dxy logo
首页丁香园病例库全部版块
搜索
登录

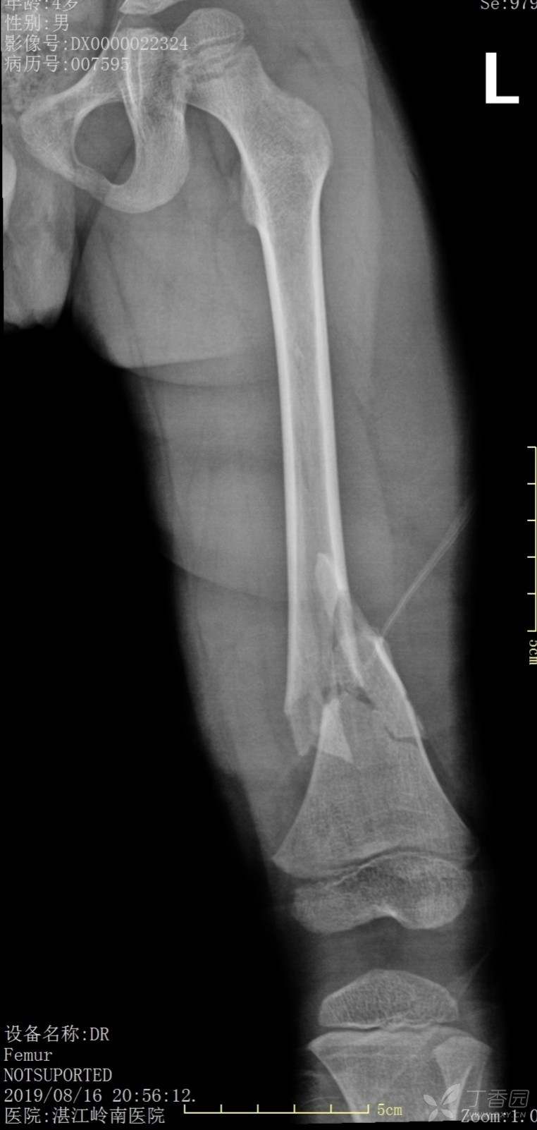
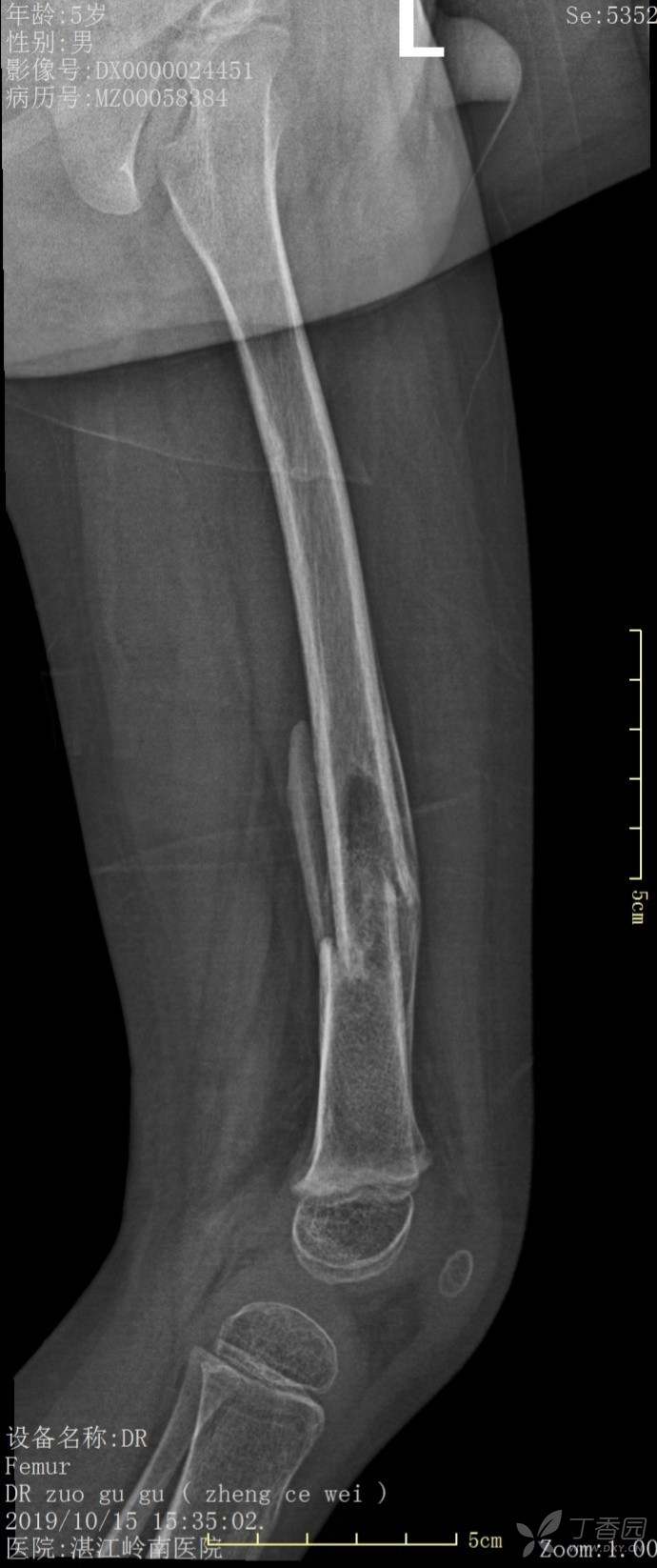
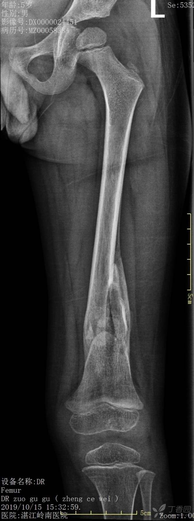
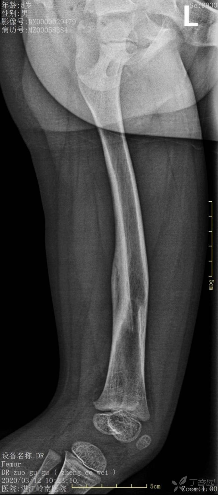
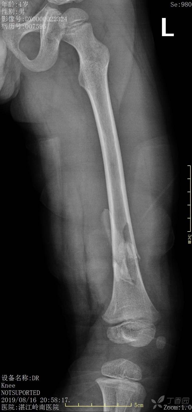
4岁患儿股骨骨折保守治疗一例

重症医学科医师 · 发布于 2020-03-12 · 来自 Android · IP 广东广东
1303 浏览
这个帖子发布于 5 年零 256 天前,其中的信息可能已发生改变或有所发展。

外伤时,保守1个月、2个月、6个月

img


img


img


img


img


img


img


img


img


img


img


previewplay video



8 2 2

全部讨论(0)

默认最新
avatar
8
分享帖子
share-weibo分享到微博
share-weibo分享到微信
认证
返回顶部