清华长庚肝胆胰中心进修记---第十回---可恶的泡型肝包虫
西地兰vip 推荐D教授倡导的“包虫清零行动”,每年会花一定时间组织多个医院同行到牧区为包虫患者手术,一些特别复杂的会接到北京手术。全程管理这样的患者,对于年轻医生的进步是巨大的,可谓“一个顶仨”。
这位年轻的女藏胞,才20岁已经发现肝包虫3年,当时就建议手术,可是除了肚子隐隐作痛没啥不舒服,就出院吃藏药对症治疗了。直到2个月前人都黄的不像样子,才到拉萨要求手术,医生说“晚了,你还是到北京试试吧。”
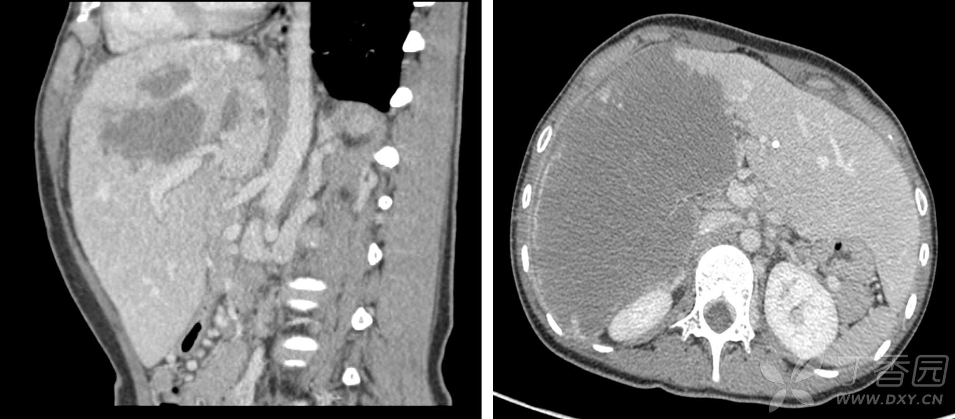
入院后予PTBD减黄,肝功能恢复正常。腹部增强CT提示:病变呈地图样表现,符合肝泡型包虫病特征;病灶主要位于肝脏右三叶,大小约12.1cm*15.4cm*19.2cm;病灶侵犯肝右动脉,门静脉右支全程及左支矢状部受侵,肝右静脉及肝中静脉全程受侵,肝左静脉-腔静脉汇合区受侵,肝中静脉与肝左静脉侧支循环开放,肝后及肝下下腔静脉严重侵犯闭塞,腹膜后侧支循环充分开放,肝左外叶代偿性增生。如图1:


