清华长庚进修记 第十二回 一个肝癌的综合治疗
十年前我对肝癌治疗手段的认知:移植或切除是最佳选择,射频或介入次之,索拉菲尼是死马当活马医,中医中药是呵呵选项,化疗则是旗帜鲜明的反对。相信当年大多肝胆外科同行和我持同样的观点,但自2018年以来,靶向、免疫、HAIC等方法的疗效确实惊艳了我们。
外科医生像陆军,手术就类比打仗,曾经我们的信条是“一切了之”,而老陆的信条也可简述为“步兵冲、炮兵轰,炮兵轰完步兵冲”。但时代变了,陆军还想打胜仗,需要陆航、特种、两栖、防空、电子对抗、工兵等多兵种配合,于是组建了涵盖上述各种战力的新作战单元---集团军。同理,如今的肝癌治疗也应该是多种手段并用才会取得最佳的效果。长庚肝胆胰中心涵盖了移植、外科、介入、放疗、肿瘤、内科治疗组,这样的机构设置使得医生可根据病人的具体情况很便利的呼叫“战友”进行MDT。以这个患者为例:

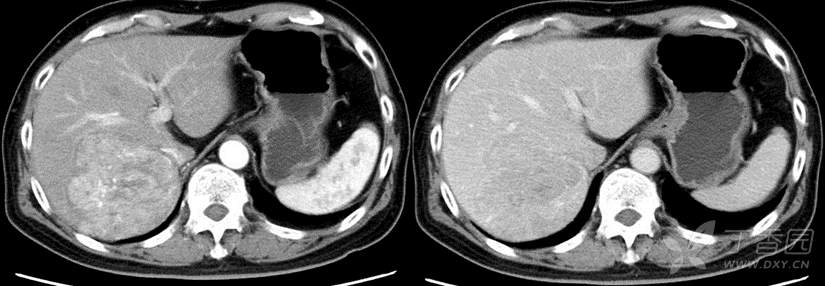
去年11月的一个肝癌患者,片子如上,外科医生第一反应肯定是切除,但是评估以后右半肝切除剩余肝体积不够,右后叶切除安全切缘不能保证(精准肝脏外科理念不但体现在术中,更要体现在术前规划阶段)。提请MDT讨论,用了PD-1+仑伐替尼+放疗降期治疗(放疗范围是右半肝,听放疗L教授说,不但可以控制肿瘤,还能促进左半肝体积代偿增生)。
12月底患者因心肌炎及甲状腺毒症再次入院,MDT讨论后停用免疫治疗,继续口服仑伐替尼降期。到了2月份再次评估,前后一对比明显好多了:


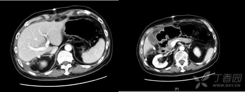
桃子熟了,该摘了。术前规划如下图,重点:肝脏右后叶切除并不能完全覆盖肿瘤,还有8段背侧段门脉分支供血,应该做右后叶+8段背侧段切除。

术中情况如下图。说明一点:术中请了介入战友,经肠系膜下静脉置入导管,在DSA下分别将右肝的门脉分支造影并注入美兰,所以各个段、亚段都很容易进行精确的标记(之所以着色不明显,是因为没阻断肝动脉,等到拍照的时候颜色就被冲淡了)。


病理报告:(右后叶右尾叶8段腹侧段)结合病史,符合肝细胞癌治疗后改变,瘤床大小4.5*3.5*2.5cm,可见<1%肿瘤细胞残留,位于瘤床周边局部区域内,散在可见小灶健活肿瘤细胞,瘤床纤维组织增生,慢性炎细胞浸润,组织细胞聚集。近瘤床肝组织细胞萎缩、退变,纤维组织增生,远瘤床肝组织未见显著变化。免疫组化:-5号切片HepPar-1(+)、HSP70(+)、GPC3(+)、GS(-)、CD10(-)、CD34(内皮+)、AFP(-)、CK7(胆管+)、CK19(胆管+)、CD68(组织细胞+)、Ki67(10%+)、CD4(23个/HPF)、CD8(14个/HPF)。-4/10/12/14/15/17号切片:GPC3(-)。特染:网染(+)。
患者术后恢复顺利,7天拆线出院,出院前CT如下:

不可否认,肝癌的治疗目前普遍存在“九龙治水”的现象,一个肝癌患者最先得到什么治疗很大程度上取决于他先挂了什么科的号。如挂了肿瘤科,就是靶向免疫;如挂了介入科,那就是TACE、HAIC或者消融;如果挂了放疗,可能先做射波刀了;如果挂了移植,可能直接移植了。虽然如何将现有手段优化组合才能让患者最大收益尚无定论,但是首先把各个专业整合到一起,大家坐在一起MDT讨论一下,类似联合参谋部战前会议,商定如何运用好炮兵、步兵、坦克、直升机、导弹等手段,才能彻底攻克肝癌这个堡垒。来长庚学习半年了,我感觉这点他们做的很好,不仅在肝癌,还有肝内胆管细胞癌、胆囊癌、肝门胆管癌等成功案例,后续再讲。
















































