意识障碍原因待查:中枢神经系统感染、脑脓肿or脑肿瘤?
主诉:意识不清、气喘发热8天
现病史:8天前无明显诱因突然出现意识不清、呼之不应、发热,体温最高达38.7℃,伴气喘,无肢体抽搐、牙关紧闭、口吐白沫、大便失禁,无头痛、眩晕、恶心、呕吐,无黑矇,无精神行为异常。自行口服退热药及抗生素治疗,症状无明显改善。为进一步诊治,来我院急诊,急诊行头+胸+腹CT:1.左侧顶叶及右侧小脑半球多发类圆形低密度影,感染性病变?肿瘤性病变?建议行头颅MRI进一步检查;2.多发腔梗,脑白质脱髓鞘,脑萎缩;3.左肺上叶尖后段及双肺下叶炎症,心影大,冠脉钙化并支架;4.胃肠积气。急诊以“意识障碍原因待查:中枢神经系统感染?肺部感染?”收住我科。自发病来,精神差,昏睡状,留置胃管及导尿状态。
既往史:高血压病20余年,最高血压200/100mmHg,未规律检测血压及降压治疗。糖尿病12年,口服阿卡波糖,血糖控制尚可。脑出血开颅术后19年,遗留右侧肢体活动不灵。脑梗死8年,遗留右侧肢体肌力减退及失语。2年后再次出现脑梗死,遗留饮水呛咳,长期在家口服阿司匹林及阿托伐他汀钙二级预防。3月前因急性心梗在心内科行冠脉支架植入术(植入5枚支架),出院后口服倍他乐克、阿司匹林、氯吡格雷、阿托伐他汀钙治疗。否认精神疾病,否认手术、外伤、输血史,否认药物食物过敏史,预防接种史不详。
