清华长庚进修记-第七回-左2.5肝切除术
西地兰vip 推荐如果病灶位于左肝,根据标本从小到大顺序,依次为左外叶、左半肝、左三肝。其实也有比左半肝大,比左三肝小的时候,姑且叫做左2.5肝切除。
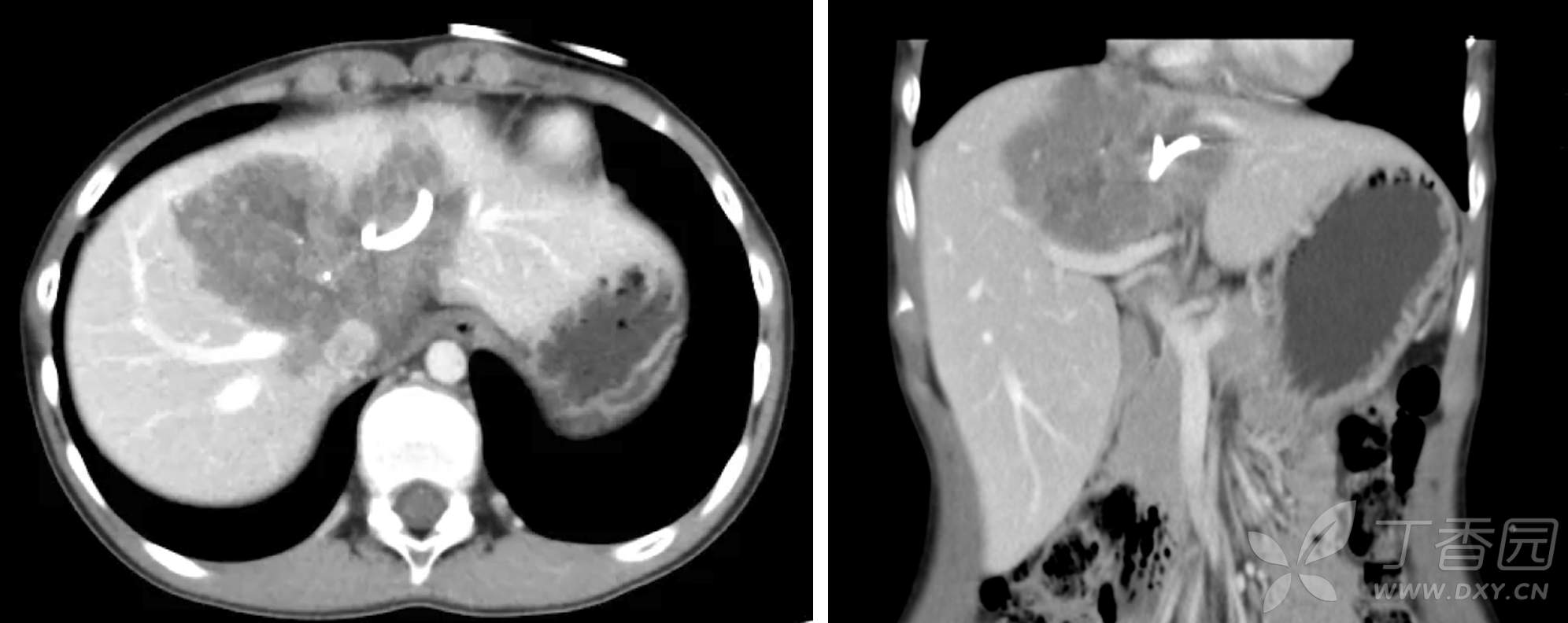
16岁女患者,玉树来的藏胞,因梗阻性黄疸,在当地诊断为左肝泡型肝包虫,左侧PTBD后来院。化验基本正常,影像学检查如下:


此人解剖变异,右前支和左支汇合成共干,左三肝切除变得比较容易。但是泡型肝包虫是良性疾病,不同于恶性肿瘤需要一定的切缘,应该在确保切净的情况下,尽可能多的留下正常的肝脏。所以主刀医生计划从右前肝蒂表面劈开,保留背侧亚支,切除腹侧亚支。如下:



手术6h,失血量100ml。患者术后恢复顺利。
在确保切净的同时最大程度保留剩余脏器功能,这个案例就是精准外科理念的一个具体应用。
















































