【血管】典型的病史、症状+典型的图像表现,轻松搞定“它”
推荐患者女,67Y,左上臂肱动脉介入操作后,出现上臂明显肿胀,与对侧对比改变明显
超声检查(本人检查、采集):
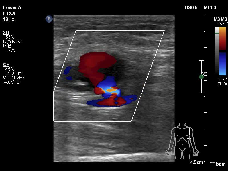
左侧腋动脉及近心段肱动脉无异常,于远心端近肘窝上方处可见肱动脉管壁连续性中断,断口约0.27cm,其旁一液性无回声区,CDFI检查可见红蓝交替彩色信号显示,断口处彩色信号斑斓,PW采集可见双向高速血流频谱,蓝色为肱动脉血流进入液性区,呈搏动性,PSV达2m/s ↓

与之伴随改变的是:肱二头肌明显肿胀,内部回声不均,肌间隔水肿,肌层表面与深筋膜分离 ↓


相比静态图,动态图来的更加直观,供站友加深印象 ↓


超声引导下对断口处对应体表点进行定位,尝试先行压迫观察疗效,明显感觉该处搏动明显。
欢迎感兴趣的站友来发言、讨论,谢谢。















































