脑池详解
脑 brain 外包被硬脑膜 cerebral dura mater 、脑蛛网膜 cerebral arachnoid mater 和软脑膜 cerebral pia mater。

其中脑蛛网膜与软脑膜之间的腔隙称为蛛网膜下隙 subarachnoid space ,内充脑脊液。

蛛网膜下隙在某些部位扩大为蛛网膜下池 subarachnoid cisterns 。由于蛛网膜下池主要位于脑周围,故又称脑池 brain cisterns。


脑表面有较浅的“沟”和较深的“裂”,脑回间的脑沟相当于小溪,较深的脑裂则相当于小河,而脑池则相当于湖泊,脑沟和脑裂处的脑脊液最终都汇入脑池。
脑沟

脑裂

重要的脑池有:

由于脑池和脑室内均为低密度的脑脊液,有时影像上二者易于混淆。因此,熟悉脑池的断层影像解剖,对病变的影像学定位诊断至关重要。MRI 可较好地显示脑池及内含结构。CT 平扫即可观察较低密度的脑池。

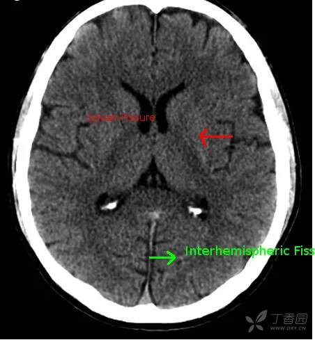
大脑纵裂池
大脑纵裂池 cistern of cerebral longitudinal fissure (interhemispheric fissure cistern)位于两侧大脑半球之间的大脑纵裂内,内有大脑镰插入,故此池分为左右两部。

该池底部绕于胼胝体周围,称为胼胝体体周池,向前下延为终板池,向后下续于大脑大静脉池。
大脑纵裂池在不同横断面上的表现各异。例如,在胼胝体以上层面中所见为大脑纵裂池全长;在胼胝体出现的层面上大脑纵裂池分为前后两段,分别位于胼胝体断面的前后方;在较低的鞍上池层面则只见大脑纵裂池前段。
CT


MRI T2


大脑外侧窝池
大脑外侧窝池 cistern of lateral fossa of cerebrum 又名侧裂池,位于大脑外侧窝内。

大脑外侧窝池在横断面上的典型表现呈横置的 “Y” 形,主干伸至岛叶表面即分为前后两支,前支较短伸向前内,后支较长伸向后方。


其中前后支又称为岛池,内侧对应的脑皮质即为脑岛叶。
大脑外侧窝池内有大脑中动脉的岛叶段和大脑中静脉经过大脑外侧窝池在青年人可以不明显,老年人常较清晰,脑萎缩者明显增宽。

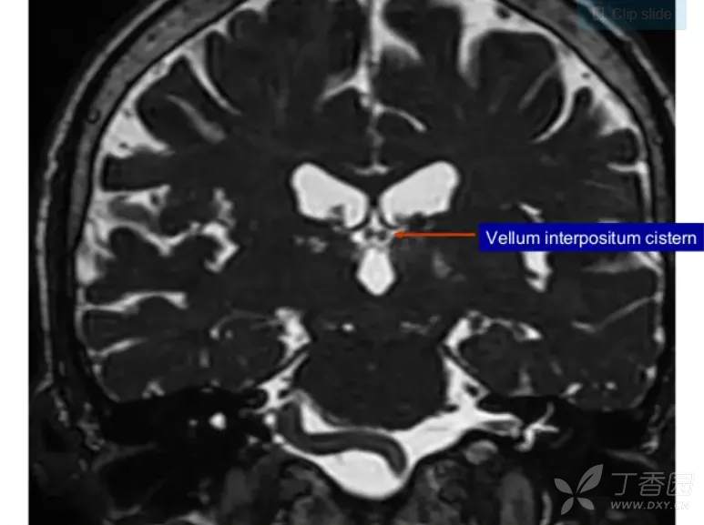
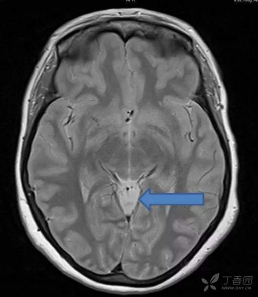
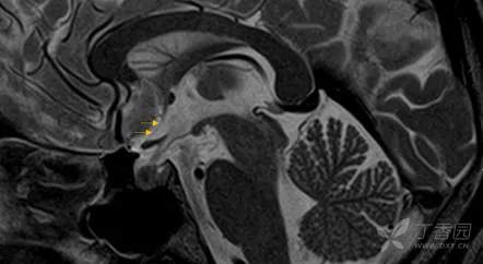
帆间池
帆间池 cistern of velum interpositum, 又称中间帆腔或第三脑室上池,位于第三脑室顶的上方、穹隆体和穹隆连合的下方。


