谜一样肿块,你判断对了吗?有图有真相。
患者性别:男
患者年龄:55
简要病史:咳嗽、咳痰,体重减轻5Kg+。
体格检查:胆囊切除史,左手指骨折史。
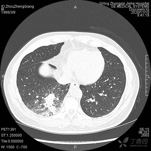
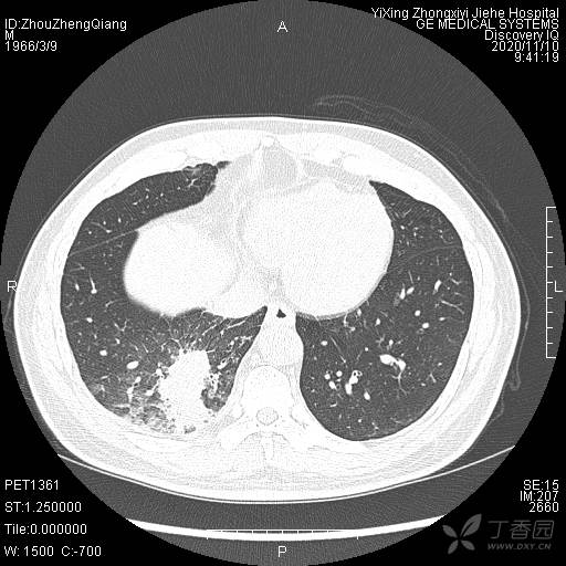
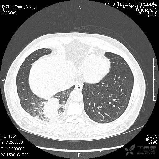
辅助检查:CT提示:右下肺占位伴周围炎症,CA待排,右侧少许胸腔积液。
临床诊断:右肺癌?待进一步检查。
治疗经过:暂略。








患者性别:男
患者年龄:55
简要病史:咳嗽、咳痰,体重减轻5Kg+。
体格检查:胆囊切除史,左手指骨折史。
辅助检查:CT提示:右下肺占位伴周围炎症,CA待排,右侧少许胸腔积液。
临床诊断:右肺癌?待进一步检查。
治疗经过:暂略。