图1 腹部CT血管成像:病灶位于肝脏右三叶,肝左外叶代偿性增生;肝动脉右支受侵,门静脉右支全程及左支矢状部受侵;肝右静脉及肝中静脉全程受侵,肝左静脉-腔静脉汇合区受侵,V2-V3存在侧支循环(蓝色箭头);肝后及肝下下腔静脉严重侵犯闭塞,腹膜后侧支循环充分开放(红色箭头)。
ICG-R15min 6.7%,肝功能Child A级,计算标准肝体积1076ml,左外叶体积1280ml,占患者标准肝体积的121%,剩余肝脏倒是够用的,那就剩一个关键问题,流入流出道完整性能否保证。
流出道:肝后下腔静脉全程受侵闭塞,纵向长度约9.5cm,好在腹膜后奇静脉及半奇静脉已代偿性扩张,因此术中可酌情仅行门腔分流,可不重建肝后下腔静脉。肝右、肝中静脉都已经没了,就连左肝静脉汇入下腔部也受侵,这使得在体切除几无可能,离体切除或许还有点希望。
流入道:左外叶的动脉是好的,门静脉左支较长,可切除重建。胆道系统和门脉一样,对于有丰富移植经验的医生,并非难事。
术前讨论的最后一句话:面对20岁的生命,放手一搏吧。
奔驰切口入腹,探查见右三叶被巨大灰白色包块占据,肝左外叶明显代偿增大,侵犯肝门部,与膈肌部分粘连,试分离第二肝门,发现包块确实严重侵犯保留侧肝腔静脉汇合区,在体切除确无可能,按计划行离体肝切除+自体肝移植术。
全肝切除:游离肝脏,仔细解剖分离肝脏与膈肌形成的致密粘连。显露肝上下腔静脉,缝扎离断左右膈静脉支,使肝上下腔静脉充分游离。充分游离肝后下腔静脉,见肝后下腔静脉被侵犯完全闭塞,游离肝下下腔静脉至肾静脉汇入平面;解剖第一肝门,游离出肝动脉、门静脉及肝总管并悬吊(图2);尝试性阻断肝上下腔静脉观察15min,未见明显血流动力学波动(肝后下腔静脉不需要重建了),阻断肝上下腔静脉、肝下下腔静脉、肝固有动脉、门静脉后,整体切除肝脏及肝后下腔静脉。离体肝切除无肝期较长,因此需行暂时性门腔分流,这个病人门静脉残端与肝下下腔静脉端端吻合,这样门静脉血流可通过腹膜后奇静脉、半奇静脉回流入体循环(图3)。

图2 第一肝门解剖:门静脉主干、肝固有动脉、胆总管游离后分别悬吊保护。

图3 无肝期门腔分流的建立:因腹膜后侧支循环充分代偿,未重建肝后下腔静脉,仅行门静脉残端与肝下下腔静脉端端吻合建立门腔分流。
体外病灶切除及脉管修复:全肝离体后置于冰盆内,使用0-4℃ 2000ml乳酸林格+8000ml HTK经保留侧门静脉充分灌洗,肝素盐水灌洗保留侧肝动脉;使用CUSA及双极电凝于第一肝门处沿包虫边界及镰状韧带左侧自门静脉矢状部右侧行肝实质离断,所遇1mm以上管道妥善结扎;离断发往S4的肝蒂,保护门静脉左支,于门静脉左右分叉部位切断门静脉右支(图4);肝实质离断至第二肝门处断面可见肝左静脉开口,完整切离病灶后,肝断面予以仔细缝扎(图5);扩大整形肝左静脉开口(图6),使用灌注液检测肝断面及脉管有无渗漏。

图4 体外第一肝门解剖:离断门静脉右支及P4

图5 体外第二肝门解剖:保留侧肝左静脉根部受侵

图6 肝左静脉开口扩大整形
剩余肝脏回植:使用5-0 prolene线行肝左静脉与肝上下腔静脉端端吻合;使用6-0 prolene线行门静脉左支与门静脉主干端端吻合;开放肝上腔静脉后再开放门静脉,创面妥善止血。使用8-0 prolene线行肝左动脉与肝固有动脉端端吻合,开放肝动脉血流后见肝脏颜色恢复正常,无淤血等表现,胆管可见新鲜胆汁流出。使用6-0 PDS行左肝管与胆总管端端吻合。冲洗、放引流、关腹,手术结束。术后第14天顺利出院,定期随访,患者一般状况良好。
手术很牛,介绍的比较详细多的不说了。啰嗦几句:这个病例充分说明泡型包虫病更要早诊早治,如果3年前就手术,大概率不要做这么大。现实是绝大多数患者都在牧区,条件所限,很多时候病情拖到实在不能拖了才来就诊,更大的悲剧是每年全世界新发病例约18000例,其中9成来自我国。虽是小小肝胆胰外科医生一名,但位卑不敢忘忧天下,碰到这样的病例一定要教育患者早诊早治,能拿下的尽早拿下,拿不下的,立刻推荐给大型肝胆胰中心,只要切干净那就治愈了,不同于恶性肿瘤,值。
















