个人史:无吸烟、酗酒史及不良嗜好。
查体:双肺呼吸音粗,可闻及干湿性啰音,心脏向右扩大,腹部查体未见明显异常,双下肢肌肉萎缩。
神经科查体:意识觉醒度正常,无意识内容,睁眼状,查体无法配合,不能与外界交流,疼痛刺激下有反应,双侧额纹对称,双侧眼裂变小,双侧瞳孔等大等圆,直径约2mm,对光反应迟钝,双眼向右凝视,口角右歪,伸舌查体不合作,右上肢肌力0级,右下肢及左侧肢体疼痛刺激下可见自发活动,肢体感觉查体不合作,四肢腱反射(+),双侧病理征阳性,颈抵抗,双侧布氏征及克氏征(-),共济运动查体无法合作。
辅助检查:
①实验室检查:
















入院后行腰穿,腰穿压力180mmH2O
②影像学检查:
DWI












分析:结合病史,查体,辅助检查,目前考虑诊断:定位:左侧大脑半球 定性:感染性?肿瘤?
综合诊断:1.意识障碍原因待查:脑脓肿?中枢神经系统感染?脑肿瘤?2.高血压病3级(很高危)3.2型糖尿病 4.冠心病 PCI术后5.脑出血开颅术后 6.先天性心脏病 房间隔缺损 心力衰竭 7.肺炎 8.低蛋白血症
