勇哥•肺炎研习社|诊断篇:护士发热肺炎,抽吸剥茧找病因
李梦杰huxi 达人已点赞大年初二夜间发热门诊来了位“特殊病人”—输液室25岁的小护士,因发热1天就诊。
体温最高39.2度,伴轻微鼻塞咽痛,咳嗽不明显,无胸闷气急,余无不适。
近期无旅行史,否认疫区人员接触史。在儿科急诊输液工作,戴普通外科口罩防护。既往体健。
查体:体温39.2度,咽充血,扁桃体无肿大,心肺听诊阴性。
血常规:WBC、N%、淋巴细胞绝对值正常,CRP 23mg/L。
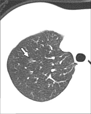
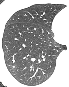
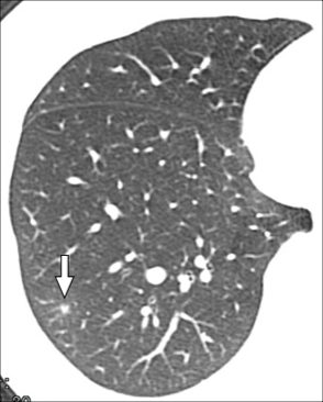
CT主要表现为三处非常细小的渗出(图1-3箭头所示):

图1

图2

图3
发热伴肺渗出,可临床诊断(clinical diagnosis)为社区获得性肺炎,但因患者为医务人员,严格意义应算作院内获得性肺炎(HAP),当然这也有一定争议。
新冠疫情期间,患者职业接触有很多不明原因的发热患者,会不会是新冠肺炎?医生很紧张,患者更紧张。
于是咽拭子采样送核酸检测,但要第2天出报告。
因客观条件所限,暂无法留观,处方莫西沙星回家,嘱居家隔离,医学观察,不适就诊。
鉴别诊断
根据目前临床表现+实验室检查+影像学表现,可临床诊断为肺炎,经验性的覆盖最常见的病原体:肺炎链球菌及肺炎支原体等,予口服莫西沙星治疗。
但肺炎仅有临床诊断是不够的,还需要进一步的病原学诊断(etiology diagnosis),力求寻找到病原体,目标性治疗,以求获得更佳的疗效,同时减少抗生素耐药及药物不良风险。
但是肺炎病原学检测的阳性率往往让人失望,大部分情况下是找不到病原体的,2015年NEJM发表了美国的一个大样本的研究,发现62%的CAP未检测到病原体。
目前新冠疫情期间,患者是输液室护士,有职业性接触发热患者,接触人员比较复杂,是应该高度怀疑新冠肺炎,予核酸检测也是必须的。
但鉴别诊断也是必须的。建议患者明日门诊查肺炎支原体抗体以排除支原体肺炎,考虑到新冠核酸检测假阴性不少见,建议必要时重复多次检测。
随访
第2天新冠核酸检测(-),查肺炎支原体抗体(-)。一周后患者前来复诊,说早已热退,首诊后3天出疹子了,外院诊断为“水痘”。
发热、肺炎与水痘,能不能用“一元论”来解释呢?
文献复习
水痘(varicella,chickenpox)是一种由水痘-带状疱疹病毒(VZV)引起的急性传染病,主要发生在婴幼儿与学龄前儿童(此患者在儿科输液室工作),成人也有发病。以发热及皮肤粘膜的全身性红色斑丘疹、疱疹为特征,好发于冬春季节。
因水痘的临床表现比较有特征性,典型病例不难诊断。
那么水痘与肺炎能不能联系起来呢?水痘的并发症主要有:
1. VZV脑炎
2. 进行性播散性水痘
3. 水痘肺炎
水痘肺炎是水痘危及生命的并发症,属于病毒性肺炎,在成人及免疫抑制患者中更常见。成人水痘患者并发肺炎的比例约为1/400。孕中晚期水痘肺炎可致命。
水痘肺炎主要临床表现为呼吸急促、咳嗽、胸闷与发热等。
胸部影像学表现为结节状或间质性肺炎。两肺弥漫性结节,边缘清楚或模糊,结节周围可有GGO(磨玻璃影),也可表现为片状GGO,结节可有融合。

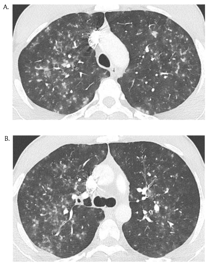
图4 21岁女性有水痘暴露史,表现为头痛、肌痛、关节炎、无力、咽痛与纳差,CT示两肺多发结节。(Shalaby T,et al. Br J Hosp Med (Lond). 2015)

图4 37岁既往体健男性因发热、干咳与胸部弥漫性皮疹2天就诊。

图5 同一病人,CT示两肺弥漫性GGO。(Miyokawa R, et al. J Gen Intern Med. 2019)