冠状位示意图- CVI:前髓帆间隙,CC:胼胝体,ICV:大脑内静脉,F:穹窿,VL:侧脑室,T:丘脑,CN:尾状核,3V:第三脑室,CP:脉络丛。
它是一尖向前的三角区,两前外侧界为穹隆的内侧缘,后界为胼胝体压部。
此腔可经胼胝体压部的下方通大脑大静脉池。

在临床工作中,应注意帆间池与第三脑室顶部的区别:
1、帆间池的层面较高,第三脑室顶部层面较低;
2、帆间池后界是胼胝体压部,第三脑室顶部的后界为松果体;
3、帆间池为尖向前的三角区,不与侧脑室前角相连;而第三脑室前部为矢状位的狭长裂隙,前端可达侧脑室前角。



大脑大静脉池
大脑大静脉池 Galen's vein cistern 是四叠体池向上的延续,居第三脑室的后方,上抵胼胝体压部。池内前有松果体,后有大脑大静脉。

1. Great cerebral vein of Galen. 2. Internal cerebral vein. 3. Thalamostriate vein. A. Cistern of the laminae terminalis. B. Chiasmatic cistern. C. Interpeduncular cistern. D. Ambient cistern. E. Quadrigeminal cistern. F. Cerebellopontine cistern. G. Prepontine cistern. H. Lateral cerebellomedullary cistern. I. Cisterna
在CT 图像上,大脑大静脉池在第三脑室上部与“V” 型小脑幕影之间,与第三脑室上部共同显示为菱形低密度区。池内的松果体易于显影,如钙化则更为明显,而大脑大静脉须强化后才能看到。

四叠体池
四叠体池 quadrigeminal corpus cistern 又称上池 superior cistern ,居中脑四叠体后面与小脑蚓部前缘之间,两端向外连于环池翼部,向前外通环池本部。四叠体池和环池位于小脑幕切迹内,幕上或幕下的病变可经这些脑池延伸。例如,小脑幕切迹疝可使这些脑池变窄或消失。


小脑上池
小脑上池 superior cerebellar cistern 一般见于颅盖下部较低层面,为四叠体池向后的延续,位于小脑幕与小脑上面之间,以矢状断面显示较佳。


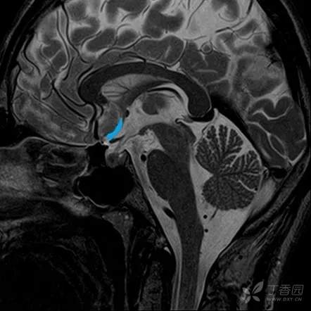
终板池
终板池 terminal lamina cistern 位于终板前方、胼胝体嘴下方,两侧为大脑半球的旁嗅区和胼胝体下回。
终板

横断层较易显示终板池,常与四叠体池或大脑大静脉池同层。
终板池

在终板上部层面,终板池位于前连合前方、胼胝体膝后方。在终板下部层面,终板池居终板前方、两侧胼胝体下区之间。
在CT 图像上,因终板较薄不显影,常看到终板池与第三脑室下部相通的假象。
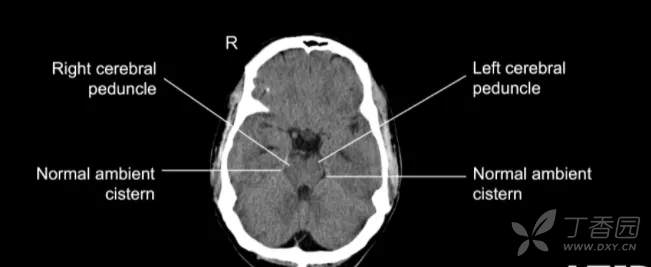
环池
环池 ambience cistern 分本部和翼部。


