dxy logo
首页丁香园病例库全部版块
搜索
登录

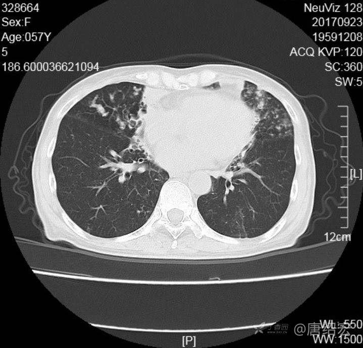
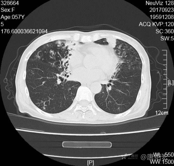
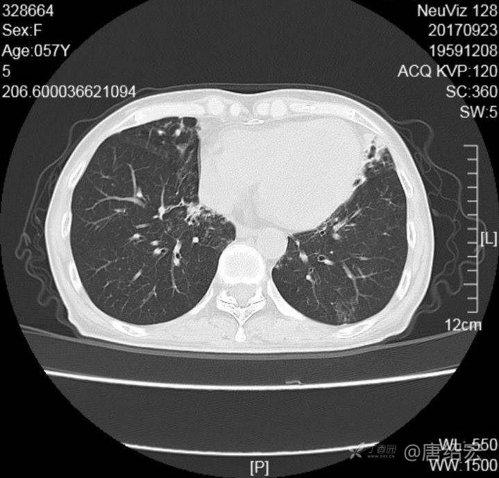
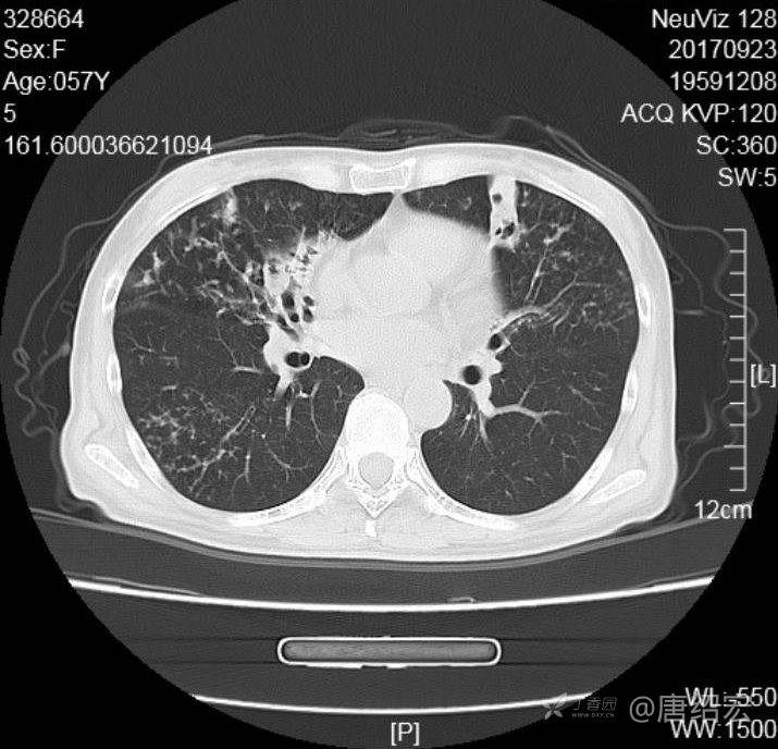
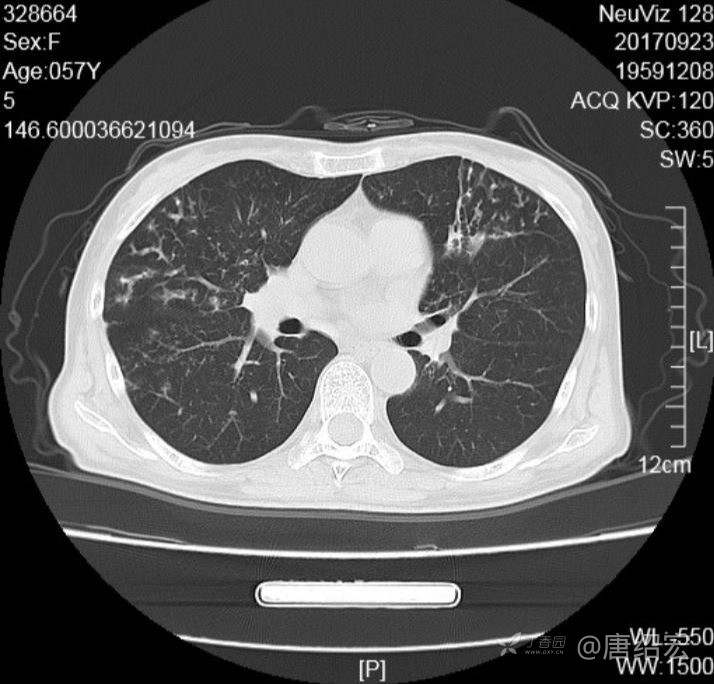
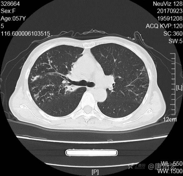
