清华长庚进修记---第二回一例不寻常的whipple
西地兰vip 推荐胰头十二指肠切除术在全国很多地市级医院已常规开展,这回说个进修期间碰到的“不寻常”whipple。
病情简介:一位19岁的花季少女,10岁的时候因腹部包块、腹痛、纳差在当地检查发现胰头肿瘤行手术治疗,当时的情况描述“术中可见肿瘤位于胰头部,大小约8*9*10cm,与胰头十二指肠球部黏连致密,故行胰头部肿瘤及与之黏连的十二指肠球部、胃幽门部切除,胃空肠吻合术。术后病理示:病变符合胰腺实性-假乳头状瘤,伴出血坏死。免疫组化:Vimentin(+++), NSE(++), CK7(+),Ki67阳性率<1%”。
近1月来再次纳差,当地医院检查发现腹腔内肿瘤,穿刺活检提示病理还是实性假乳头状瘤,因手术难度大辗转来京。
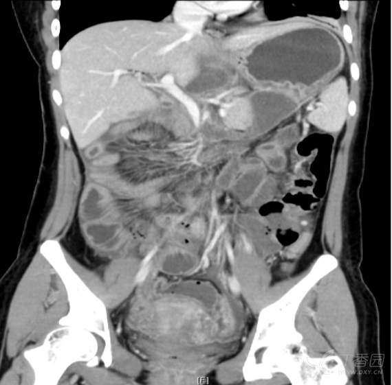
术前检查:化验无特殊,影像检查如下图,复发的胰腺实性假乳头状瘤压迫浸润了很长一段SMV,腹腔内还有散在复发病灶。


(me:见过很多whipple术,但是从没想过如果肿瘤侵犯的很低很低,低到肠道分支静脉受累怎么做。)
手术方式:网膜肿瘤切除,胰十二指肠切除,右半结肠切除,全小肠自体移植
术中探查发现胰头后方见大小不等的囊实性肿块融合,向上与胆总管右侧壁结节延续,向下与结肠系膜延续,后方与下腔静脉前壁粘连较重……见胰头下缘及钩突大小不等囊实性肿块融合成“串珠样”向下延续,浸润横结肠系膜血管无法分离,触及肠系膜上静脉上段已被肿瘤浸润无法分离显露。好的一点是肠系膜上动脉主干可分离,未受肿瘤侵犯。

考虑胰头肿瘤向下明显浸润肠系膜上静脉主干及横结肠系膜静脉主干,门静脉及脾静脉汇合部良好,故决定沿脾静脉汇入门静脉处下缘处以血管阻断钳夹闭肠系膜上静脉并切断,于肠系膜上动脉起始部远端2厘米处以血管阻断钳夹闭并切断,于回盲部近端20厘米处离断末端小肠,整块移去切除的肿瘤所在胰头体部和钩突、肝外胆管、十二指肠及全部小肠。

一组手术人员继续清扫切除胰头区域及肠系膜上动脉区域的神经及脂肪组织和散在结节。另一组人员迅速将大体标本移至体外移植组备好的冰水灌注液中,灌注液迅速自肠系膜上动脉断端持续灌注,见肠系膜上静脉内灌注液流出,热缺血时间约3min,将浸润至小肠系膜的胰腺肿瘤仔细剥离切除,可见其浸润至小肠系膜多个静脉主干分支,离断并切除胰腺十二指肠肿瘤组织,修剪小肠系膜主干静脉分支2支整形后与已修剪备好的长约5cm异体血管吻合在一起,另将一小肠系膜主干静脉分支单独与异体血管侧壁相吻合。

将小肠放回腹腔内,先将肠系膜上动脉原位以6-0血管缝线连续吻合,另将异体血管上端与门静脉断端以6-0血管缝线连续吻合,恢复血流后可见小肠颜色迅速变为红润,小肠蠕动恢复,触及系膜血管搏动良好。将腹膜后、下腔静脉旁、胆总管后肿大质硬组织淋巴结剥除。移植回小肠长度约为3米10厘米。自小肠离体至回植血流再灌注恢复时间约1小时。

然后就是切除右半结肠,最后行胰肠吻合、胆肠吻合、胃肠吻合。手术历时12小时,出血300ml,下图是术后病理报告截图和出院前复查增强CT。


出院时,女孩化了淡妆打扮的漂漂亮亮,眼含幸福的泪花和大家拍照留念,现在翻起手机看到照片中这位亭亭玉立的大姑娘,心理俩字:真好。
















