诊疗计划:入院后完善相关检查,现给予抗感染、双抗、调脂稳斑、改善心功能、化痰平喘、抑酸护胃、营养等对症支持治疗。请神经外科会诊(磁共振结果未回)后诊断考虑意识障碍原因待查:脑脓肿?中枢神经系统感染?颅内肿瘤?目前无手术指征,继续抗感染等对症治疗。
目前 T 37.2℃。
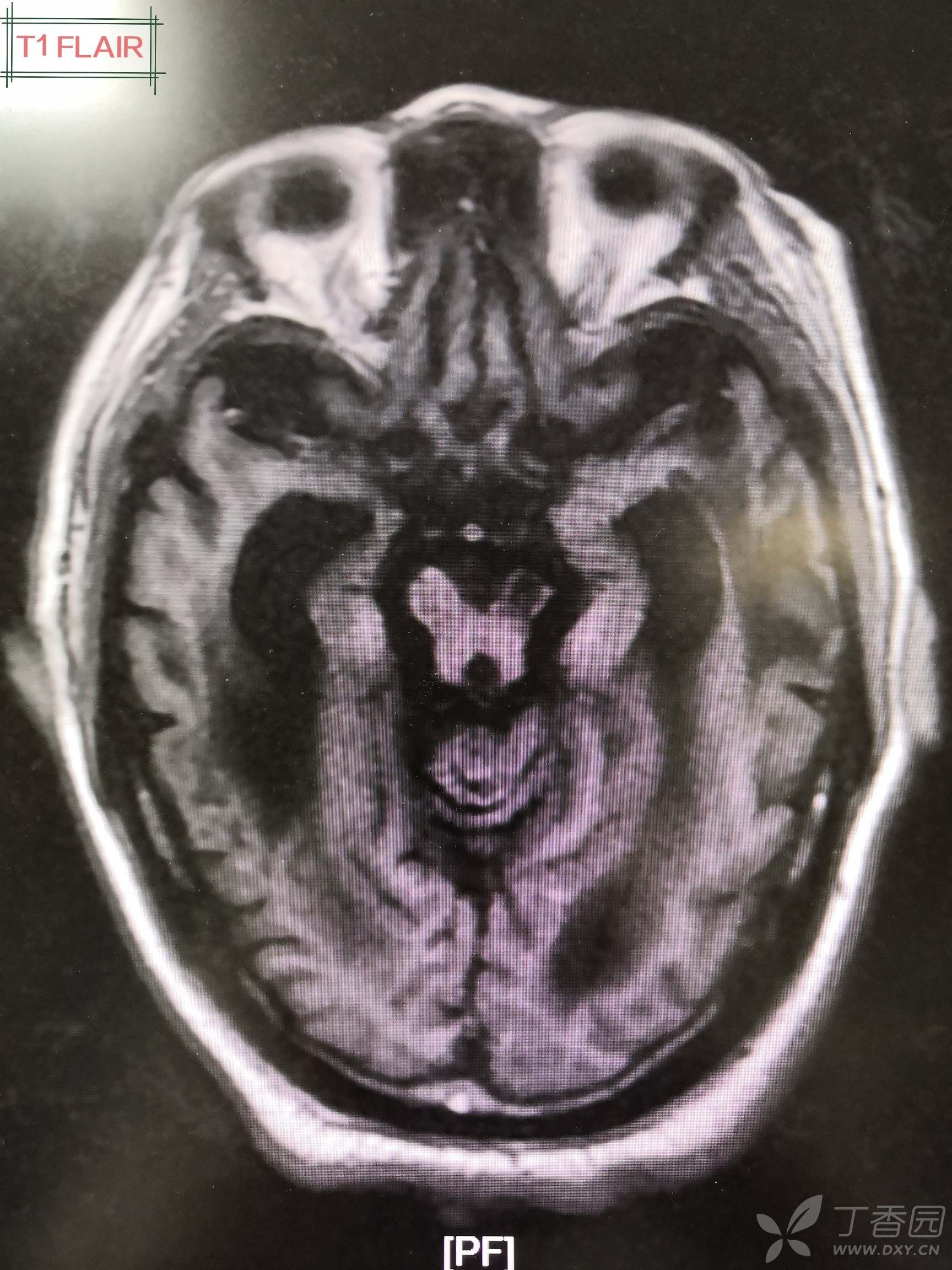
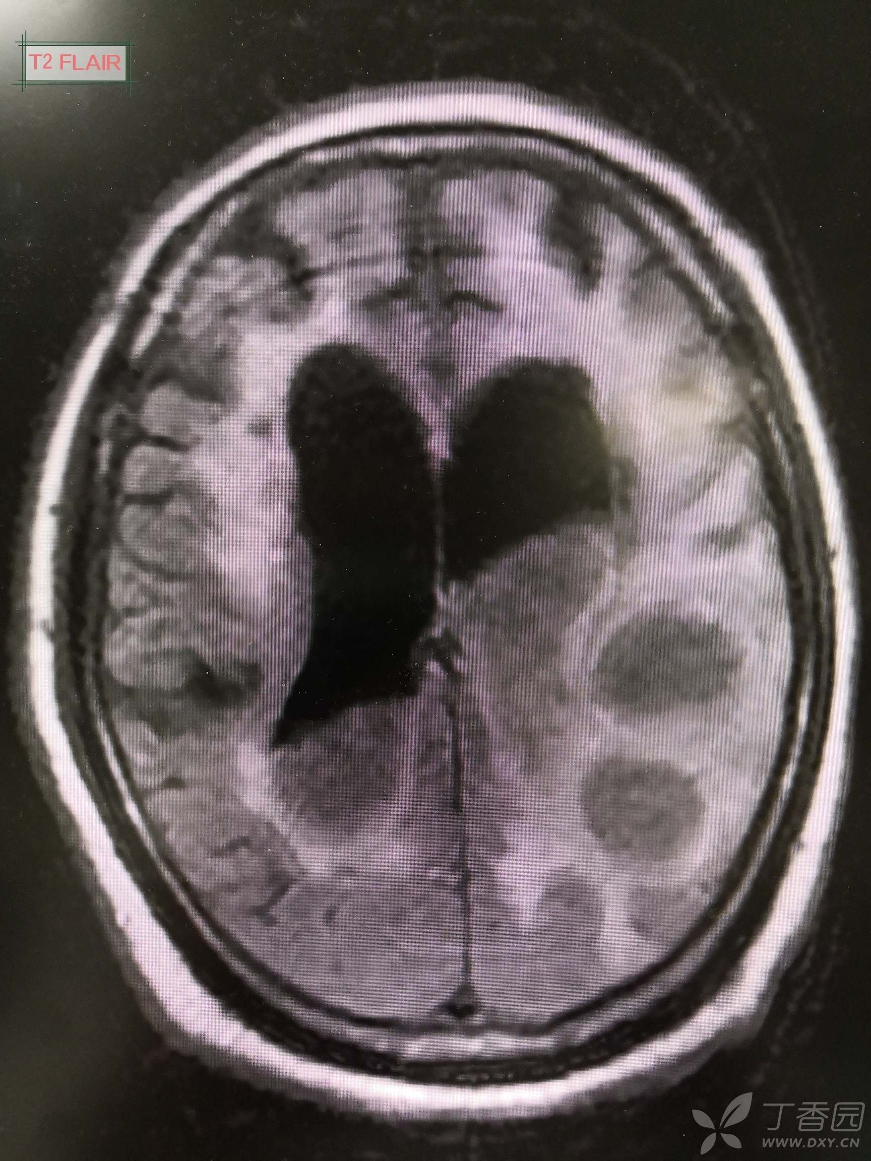
会诊意见:头颅磁共振结果回报后再次请神经外科及影像科会诊:左顶叶多发类圆形病灶DWI呈高信号,长T1长T2信号,FLAIR呈等信号,MRI增强扫描环形强化。左侧顶叶类圆形占位性病变符合脑脓肿影像学表现,考虑脑脓肿,建议抗感染基础上外科干预,侧脑室穿刺引流+冲洗,但基础疾病多,预后差。
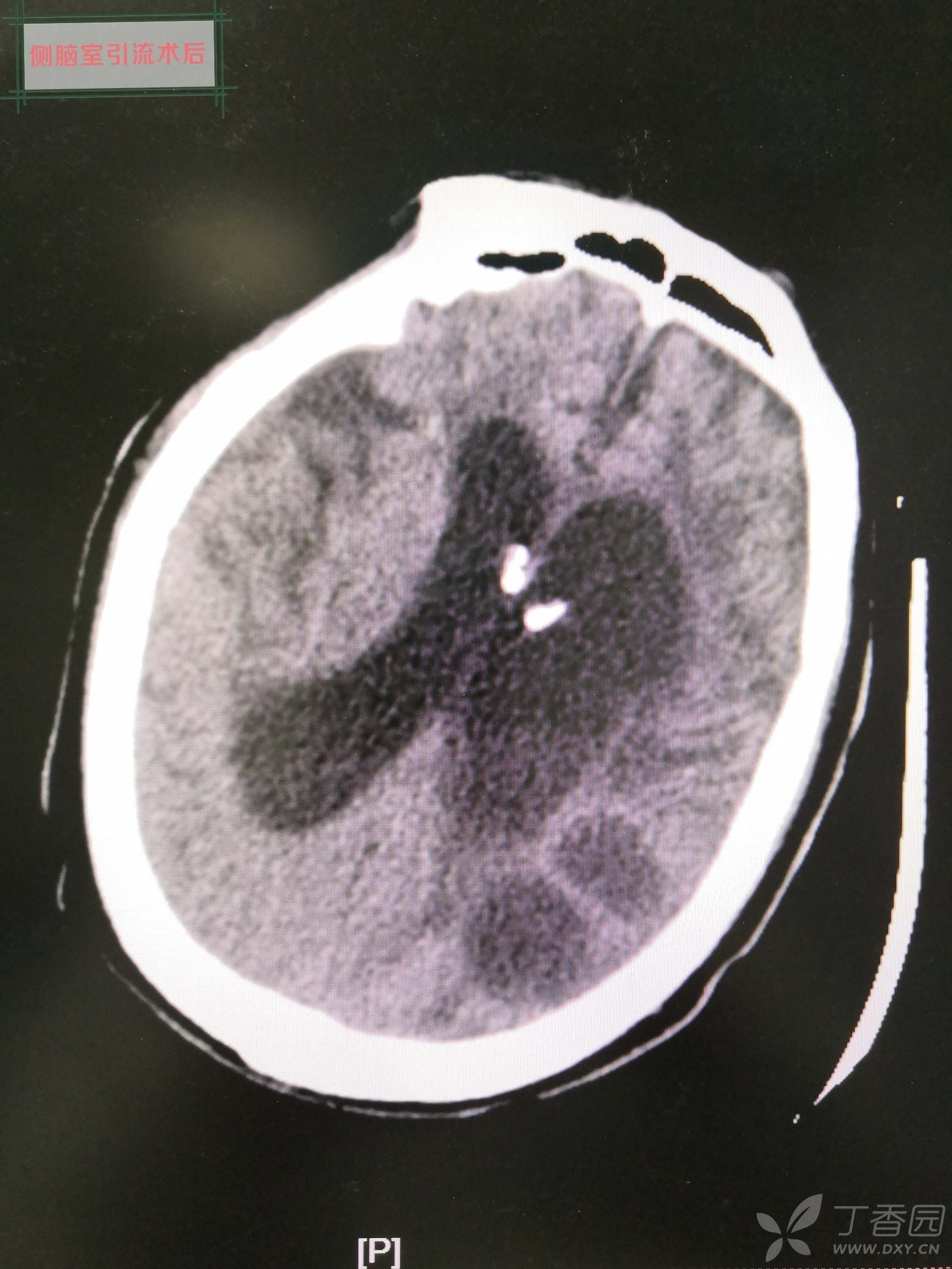
侧脑室引流术后复查CT:



















































