清华长庚进修记-第五回-胆管囊肿
西地兰vip 推荐胆管囊肿,比较常见的先天性疾病,肝胆科医生都碰到过,我对它和不少医生一样,也是比较“瞧不上”。但是来清华长庚后碰到的都是外地转诊来的比较难啃的“硬骨头”,才发现这个病不简单。比如这个:
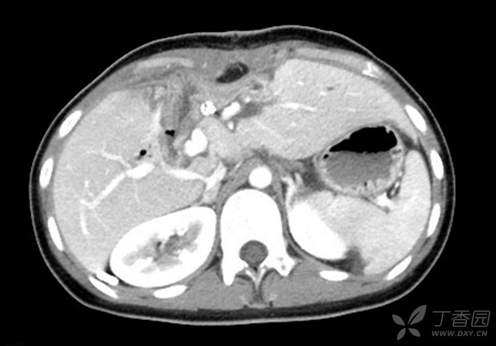
19岁少女,间断腹痛发热2年,检查发现肝内外胆管囊状扩张。一看片子就知道,来者不善。

术前的仔细分析非常关键,这里的年轻医生都可以做的很好,如图标注:左内叶、右前叶的肝内胆管都扩张了,胆总管扩张严重一直达到胰腺实质内:


术前讨论的手术方案两种:
方案一左三肝切除+胆肠吻合:剩余肝体积33%;
方案二中肝切除+胆肠吻合:剩余肝体积60%。虽然第二种手术难度大,但是最大程度的保留了剩余脏器功能,符合精准外科的理念。主刀L教授(肝胆外科不多见的美女专家)决定按第二种方案办,说到做到,如图:

嚯嚯,好家伙,一开肚子就发现空间很小。

先往下面挖,把胰腺段囊肿彻底切除离断后向上拎起来,方便肝门操作。

肝门解剖的清清爽爽,离断中肝动脉后开始切中肝。

肝蒂可以留在劈开肝实质内再离断。
(me:胆管囊肿的病人,胆管内常有梁状纤维结构,大家发现过没有,我反正是最近才知道,给个特写如下)

切完以后的图堪称作品:

术后恢复顺利,姑娘顺利出院。出院前影像检查如图:

总结:胆总管囊肿不是一个简单的病,即使是最常见的Todani-I型,也有很多人因为不彻底,术后反复发烧。而再次手术因腹腔内粘连,难度进一步加大。作为一个良性病,术者承担的压力更大,要保证安全性,又要保证彻底性,应当予以十二分的重视才对。
















