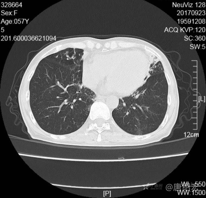
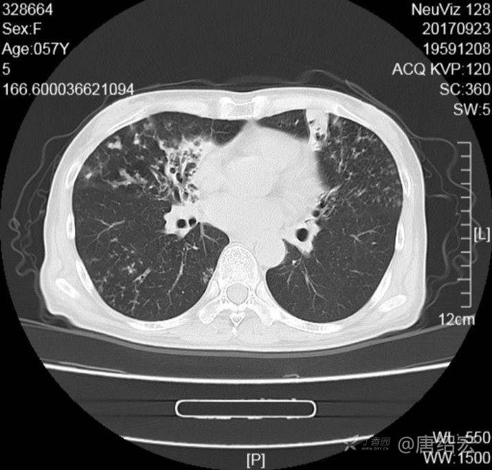
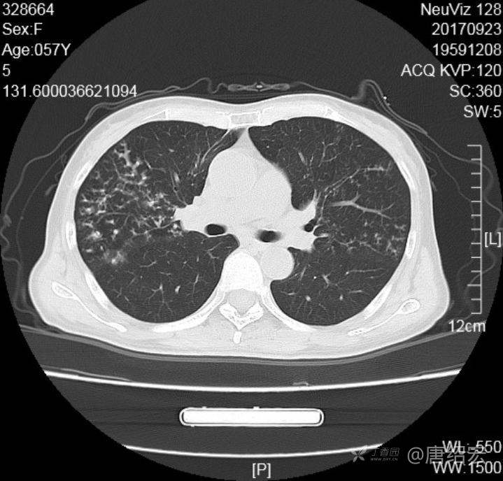
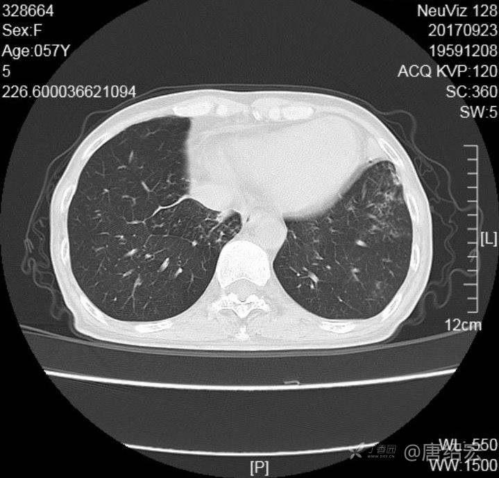
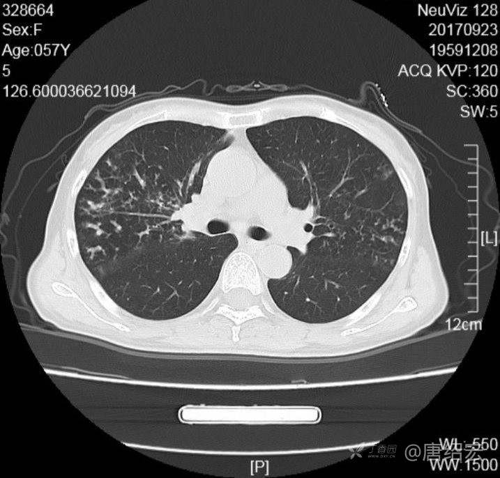
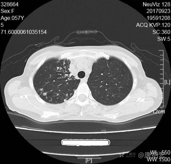
中年女性满肺树芽征还有支气管扩张,考虑什么疾病?