环池本部围绕中脑大脑脚两侧,连接于四叠体池和脚间池之间。
翼部向外伸向丘枕后下方,又名丘脑后池。
环池内有大脑后动脉、小脑上动脉、脉络丛前动脉和后动脉、基底静脉和滑车神经。
由四叠体池、环池和脚间池可勾画出中脑的轮廓。

鞍上池
位置与组成
鞍上池 suprasellar cistern 为CT 和MRI 等影像学用语。鞍上池位于蝶鞍上方,是交叉池、脚间池或桥池在轴位扫描时的共同显影。


1. 交叉池 chiasmatic cistern 位于视交叉周围,外界是颈内动脉,前方有大脑前动脉和前交通动脉。

2. 脚间池 interpeduncular cistern 位于视交叉后方、脚间窝前方,内有动眼神经、大脑后动脉水平段等。


3. 桥池 pontine cistern 位于斜坡与脑桥基底部之间,内有基底动脉,向两侧与脑桥小脑角池延续。



类型
因扫描层面的不同和年龄与个体差异的影响,鞍上池可分为六角形、五角形和四角形等不同形态,分别阐述如下。
- 六角形鞍上池
- 如CT 扫描层面偏高或头偏前倾,则出现六角形鞍上池。六角形鞍上池由交叉池和脚间池组成,包括一个前角、一对前外侧角、一对后外侧角和一个后角。前角伸向两大脑额叶之间,并延续为大脑纵裂池;前外侧角伸向额、颞叶之间,延续为大脑外侧窝池;后外侧角伸向大脑与中脑之间,延续为环池;后角则为脚间池。在前角和前外侧角之间的鞍上池前方为额叶的直回;在前、后外侧角之间的鞍上池侧方为颇叶的钩;在后外侧角和后角之间的鞍上池后方为中脑大脑脚底。六角形鞍上池内主要有视交叉或视束、颈内动脉、漏斗或垂体柄、乳头体、动眼神经和大脑后动脉水平段。

- 五角形鞍上池
- CT 扫描时,头若呈后伸位,则出现五角形鞍上池。五角形鞍上池由交叉池和桥池组成,后方为脑桥基底部,其他毗邻关系同六角形鞍上池。池内主要有视交叉、颈内动脉、垂体柄、鞍背和基底动脉末端等。

- 四角形鞍上池
- 如扫描层面较高,因缺少后外侧角(大脑脚池不显影),则出现四角形鞍上池。池内主要有视交叉和视束、漏斗和乳头体。四角形鞍上池的毗邻:前是额叶直回,后为脚间窝,两侧为钩。

脑桥小脑角池
脑桥小脑角池 cistern of pontocerebellar angle 又名桥池侧突,为桥池向外侧的延续。其前外侧界为颞骨岩部的后内侧壁,后界为小脑中脚和小脑半球,内侧界为脑桥基底部或延髓上外侧部。第四脑室外侧孔开口于此池,面神经和前庭蜗神经经此池入内耳道,小脑下前动脉和迷路动脉也越经此池。


听神经瘤可使脑桥小脑角池内出现肿块影并伴有内耳门、内耳道扩大或形态改变等。

小脑延髓池
小脑延髓池 cerebellomerlullary cistern 又名枕大池,位于小脑半球后下方、延髓背面和枕鳞下部前方。池内有小脑下后动脉经过。

在CT 图像上,小脑延髓池为位于小脑扁桃体与枕内隆凸之间的三角形低密度影,其两侧为小脑半球的后下部。该池常被自枕内嵴散射出来的伪影所掩盖。

小脑溪
小脑溪 cerebellar valley 又名小脑谷,位于小脑蚓部下方,两侧小脑扁桃体之间。小脑溪为一细长的间隙,它后通小脑延髓池,前通第四脑室。

延池
延池 medulla oblongata cistern 位于延髓腹侧与斜坡之间。左、右椎动脉在池内相互接近合成基底动脉。小脑下后动脉在池内起自椎动脉,舌下神经经延池进入舌下神经管,舌咽、迷走及副神经经此池向外侧至颈静脉孔。


所有分享仅供学习参考,如有错误欢迎指正。
主要参考书籍:断层解剖学第二版刘树伟主编
猜你喜欢
骨科书籍免费取,坎贝尔、AO、日本骨科新标准图谱、WieSel骨科手术学等
The Unofficial Guide to Radiology
既往好帖
















































