,如果是您,怎么安排?我个人觉得伴有多处淋巴结转移的胆囊癌,即使硬着头皮右半肝切除+淋巴清扫,绝大多数效果不好,何况该患者梗黄伴有肝内胆管扩张。
单打独斗觉得吃力,那就呼叫backup---组织MDT讨论,长庚肝胆胰中心内有多种治疗力量,外科、移植、介入、肿瘤、内科都来了,主要结论:1、PTBD减黄;2、使用靶向+免疫+HAIC降期治疗。治疗轴如下:

治疗后3个月发现胆管居然再通了,如上图所示。同时肿瘤标志物在治疗后2个月降到了正常,如下图:

影像变化同样令人吃惊:

外科的Y教授评估PVE后,右半肝占比从71.3%降到了50.8%,遂按照Bismuth III-A型肝门部胆管癌根治术的标准予以手术:

术后嘱托病理科认真处理标本,各种取材切片,结果没找到活得癌细胞!报告如下:

I was shocked!
















