用户头像
感染科医师 · 发布于 2021-07-04 · 来自 Android · IP 吉林吉林
5264 浏览
推荐、达人点赞 等 3 项荣誉
这个帖子发布于 4 年零 152 天前,其中的信息可能已发生改变或有所发展。

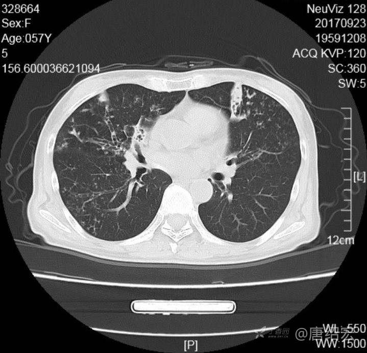
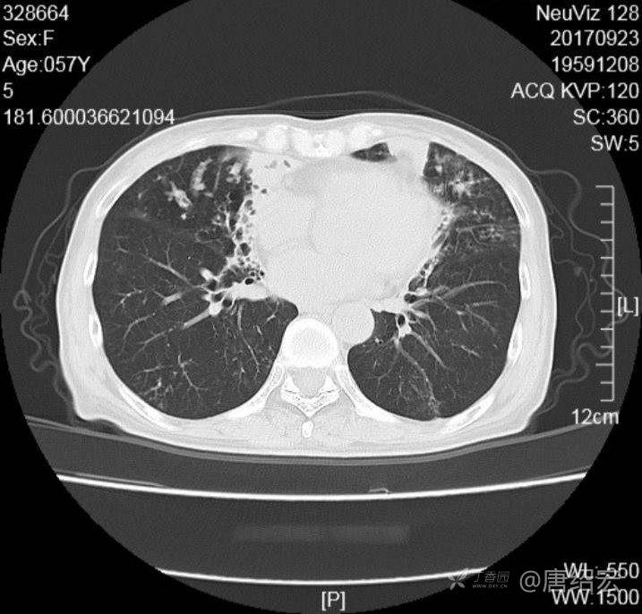
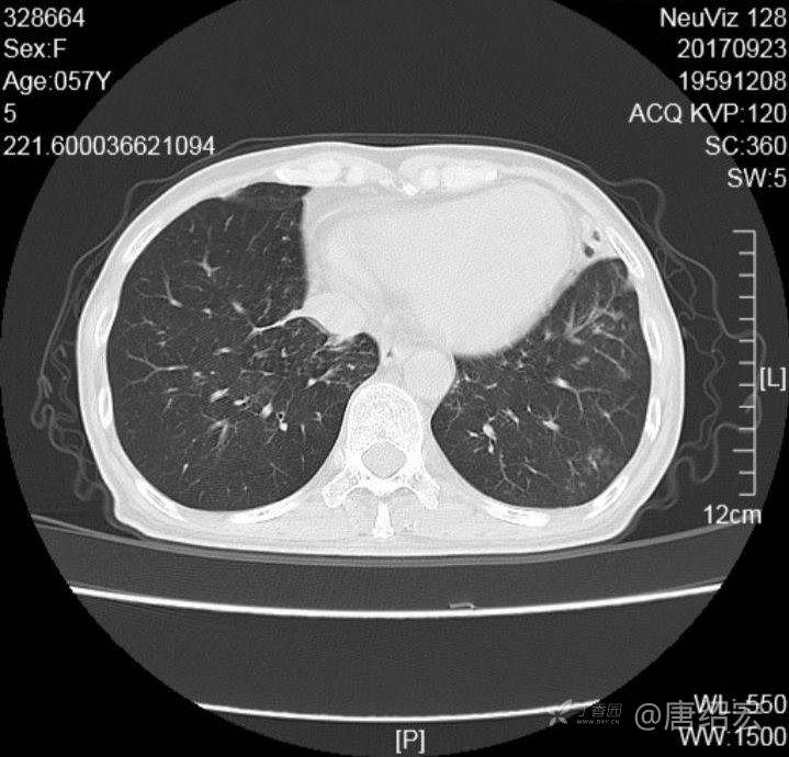
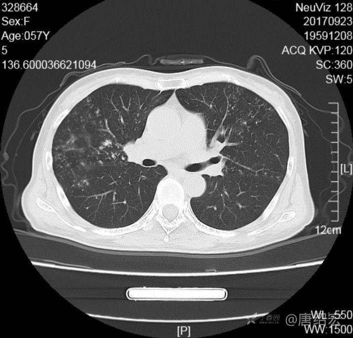
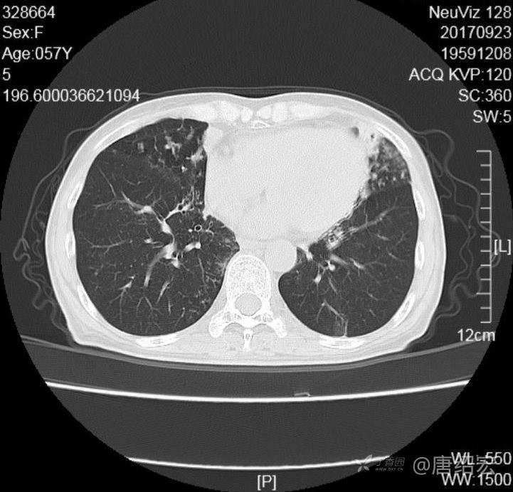
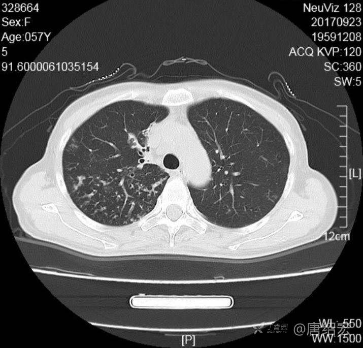
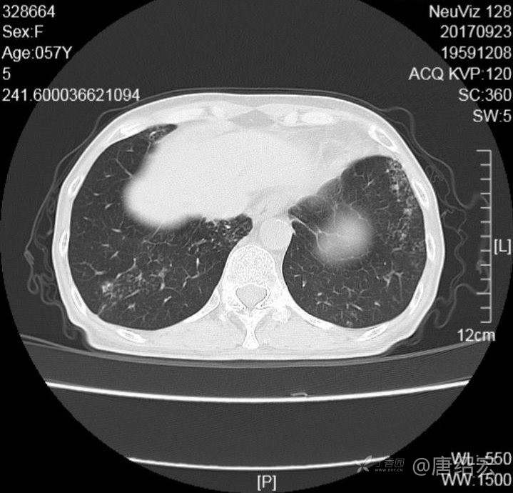
