外伤患者呼吸衰竭的病因?(补充三个问题→答案已公布)
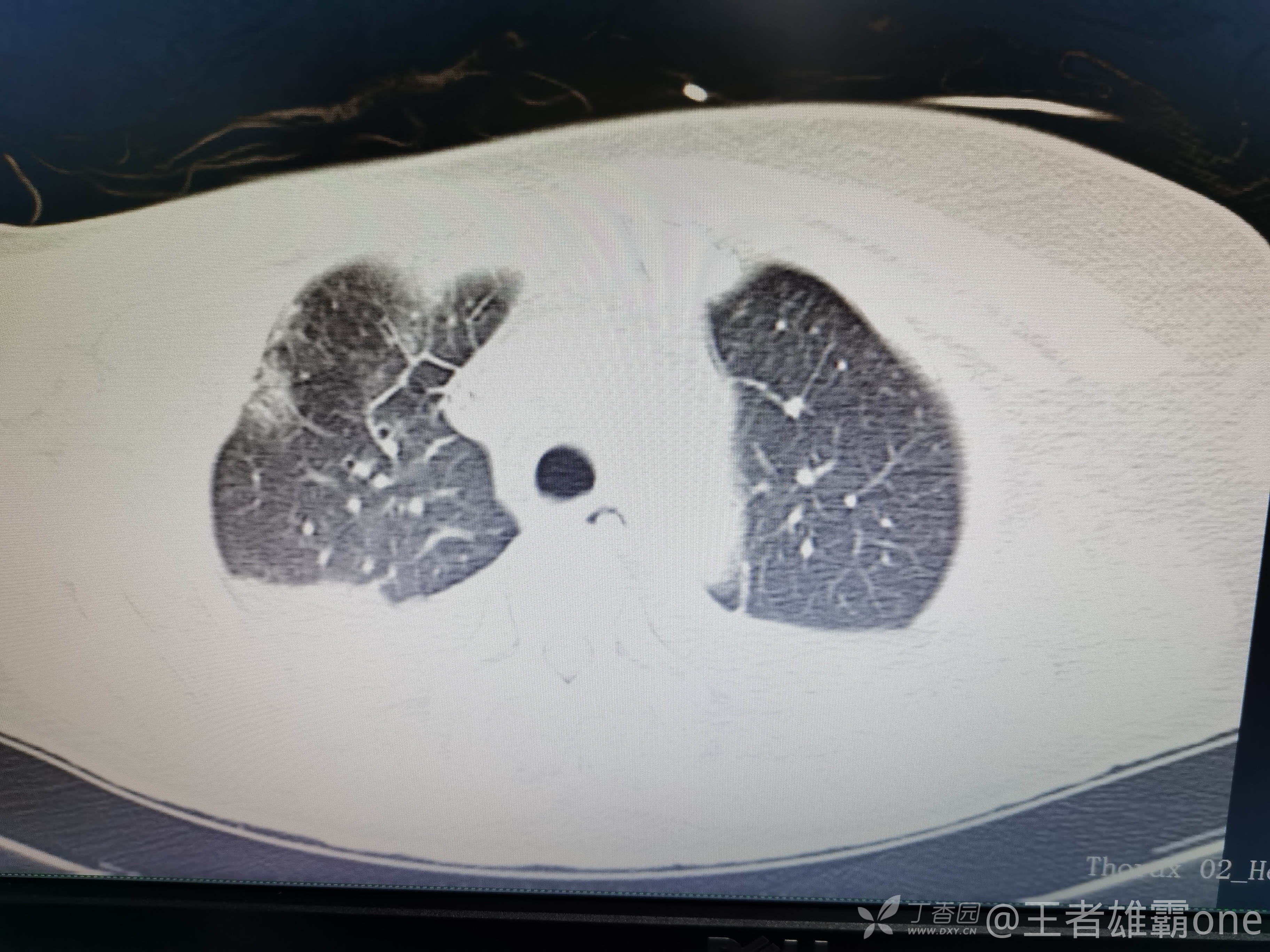
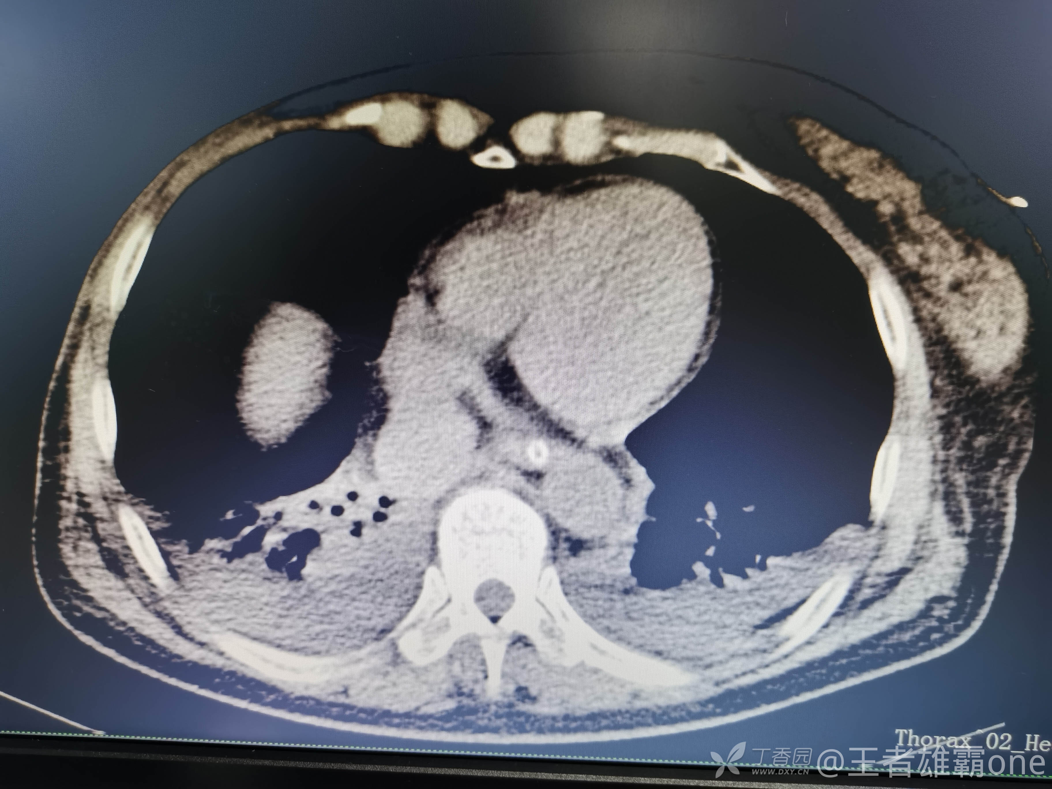
西门开心 推荐63岁女性,因车祸致短暂神志不清、多处疼痛4h入院。简单病史:伤后送至医院急诊就诊。完善头胸腹CT等检查,完善新冠核酸、血常规等化验。血常规提示血红蛋白62g/L。头颅CT提示未见明显外伤性改变。胸腹部CT视频见下:

