消化系统少见病(一百零二):胰腺病变
西兰花饺子 推荐一名60岁男性因CT检查疑诊“胰腺占位”而就诊。患者仅有非特异的全身不适,无其他明显症状。
既往因AIDS而服用联合抗逆转录病毒药物治疗。
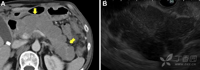
辅助检查:WBC1700/mL (正常值 3300–8600/mL), CD4细胞计数 86/mL, LDH 838 U/L (正常值124–222U/L),淀粉酶123 U/L (16–52 U/L),血清可溶性白介素2受体(sIL-2R) 2739 U/mL (正常值121–613 U/mL)。腹部增强CT所见如图A,EUS所见如图B。
请问:诊断是什么?
A 急性胰腺炎 B 自身免疫性胰腺炎 C 药物性胰腺炎 D 胰腺淋巴瘤 E 胰腺多发囊肿

(CGH,22-May)
上一期:消化系统少见病(一百零一):看图识食管病变 - 消化内科 - 专业医生社区,医学、药学、生命科学、科研学术交流 (dxy.cn)
下一期:消化系统少见病(一百零三):盲肠病变 - 消化内科 - 专业医生社区,医学、药学、生命科学、科研学术交流 (dxy.cn)















































