先锋先行| 宜黄县人民医院成功抢救一位急性心梗患者
2021年11月04日15:08分,一名患者自行来到了宜黄县人民医院门口,主诉胸痛自中午13:50点至今无缓解,于15:12我院医师首次接诊,立即开通胸痛绿色通道,将患者护送到我院内二科胸痛中心,15:18时行心电图提示:急性ST段抬高型心肌梗塞;15:24给予口服“阿司匹林300mg、氯吡格雷300mg、阿托伐他汀40mg”。
入院后,检查心电图、心梗三项,量双上肢血压,患者心电图提示:V2-V5ST段弓背向上抬高,入院患者血氧饱和度100%。体查:T 36.6℃ P 120 次/分 R 20次/分 左侧BP 150/96 mmHg 右侧BP 149/103mmHg 神志清楚,精神欠佳,推入病房,颈软,颈静脉无怒张。两肺呼吸音清,未闻及明显干湿性啰音。心率120次/分,律尚齐,各瓣膜未闻及病理性杂音及心包摩擦音。腹尚软,无压痛、反跳痛,肝、脾肋下未触及,肠鸣音正常,双下肢无水肿。心梗三项:血清肌酸激酶-同工酶 2.22ng/ml 血清肌 钙蛋白I测定 0.01ng/ ml 血清肌红蛋白测定 167.84ng/ml。



立即给予肝素化,使用溶栓药,溶栓半小时患者胸痛减轻,考虑溶栓成功。

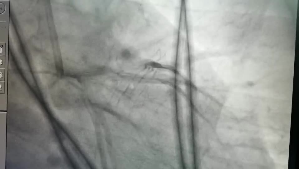
转院后,冠脉造影检查,上级医院回复溶栓成功,血栓负荷重,植入一枚支架。


















