既往有乳腺癌手术及化疗史,乳腺癌治愈。
诊断:
1.骨盆多发骨折
2.左股骨骨折,左大腿开放性伤口
3.左胫腓骨骨折
4.失血性休克
5.肺挫伤
6.双侧多发肋骨骨折
7.胸椎骨折
8.胸骨柄骨折
9.左锁骨骨折
10.左肱骨骨折
11.脑震荡
12.双侧胸腔少量积液
13.盆腔少量积液
14.乳腺癌术后。
于下午15 :00收住院,入院查体:

给予补液,输血纠正贫血、纠正低蛋白及改善凝血功能,甲强龙针治疗肺挫伤,头孢呋辛针预防感染等治疗。
入院后复查血常规:血红蛋白85g/L,白细胞10.2×109/L,血小板102×109/L。凝血功能:APTT29.7s,纤维蛋白原1.03g/L,凝血酶时间24s,D二聚体16700ug/L。生化:白蛋白20.2g/L,胆红素指标正常,谷丙56U/L,谷草83U/L,肌酐62.7ummol/L,尿素6.62mmol/L,超敏C反应蛋白7.8mg/L。降钙素原4.01ng/ml、白介素6 12.3pg/ml。脑钠肽前体217.5pg/ml。血气:pH7.35,氧分压103mmHg,二氧化碳分压36mmHg,乳酸2.5mmol/L。
收入院治疗期间,患者神志清晰,体温、血压、心率等生命体征基本正常,到了凌晨02 :00左右出现呼吸明显急促(呼吸频率30次/分以上),改面罩高浓度吸氧,血气提示氧分压57mmHg,二氧化碳分压37mmHg,乳酸4.4mmol/L,血红蛋白10.4g/dL。查急诊胸片:



给予气管插管呼吸机通气。。
早上复查血常规:血红蛋白100g/L,白细胞11.1×109/L,血小板29×109/L。凝血功能:APTT37.9s,纤维蛋白原3.01g/L,凝血酶时间18.6s,D二聚体21530ug/L。生化:白蛋白36.2g/L,胆红素指标正常,谷丙56U/L,总胆红素38mmol/L,直接胆红素12.1mmol/L,谷草57U/L,肌酐91.1ummol/L,尿素13.97mmol/L,超敏C反应蛋白142.1mg/L。降钙素原17.70ng/ml。脑钠肽前体2164pg/ml。复查胸部CT:
























那么问题来了,出现呼吸衰竭气管插管的病因是?请大家讨论分析!
2022-4-7补充三个问题:
1.血小板减少的病因?
2.血炎症指标升高的病因?
3.D二聚体2万多,要抗凝治疗吗?
















































