血管瘤栓塞治疗后病灶消失
患者性别:患儿罗钰,女
患者年龄:4岁1月
简要病史:患儿母亲代诉:患儿出生后发现左侧胸壁一红色肿物,突出皮肤表面,肿物周围有一圈白晕,局部皮温稍偏高,无搏动感,无破溃出血等不适,未予以特殊治疗。随着患儿的生长发育,肿物伴随增大,于2020年9月中旬遂至广州妇女儿童医疗中心就诊,诊断为“血管瘤”,建议行介入治疗。今家长为求介入治疗遂至我院就诊,门诊拟诊为“左胸壁血管瘤”收入我科住院治疗。
体格检查:神志清楚,左侧胸壁可见一大小约3.5*3.0肿物,淡红色,凸出皮肤表面,肿物周围有一圈白晕,局部皮温稍偏高,未触及波动感及搏动感,表面无溃烂,无出血。
辅助检查:缺
临床诊断:左胸壁血管瘤
治疗经过:完善术前检查后,无绝对手术禁忌症。患儿于2020年10月12在DSA室在全麻下行左侧胸壁血管瘤经导管行动脉造影+栓塞术。
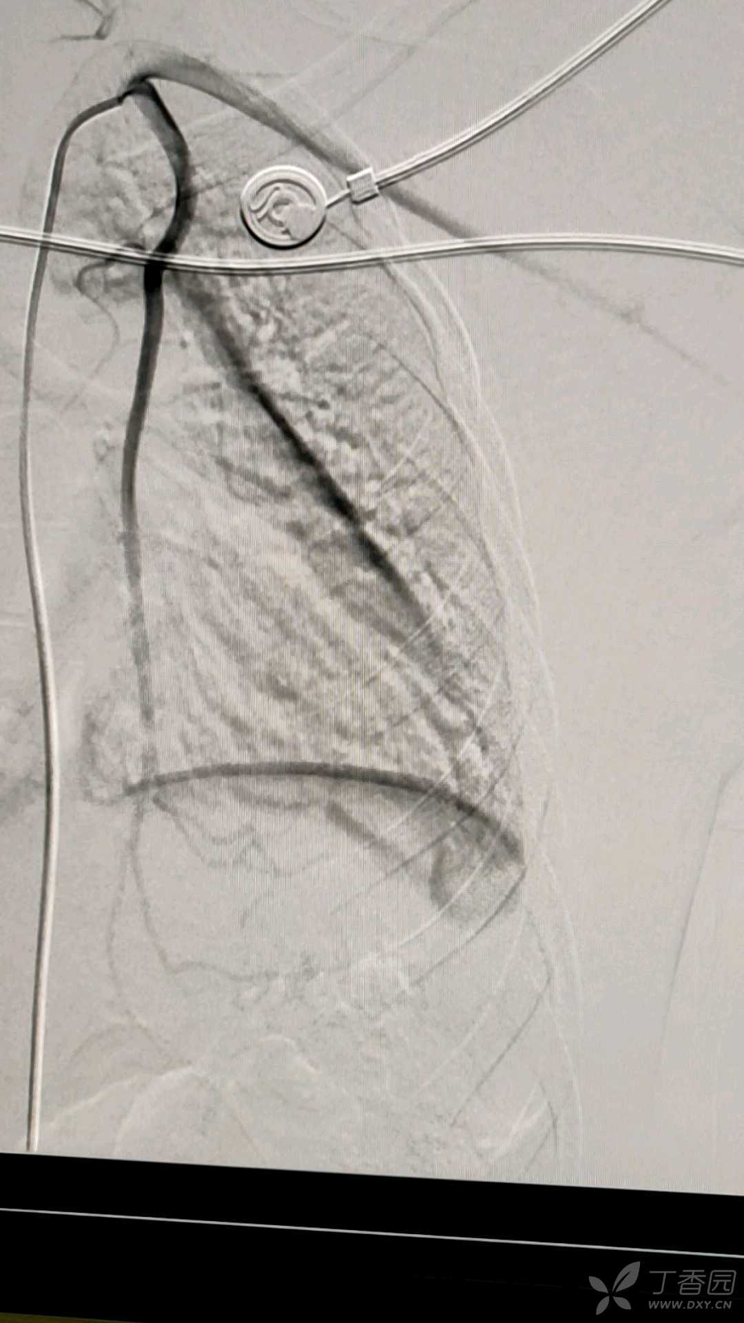
术中造影见下图



术中造影示,病灶主要由左侧胸廓内动脉分支供血,动脉期供血增粗,迂曲,实质期病灶明显染色。
术中使用平阳霉素4mg+1.5ml碘化油混合乳化液,PVA300栓塞治疗。再次造影显示病灶消失。如下图。

术后第一天

术后服用普萘洛尔治疗。















































