例说中毒性白质脑病
临床上碰到脑白质病变的病因非常多,包括中毒性、遗传性、脱髓鞘、感染性、代谢紊乱、血管性、肿瘤性等。由于“异病同像”,脑白质病变诊断较困难,应拓宽鉴别诊断思路。
=========
患者,男,19岁,某KTV服务生。
同租室友发现其躺在淋浴间,清醒和睁眼但失语且语之不应而送至医院。
其室友述患者在就诊前1天称头痛。
患者父母述其发病前一天能正常说话。
患者既往体健,最近无疫苗接种史,近期无任何疾病。
询问吸毒史不详。
急诊室检查显示心动过速,126次/分;血压为154/82 mm Hg;体温为38.6°C。大汗淋漓,双侧手臂和腿上有红斑和丘疹性皮疹。意识状态评估显示嗜睡,语言检查显示全面性失语(不能说话也不能遵循简单指令)。运动检查显示躯干和四肢强直。
【问题1】鉴别诊断有哪些,初步诊治如何进行?
1 鉴别诊断
患者的临床特点是发热、肢体强直、自主神经功能紊乱和急性脑病,对于该患者鉴别诊断较复杂。
(1)细菌性或病毒性脑膜脑炎:鉴于发热和急性脑病的表现,重点需考虑细菌性或病毒性脑膜脑炎。
(2)中毒性脑病:如甲基苯丙胺、摇头丸或可卡因。
(3)恶性综合征(NMS)或5-羟色胺综合征:尽管缺乏反射亢进或自发性阵挛,但强直、发热和自主神经不稳定需要考虑恶性综合征(NMS)或5-羟色胺综合征。
(4)自身免疫性脑炎或急性播散性脑脊髓炎(ADEM)。对于自身免疫性脑炎,病程通常发展数天至数周,对于该患者显得进展过快。
(5)多灶性血管病:在无其他局灶性优势半球功能障碍的情况下,单个脑血管病变不可能解释全面性失语,但多灶性血管病需考虑,如原发性或药物性血管炎。
2 辅助检查
实验室检查显示白细胞计数为28 × 10^9/L,肌酐为3.0 mg/dL,肌酸激酶为688 IU/L。
尿毒理学测试可卡因代谢产物呈阳性(当地警局配合检测)。
头部CT检查未见明显异常。
腰椎穿刺显示脑脊液轻度淋巴细胞性细胞增多,白细胞计数为19×10^9/L,但红细胞、蛋白质和葡萄糖正常。革兰染色阴性。包括单纯疱疹病毒1和2在内的感染性检测未见明显异常。
3 经验性治疗
该患者接受了经验性阿昔洛韦、头孢曲松和万古霉素治疗,以覆盖感染性脑膜脑炎的典型病因。
复查肌酸激酶显示升高至11000 IU / L。在持续强直和自主神经不稳定的情况下,患者还开始接受丹曲林经验性治疗,以应对可能的恶性综合征(NMS)。经几天治疗,其发热和强直有所改善,但仍有脑病表现和全面性失语。
【问题2 】根据上述结果和临床过程变化,下一步如何修正鉴别诊断?进一步进行哪些检测?
