长庚肝胆胰中心进修记-第三回(下)收到一条哈达
发个帖,如果图片太大,系统无法上传,只能分成两块,各位见谅,言归正传:
然后就前入路一直劈下去,注意保护好左肝静脉汇入下腔处。下腔静脉最后用心耳钳夹闭后离断,完整移除标本后将下腔静脉连续缝合关闭。2/3段胆管汇合部劈开少许并整形后行胆肠吻合。主要操作完毕。



病理报告:(右三肝)肝组织结构破坏,其内见一结节(大小约15*12*9cm),镜下可见大片凝固性坏死,坏死组织中见不规则分布的变性坏死虫体伴钙化,坏死组织周围见类上皮细胞反应伴多核巨细胞,多量淋巴细胞、浆细胞、片状组织细胞及少许嗜酸性粒细胞浸润,局灶小脓肿形成,病变局灶累及肝被膜,肝组织手术切缘未见病变累及。周围肝组织小叶结构完整,偶见肝细胞点状坏死,少许肝细胞淤胆,肝窦扩张,窦内及汇管区少许急慢性炎细胞浸润。特殊染色:PAS(+)。 综上:肝棘球蚴病。(胆囊)胆囊慢性炎伴急性炎;淋巴结1枚,呈反应性增生。(12组淋巴结)淋巴结3枚,呈反应性增生。
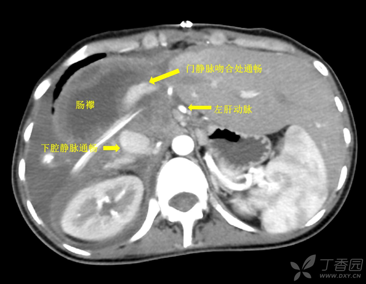
术后恢复顺利,顺利拔管出院。拔管前影像资料如下:

故事还得讲完,术前卓玛每日用手机和两个孩子视频,大点的刚上小学,放学后努力帮家里老人照顾着咿呀学语的妹妹,看得出来眼神中的不舍和一个年轻母亲伪装的坚强,术前谈话签字,她老公也是汉语都不太会讲的木讷之人,能不能听懂那些手术风险我深表怀疑,但他眼神中能看到对医生的充分理解和信任。作为管床医生,我内心对于这个手术是没有把握的,同样是两个孩子的父亲,难免会动恻隐之心,就这么一直捏着把汗,直到她出院那天,亲自给包括我在内的几位医生带上洁白的哈达、寄上吉祥结,这条哈达我收了。
(me:我问主刀,那个下腔静脉部分切除后会不会窄。答曰,这个不窄。术后从病人恢复情况看确实不窄。各位看官,如何判断修补后的下腔静脉或者说门静脉窄不窄?请留言赐教。
另感叹一点,清华长庚肝胆胰中心因为每年肝移植量很大,血管库很丰富,真的窄了需要修补或者置换,“从冰箱里拿出来用就是了,免费的,国外好几万呢”。
还有,我国西部牧区还有很多类似卓玛的人,深受包虫之害,这就是个寄生虫病,应该说是可防可治的,听说D教授倡导并践行“包虫清零行动”,每年会不定期上高原为患者诊疗,复杂病人接到内地来诊治,这种病治疗效果肯定比肿瘤要好,点赞。)
















