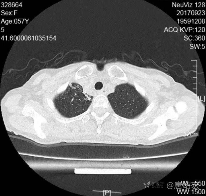
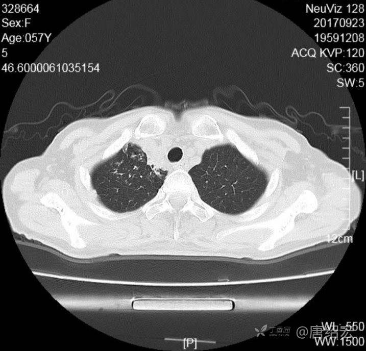
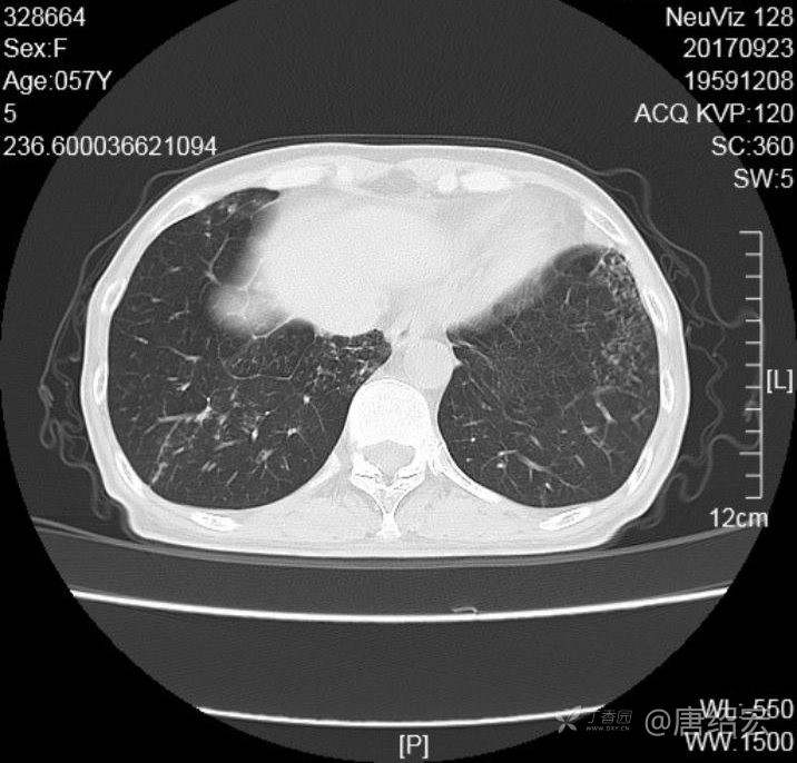
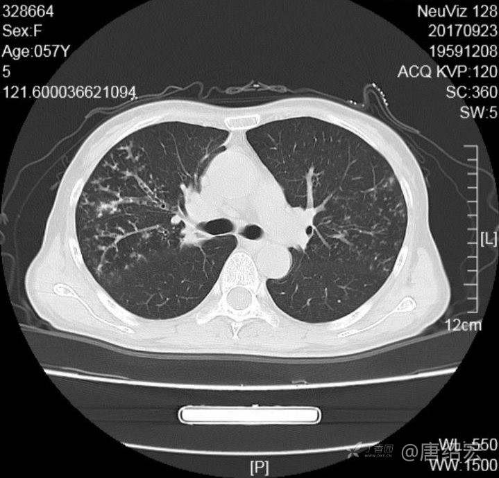
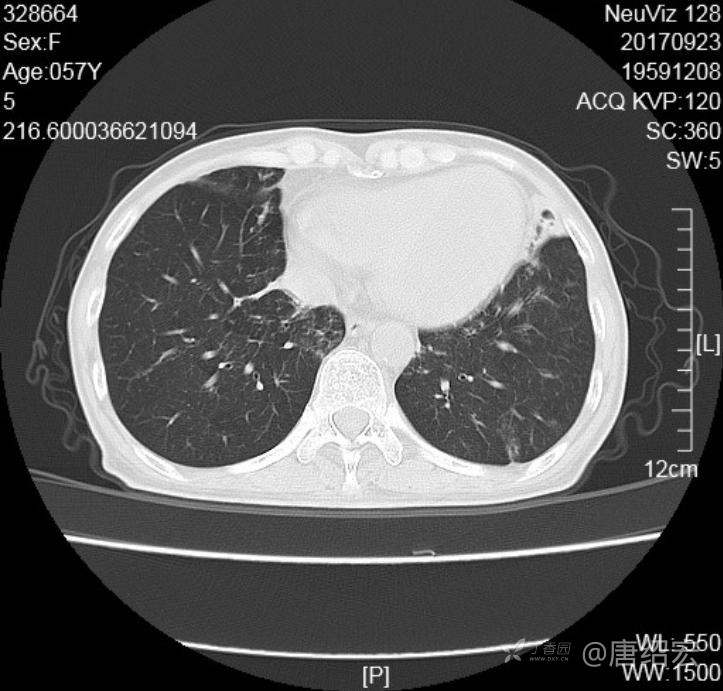
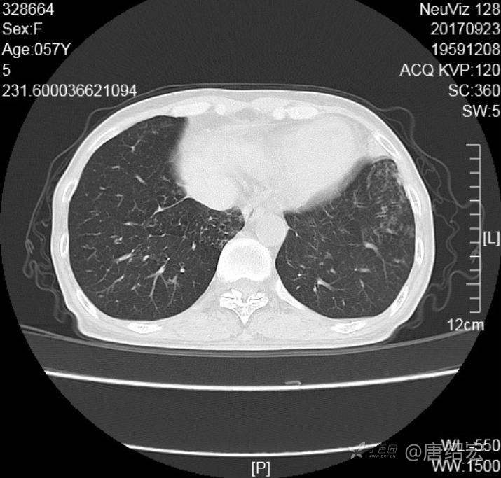
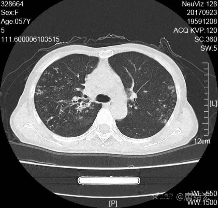
女,57岁,

主诉:发热、咳嗽、咯黄痰,胸闷3天入院。


img


img


img


img


img


img


img


img


img


img


img


img


img


img


img


img


img


img


img


img


img


img


img


img


img


img


img


img


img


img


img


img


img


img


img


img


img


img


img


img


img


img


img


img


img


img


img


img


img


img


img
铜绿假单胞菌性肺炎 (12)
铜绿假单胞菌感染 (20)
纠错
25 41 16
同行评议(0)
已评议
不开通精选
开通精选
精选已授权,待上线
评议结果暂未公布
参与评议
去邀请
参与病例讨论,解锁评议权益
您的专业意见将作为丁香园病例库收录的重要依据
NaN
病例完整NaN
临床实用NaN
诊疗科学NaN
学术价值NaN

全部讨论(0)

默认最新
avatar
25
分享帖子
share-weibo分享到微博
share-weibo分享到微信
认证
返回顶部