修正鉴别诊断
(1)随着系统性疾病的缓解以及可卡因的代谢,而严重脑病持续的存在,需要考虑器质性中枢神经系统病变。
(2)尽管相关检查为阴性,但仍需考虑感染性脑炎;抗菌药物的使用并未能改善脑病,因此细菌性脑炎可能性较小。
(3)脑脊液细胞数增多支持炎性病因,如ADEM或自身免疫性脑炎。
(4)中枢神经系统血管炎,特别是在可卡因使用的情况下需要考虑。
(5)尿检可卡因,中毒性白质脑病需考虑。
进一步检查
(1)抗核抗体滴度为阳性,但全面的血清自身免疫性和血管炎检测未见明显异常。
(2)入院后第4天进行的第二次腰椎穿刺再次显示淋巴细胞为主的细胞增多,但感染性检查仍为阴性。
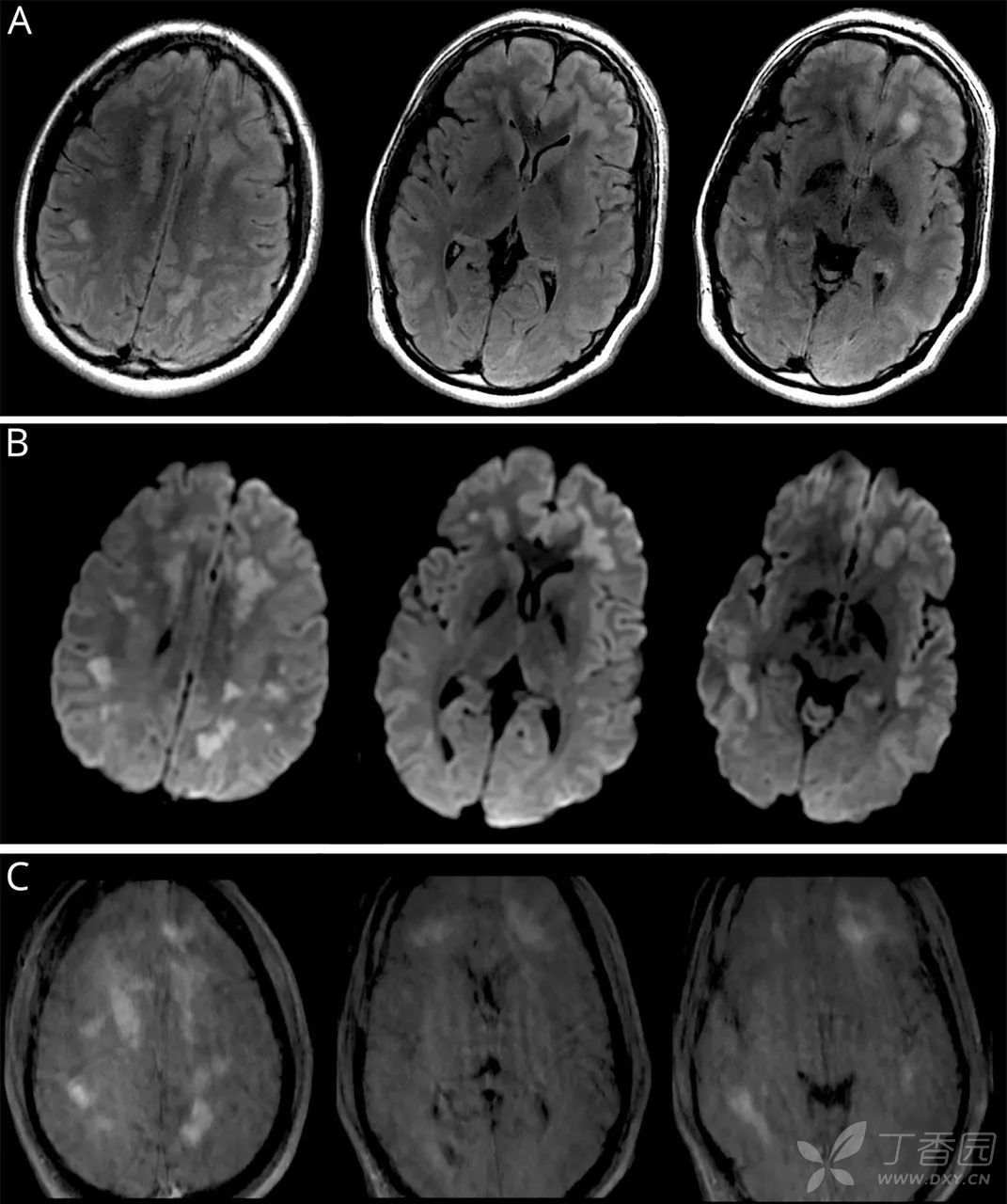
(3)入院第8天进行MRI增强扫描显示皮质下白质卵圆形FLAIR高信号病灶(图A),伴弥散受限(图B)和中度增强(图C)。颅内外血管造影正常。

图 患者发病时的MRI影像结果。轴位T2 /FLAIR图像(A)显示双侧皮层下白质中有多个不规则和卵圆形高信号病灶;DWI(B)显示弥散受限;T1增强(C)显示病灶强化。
【问题3】最终诊断与治疗方案如何?