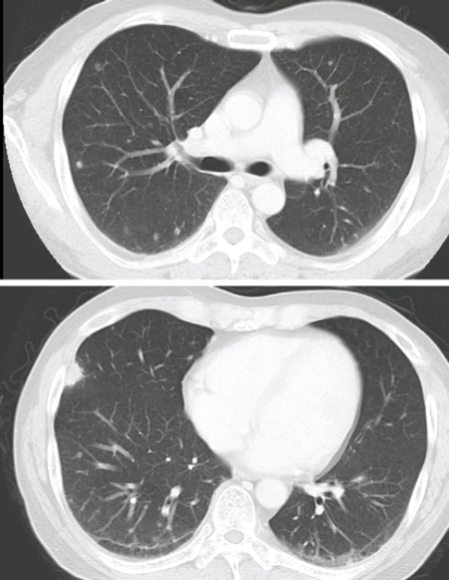
图6 25岁男性,因咯血急诊,3天前诊断水痘,被其3岁女儿传染,CT示两肺多发性边缘模糊的小叶中央型结节与伴外周GGO的微结节,以上叶为主。(Médart, L, et al. Varicella Pneumonia.)
以上文献的病例均是通过典型的皮损+特征性的影像学表现而作的临床诊断,那么有没有病原学诊断病例呢?
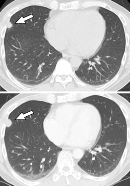
介绍一个有免疫抑制的水痘案例:43岁日本男性,有恶性淋巴瘤史,予C-MOPP方案化疗,因皮疹入院,无呼吸道症状,诊断为水痘,予无环鸟苷+免疫球蛋白治疗。肺部CT示两肺多发性结节(图7、8)。

图7 CT示两肺多发结节(Isobe T, et al. Intern Med. 2019)

图8 36天与5个月后复查CT,示右中叶结节直径增大(箭头所示)。
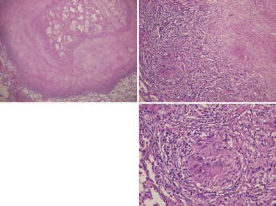
因右肺中叶结节进行性增大,为进一步明确诊断,予胸腔镜肺活检,病理示结节外层有紧密的胶原纤维,中央大量凝固性坏死(图9)。

图9 右肺中央结节的病理表现:最外层覆盖有上皮样细胞与多核巨细胞,中央肉芽肿形成
病理特染找真菌及结核菌均(-),组织标本结核菌培养及结核菌PCR均(-),组织标本的VZV-DNA PCR检测(+),最终诊断为水痘肺炎。
回到这个小护士病例,根据水痘表现,加上影像学表现为GGO、小结节周围GGO,应该比较符合的,可以临床诊断为水痘肺炎。但本病例仅发现3个小病灶,没有广泛累及,推测原因可能是先前可能接种过水痘疫苗,肺部累及较轻。
曾经有个回顾性研究,兵营中的水痘患者中16%有影像学异常,但其中只有1/4的患者有咳嗽症状,仅有10%的影像学异常患者出现呼吸困难,提示无症状性肺炎在水痘患者中可能比较常见。
本例患者是因筛查新冠CT检查而意外发现的轻微的水痘肺炎,病程中并无明显咳嗽、气急与呼吸困难。当然此例水痘肺炎是建立在临床诊断基础之上,有必要进一步跟踪随访。
小结
1. 肺炎临床诊断远远不够,应力求病原学诊断、精准治疗;
2. 新冠疫情期间,提高警惕、规范防护的同时千万不能忽略鉴别诊断;
3. 水痘肺炎主要表现为水痘合并发热、咳嗽、呼吸困难,典型的CT表现为两肺弥漫性的小结节伴GGO,以临床诊断为主。
参考文献
1. Jain S, Williams D J, Arnold S R, et al. Community-Acquired Pneumonia Requiring Hospitalization among U.S. Adults[J]. The New England Journal of Medicine, 2015, 373(5): 415-427.
2. Shalaby T, Mankragod R. Varicella pneumonia. Br J Hosp Med (Lond). 2015 Jun;76(6):365.
3. Miyokawa R, Aronowitz P B. Varicella Pneumonia in an Immunocompetent Adult[J]. Journal of General Internal Medicine, 2019, 34(11): 2682-2683.
4. Médart, L, et al. Varicella Pneumonia. Journal of the Belgian Society of Radiology. 2018; 102(1): 52, 1–2.
5. Isobe T, Umemoto J, Kobayashi M, et al. Varicella-zoster Virus Related Pulmonary Granulomas in Which Varicella-zoster Virus DNA Was Demonstrated in a Thoracoscopic Lung Biopsy Specimen[J]. Internal Medicine, 2019, 58(14): 2101-2105.
6. Triebwasser J, Harris R, Bryant RE, et al. Varicella pneumonia in adults: report of seven cases and review of the literature. Medicine (Baltimore). 1967;46:409–420















































