清华长庚进修记-第十一回 记一例印象深刻的胰十二指肠切除案例
西地兰vip 推荐从医以来PD经历了不少,但这例印象尤为深刻,因为此病例有三怪:
68岁女性,因梗阻性黄疸入院,在完善术前检查期间,胆红素自行降到接近正常,为排除自身免疫性疾病,查了一堆免疫学项目,然而全都正常,如下图。术后病理报告“远端胆管癌,累及胆管全层,浸润至周围胰腺组织,最深达0.6cm”,这样的病理,术前梗阻性黄疸黄疸居然能自行下降,这是第一怪。

第二怪:患者2019年查体行超声心动图检查提示左室射血分数24%,肺动脉高压,但并没有任何症状。此番住院后行冠脉造影检查,未见冠脉异常,左心室增大,左室射血分数约36%;动态心电图检查:完全性左束支传导阻滞、偶发多形室性早搏。反复问病史并无特殊,且自述北京周边的山都快爬遍了、住院前还爬过野长城。心内科会诊最终意见,这种情况很少见,但大约、可能、也许无手术绝对禁忌症
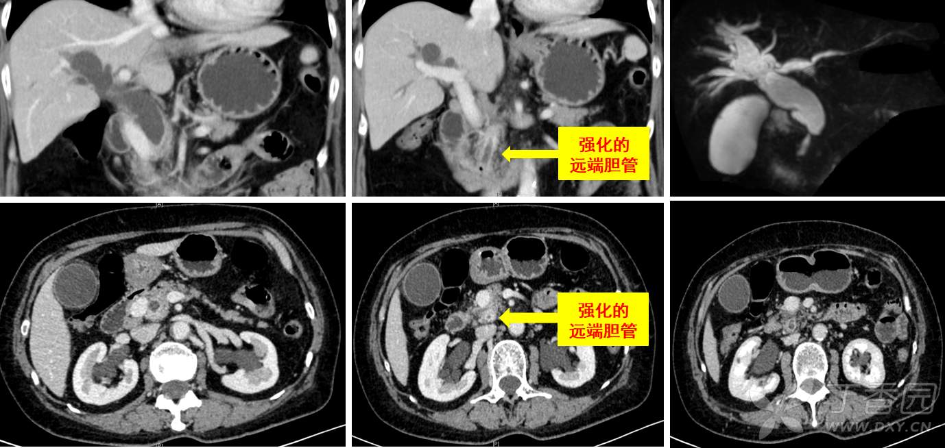
影像检查如下图,胆管下端狭窄并强化;动脉和门脉没有问题;结合CA19-9进行性升高,手术指征是有的。有了前述的两怪,如果给您,干不干?(看完故事前,仔细看看下面的片子,第三怪就隐藏其中)

犹豫不决中,还是患者几句话给了主刀W教授信心。“我以前是搞市场管理的,头脑很清楚,你们放心,手术出了问题,我自己负责,家里人都听我的;退休后来北京帮儿子带孩子,人生地不熟,来医院前我上网查过了,D教授团队是一流的,我信任你们;住院后观察你们做事很认真,而且待人非常和蔼,在这里做大手术,什么样的结果都能接受。”几句浓重的苏北口音话语,体现了医患之间不可或缺的信任,充分的信任是外科医生冒险搏一把的理由。
手术开始进展顺利,离断十二指肠后蒙了,因为门静脉前方没有胰腺!(如下图)难道是胰颈菲薄,和幽门一块断了?术中再次阅片,发现胰头确实从门脉后方进入了十二指肠。读到这,各位可以再次仔细看术前CT,门静脉处在十二指肠降部和胰头之间!3D重建可以更直观的展现该患者的第三怪。



继续往下做发现门静脉和脾静脉背侧有数支细静脉发往胰腺,镜下止血操作困难,同时胰管纤细,不足1mm,于是续转开腹(正中腹10cm),切除完术野及标本如下图:

常规吻合不再赘述。术后恢复顺利,引流液淀粉酶正常,逐步拔除引流管。最担心的心脏问题,ICU和心内科共同辅助精准调控补液量,BNP最终比术前3000多要好,有惊无险。
术后18天患者顺利出院,临别感言“我真不想出院,处出感情来了,由衷的说句,感谢!”
其实医生也应感谢患者,感谢她的信任,更感谢她的诊疗过程中的“三怪”使我们增长了经验。

















































