清华长庚肝胆胰中心进修记---第四回 肝内外胆管结石一例
普外孙礼刚 达人已点赞这个病例算不上完美,但是学到很多,与诸君共享。
65岁男性,腹痛黄疸发热来院就诊,典型胆管炎表现,影像学检查发现肝内外胆管结石,如图:



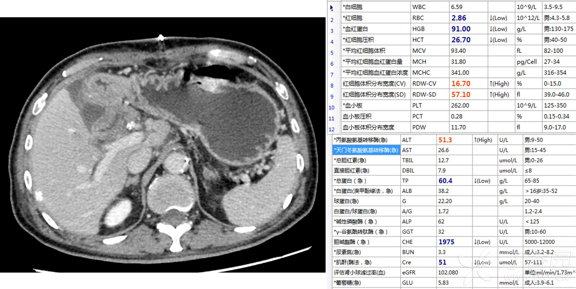
入院后消炎、解痉、补液治疗,患者一般情况明显好转,术前一天的化验单如下:

术前诊断:1、梗阻性黄疸并胆管炎;2、肝内外胆管结石;3、左肝萎缩不除外癌变;4、先天性胆管总管囊状扩张;4、乙肝。
手术计划:腹腔镜左半肝切除+胆道镜探查取石+肝外胆管切除+胆肠吻合术。
第一步,腔镜探查、胆囊切除、打开胆总管前壁,胆道镜探查见胆总管结石并取尽,胆总管壁塌陷,未见肌性环形结构,证实肝外胆管囊肿为原发性,需行肝外胆道切除。
第二步,切除左半肝,离断左肝动脉并悬吊左肝蒂,如图

使用切割闭合器离断左肝蒂,回刀退出时,见大量鲜血涌出!紧急用纺纱填塞压迫,中转开腹,发现左肝静脉根部足侧被闭合器头端打了一半,使用5-0prolene线缝合关闭,检查无活动性出血后完成左半肝切除、肝外胆管切除。
第三步:做胆肠。有几个关键点是我没想到的,1.右前肝管有狭窄环,必须在此上面离断。(me:直到打开狭窄环我才想起“胆管囊肿往往有狭窄环”这句教科书上说的金句,很多医生因此而掉坑,而主刀在术前片子上就看到了,如下图)

(me:切完狭窄环,我以为找到了右前右后肝管,主刀又说我又错了,那个只是8段和5段肝管,真正的右后肝管是和左肝管先汇合的,这个人有解剖变异,汗颜!又差点掉坑里)

手术结束后,经主刀W教授讲解,反过头再看片子,如图

术后患者恢复顺利,术后12天出院。出院前复查结果如图:

通过这个病例总结几个点:1、腔镜肝脏手术,离断重要脉管前,闭合器一定要露头!以前听西南医院的L教授说过同样的故事,离断左肝蒂,因为家中有事着急,没有悬吊,更没有露头,一枪下去,出血不止。出事的同样是肝静脉。碰到大出血了如何处理,学到了。2、胆总管囊状扩张是原发还是继发,通过形态只是初步的,还要看是否有狭窄环,最好是胆道镜下直视看其形态及粘膜。3、肝内外胆管结石患者,同时存在胆管变异不少见,仔细阅片、仔细探查才能避免掉坑里。想起来黄老说过,肝胆外科医生只术前看片子是不够的,术中、术后还要看。至理名言。
















































