肝脏的表面解剖及分叶分段

- 肝呈不规则的楔形,可分为上、下两面,前、后、左、右4缘。
- 肝上面膨隆,与膈相接触,故又称膈面。
- 肝膈面上有矢状位的镰状韧带附着,借此将肝分为左、右两叶。

肝左叶小而薄,肝右叶大而厚。

膈面后部没有腹膜被覆的部分称裸区,裸区的左侧部分有一较宽的沟,称为腔静脉沟,内有下腔静脉通过。

肝下面凹凸不平,邻接一些腹腔器官,又称脏面。
脏面中部有略呈“H”形的3条沟。

其中横行的沟位于脏面正中,有肝左、右管,肝固有动脉左、右支,肝门静脉左、右支和肝的神经、淋巴管等由此出入,故称肝门。

左侧的纵沟较窄而深,沟的前部内有肝圆韧带通过,称肝圆韧带裂。
右侧的纵沟比左侧的宽而浅,沟的前部为一浅窝,容纳胆囊,故称胆囊窝 。


在腔静脉沟的上端处,有肝左、中、右静脉出肝后立即注入下腔静脉,故临床上常称此沟上端为第2肝门。

第一肝门包括:肝脏的横沟和肝蒂。肝固有动脉、门静脉、肝管、神经和淋巴组织共同包于肝十二指肠韧带的右侧,构成肝蒂。
第二肝门:位于肝脏的膈面顶部,是肝左、中、右静脉汇入下腔静脉处。


在肝的脏面,借“H”形的沟、裂和窝将肝分为4个叶:
左叶位于左纵沟的左侧;
右叶位于右纵沟的右侧;

方叶位于肝门之前,肝圆韧带裂与胆囊窝之间。
尾状叶位于肝门之后。
肝脏门脉系组成

门静脉系的组成:
共有7条属支:肠系膜上、下静脉、脾静脉、胃左静脉、胃右静脉、胆囊静脉、附脐静脉。
门静脉主要由肠系膜上静脉和脾静脉汇合而成。

门静脉经肝门入肝后分为两支,分别进入肝左叶和肝右叶。
肝门静脉在肝内反复分支,最终注入肝血窦。
肝血窦含有来自肝门静脉和肝固有动脉的血液,经肝静脉注入下腔静脉。


肝的分叶、分段
根据肝外形的沟裂将肝分为左、右、方、尾4叶的形态学解剖方法,因不符合肝内管道系统的分布规律,不能适应肝切除和影像学描述的要求。
肝脏的分叶和分段在临床上对于描述病变位置,确定治疗方案、特别是肝的切除范围,以及肝肿瘤的选择介入治疗等方面都有重要意义。

肝的功能解剖则是按照肝内Glisson系统和肝静脉的分布规律,并结合某些外形标志来分段分叶的。
Glisson系统即肝门静脉、肝动脉、胆管在肝内的分、属支被结缔组织纤维鞘包绕而形成的三联管道系统,似树枝状分布于肝内。
肝段就是以Glisson 系统为中心,包括其所属血供和胆汁引流的肝组织所构成的一独立的“功能”单位。
分段具体方法




3支主肝静脉将肝分隔成4个部分。

左、中、右3支主肝静脉走行区所形成的纵形切面(称为肝静脉裂)将肝分隔成4个部分,称为四个扇区。
每个扇区又被门静脉左、右支的水平切面分成上下2段。

4个扇区不包括尾状叶。
尾状叶编为Ⅰ段,它是一个自主段,因它不依赖于4个肝门静脉蒂和3支主肝静脉。
尾状叶同时接受来自左右肝门静脉和肝动脉的分支供血,其静脉血经肝小静脉直接回流入下腔静脉。

肝脏被正中裂分左、右半肝,左、右半肝又分为四部。
左半肝分内、外两叶,右半肝分前、后两叶
门静脉左、右支充当横裂,将四部又分为八段。

前面观

下面观




记忆:
第一肝门以上顺时针:7 8 4 2
第一肝门以下顺时针:6 5 4 3
整个的分段,顺时针走向 2、3、4、5、6、7、8
肝裂
肝裂:
肝叶、肝段彼此之间的界限为肝裂
肝裂在肝内管道的铸型标本上,显示缺乏Glisson 系统分布的位置,活体之间无裂隙。肝裂有肝静脉的主干走行于其中,临床上切除肝叶或肝段,即沿肝裂进行。

1、正中裂:下腔静脉 左前缘与其右前方的肝中静脉长轴的连线。
将肝分为左、右半肝。裂中有肝中静脉走行。

2、左叶间裂:又称脐裂,镰状韧带左侧1cm处至下腔静脉左侧的连线,于人体正中线前方偏右约15°;把左半肝为左内叶与左外叶;裂中有肝左静脉走行。


3、左段间裂:又称左门裂,相当于肝左静脉的长轴,将左外叶为外上段与外下段。


4、右叶间裂:在肝门以上的断层中相当于下腔静脉右缘与肝右静脉长轴的连线。在肝门以下为肝门横沟后缘或肝门静脉右支,与肝右静脉或右前、后支之间的连线;将右半肝为前方的右前叶和后方的右后叶。肝裂有肝右静脉走行。

5、右段间裂:又称横裂,肝门静脉右支或肝门右切迹作为右段间裂的标志,即平面以上为右半肝的后上段和前上段;以下为后下段和前下段。


6、左内叶亚段间裂:在Glisson系统的铸型标本中并无真正的左内叶亚段间裂,只是外科常以肝门静脉左支矢状部作为部分左内叶切除的边界,因而虚设此亚段间裂。分为上方的左内叶a段和下方的左内叶b段。

肝脏八段分法的影像学解剖示意图
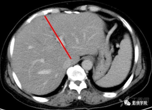
第二肝门下方层面CT横断面

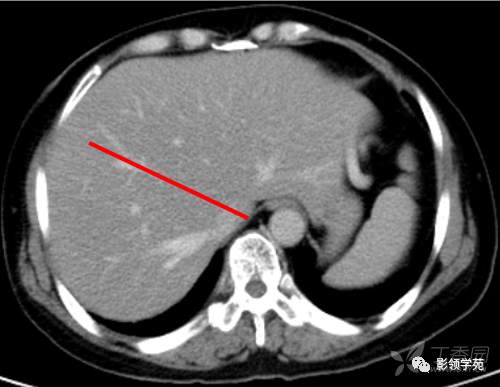
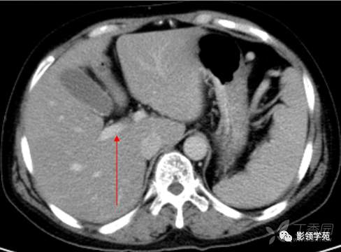
第一肝门层面CT横断面解剖

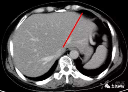
胆囊窝层面CT横断面解剖

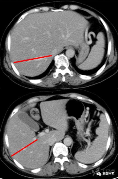
小结:
CT:首先找出肝脏的三大静脉:肝中静脉,肝左静脉,肝右静脉,找出门静脉及其分叉部位。门静脉分叉部位可以区分上段和下段,即肝S8/S5,S7/S6,门静脉分叉以上为S8、S7;肝右静脉和肝中静脉之间是右前叶,肝右静脉以后是右后叶


一般规律,从CT上看,最先看到的是S8然后是S2、3,肝左外叶以肝裂为界,左内叶为肝裂和肝中静脉之间的区域,胆囊往下的层次是S5,最后的层面一般是S6,下腔静脉和门静脉夹着的是尾状叶,即S1。
来源:影领学苑
















