MRI结果高度提示炎症性白质脑病。
(1)急性播散性脑脊髓炎(ADEM)需考虑,但考虑到伴随的全身症状和MRI表现,可能性不大。急性播散性脑脊髓炎(ADEM)可能为双侧性,但通常不对称,并且通常在病灶周围出现弥散受限,而非整个病灶。
(2)自身免疫性脑炎通常好发于颞叶内侧,几乎无弥散受限,与该患者的影像学表现不一致。
(3)而鉴于血管造影正常以及病灶分布特点,可卡因诱发的血管炎可能性较小。
(4)根据文献
Vitt JR, Brown EG, Chow DS, et al. Confirmed case of levamisole-associated multifocal inflammatory leukoencephalopathy in a cocaine user. J Neuroimmunol, 2017;305:128–130.
考虑到可卡因尿检阳性、皮疹和伴NMS样表现,最可能的诊断是摄入掺杂有左旋咪唑的可卡因导致的左旋咪唑诱发性毒性白质脑病。
治疗的调整
该患者接受了1000mg的IV甲基强的松龙的治疗,为期5天,出院后不久就开始康复。入院后2个月的随访显示无明显的功能缺陷;复查头颅MRI显示持续的T2高信号,但弥散受限和增强消失。
【4】左旋咪唑所致的急性脱髓鞘性脑炎临床特点及诊断标准
总结其临床表现分为两期:
第1期为驱虫药不良反期,表现为头痛、周身酸痛、乏力等一般感冒样症状:
第2期为脑病期,可出现不同程度的意识障碍、精神异常、癫痫样发作及神经系统定位体征。
这就不难理解患者室友转述患者来诊前一天为什么头痛。
目前对于左旋咪唑所导致的急性脱髓鞘性脑炎的诊断标准为:
①病前1~6周有明确的服用左旋咪唑药物史;
②急性或亚急性起病;
③有弥漫性大脑或脑干受累的症状和体征;
④头颅CT及MRI符合脱髓鞘脑病的特点;
⑤脑脊液正常;
⑥脑电图中度以上异常,与病情轻重有关;
⑦中枢神经系统自身免疫反应与服药剂量无关,与个体过敏体质有关;
⑧皮质激素治疗有效。
========
病例述评
【1】毒品掺假物:毒上加毒
左旋咪唑是一种咪唑衍生物,用作寄生虫治疗。由于粒细胞缺乏症,它在2000年代初被美国食品药品管理局(FDA)撤出美国市场,但最近显示其是可卡因的常见掺假物。根据美国药物管制局的估计,可卡因样品于15年前首次被发现含有左旋咪唑;到2009年,69%的样品可能掺杂有左旋咪唑。
既往文献已有关于左旋咪唑相关的多灶性炎症性白质脑病(MIL)的报道,常表现为亚急性局灶性神经功能缺损、脑病和失语症,摄入后几天至几周发病。
同时,应告诫患者不要再次接触左旋咪唑,以免再次出现脑病(类似于致敏,后发生迟发性脑病)
【2】本例脑病的临床推理
对于该患者,很可能是由于可卡因的直接毒性作用导致类似恶性综合征(NMS)的急性表现,而恶性综合征(NMS)缓解后的迟发性脑病是由于炎症性脱髓鞘反应所致;左旋咪唑在摄入后仅39小时就可检测到。
【3】疑似吸毒的临床检验面临的挑战
急诊接诊疑似吸毒者,而精神活性物质尿检并不是检验科的检查项目,如何高效地解决这个问题,迅速获得是否吸毒以及吸毒类型是个问题。
最后,这个病例告诫我们,珍爱生命,远离毒品。















































