21-羟化酶缺乏症
临床问题
21-羟化酶缺乏症的临床表现有哪些?
病例介绍1
患者年龄:生后16天。
患者性别:男
简要病史:因活动能力低下1天急诊入院。生后母乳喂养困难,近几天母乳喂养次数减少,就诊前2天曾喂养配方牛奶。喂奶时因意外呛奶窒息2秒急就诊,当时患儿双侧眼球上翻,无强直-阵挛或抽搐发作,肤色正常,活动能力低下,尿少,每天更换1块尿布。
既往史:无特殊。
体格检查:
体温37.5℃,呼吸频率32次/分,心率142次/分,血压95/65mmHg。身高、体重均位于第5百分位数。患儿意识清醒,瘦弱,仅在外界刺激时哭泣。前囟凹陷,口唇及粘膜干燥,泪液分泌减少,肺部听诊未闻及杂音,窦性心律无杂音,腹软,未触及肿大脏器,毛细血管充血时间为2秒,双侧睾丸已下降,神经检查肌张力减退,无局灶性病变。
实验室检查:
血常规正常。
腰椎穿刺脑脊液中见白细胞1/ml,脑脊液中糖和蛋白质浓度均正常,同时还进行脑脊液、血、尿培养。
血生化:钠115 mmol/L,钾7.7 mmol/L,氯81 mmol/L,血尿素氮11.1 mmol/L,肌酐88.4 μmol/L,血糖4.9 mmol/L,钙5.4 mmol/L。(低钠血症和高钾血症虽不能确立诊断,但可提示临床上进一步检查。)
超声检查未见肾上腺异常。
21-羟化酶的前体17羟孕酮的浓度明显升高(>120000 ng/dl,正常值4~200 ng/dl)。同时,促肾上腺皮质激素浓度也明显升高,达541pg/ml (正常值9~52 pg/ml)。患儿是男性,表现为失盐型先天性肾上腺皮质增生症。
临床诊断:21-羟化酶缺乏(经典失盐型)
鉴别诊断:
出生2周的新生儿患低钠血症伴高钾血症时,应高度怀疑先天性肾上腺皮质增生症,其他可引起新生儿电解质紊乱的因素有水中毒、胃肠炎、喂养不当等。如伴有呕吐,还应与幽门梗阻、肠扭转不良相鉴别。如有噎食史,应排除胃食管反流和癫痫。
治疗:
应给予糖皮质激素抑制雄激素过度分泌。
盐皮质激素替代和补钠疗法,推荐使用的盐皮质激素为氟氢可的松(9-α-氟皮质醇)。
病例介绍2
患者年龄:2 岁
患者性别:女
简要病史:
家长发现患儿无阴道口来诊。
患儿全身多毛,皮肤黑,阴蒂肥大,尿道口开于前端,阴唇融合,无阴道口。
身高101 cm,骨龄5岁。
B 超:探其双侧卵巢、子宫、阴道,外阴及腹股沟未探及睾丸及附睾。
MRI:肾上腺无明显增生,垂体形态、大小正常,无占位性病变。
染色体:46,XX。
血清17羟孕酮:33.3nmol/L
基因检查:检测到CYP21A2 基因的2个杂合突变。
诊断:21-羟化酶缺乏症(单纯男性化型)
醋酸氢化可的松片治疗1 年半,全身汗毛消退,声音变细,皮肤变白,阴蒂未增长,BA 增加1 岁,身高长了7 cm。
病例介绍3
患者年龄:16 岁
患者性别:女
简要病史:
痤疮、多毛、月经不调来诊。外院考虑多囊卵巢综合征。
既往健康。
青春期发育史显示 9 岁乳房发育,7 岁阴毛生长,约 11.5 岁时候出现过一段时间的阴道出血。
家族史提示其家族中的一些女性亲属出现不育、月经紊乱、多囊卵巢综合征或脱发。
该患者也明显矮于其理想身高。
实验室检查示低Na+,低Cl-,血清睾酮、雄烯二酮升高,硫酸脱氢表雄酮正常,血皮质醇、醛固酮正常,肾素水平升高,血清17羟孕酮:33.3nmol/L;肾上腺CT平扫+增强提示左侧肾上腺增生;对侧肾上腺大小、形态正常。获患者知情同意后,对其进行基因检测示:CYP21A2基因第2内显子和第7外显子存在杂合突变。
临床诊断:21-羟化酶缺陷症(非经典型)
醋酸地塞米松片口服,1个月后随访见患者病情明显好转。
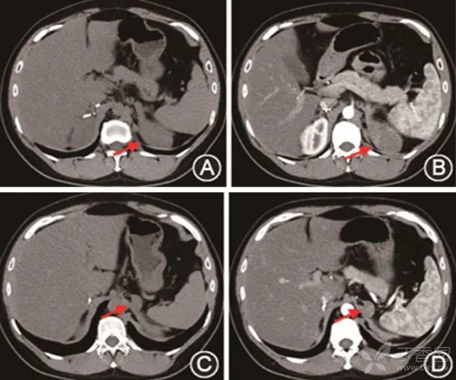
病例介绍4
患者年龄:33岁
患者性别:男
简要病史:
肾上腺占位切除术术后随访。
2年前,意外发现右侧肾上腺占位,并行手术切除。
半年前,再次意外发现左侧肾上腺2个占位,手术切除较大占位。

随访过程中发现左肾上腺未切除占位增长快速。
仔细追问病史,患者生长速度加快时间早,14岁后身高无增加,终身高偏矮(165 cm),提示存在性早熟可能性大,有先天性肾上腺皮质增生症(CAH)的可能。
患者病程中血压不高,完善促肾上腺皮质激素、孕酮、17α羟孕酮、中剂量地塞米松抑制试验、基因检测(CYP21A2基因)等检查。

临床诊断:21-羟化酶缺陷症(非经典型)
治疗经过:
给予泼尼松睡前口服。定期复查肾上腺CT,肾上腺占位无进一步增长。
病例思考
根据基因表型-临床表现、醛固酮、皮质醇缺乏的程度及高雄激素血症的程度,分为经典型和非经典型,经典型又可进一步根据临床表现、醛固酮浓度分为失盐型和单纯男性化型。

2021-07-24















































