AVG血栓介入治疗——超声引导下导管溶栓+球囊扩张(三)

AVG导管溶栓的顺序,在我们中心是从静脉端开始。
在导丝的引导下,导管导丝配合,先将导丝头端越过静脉侧血栓的最下游端,到达无血栓的正常静脉管腔。
导丝通过血栓会不会有障碍?一般情况下,AVG血栓是急性形成,一般很松软,导丝穿过血栓通常没有困难,如果通不过可能是遇到狭窄、内膜隆起等阻碍。


然后导管跟进到达无血栓段,然后撤除导丝。这一例患者我们是使用PTA导管进行溶栓。
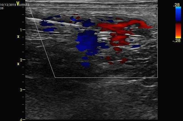
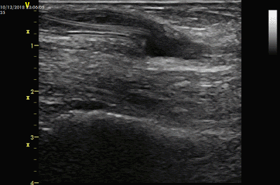
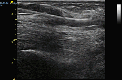
然后经导管内脉冲式注射溶栓药液。如下图。脉冲式注射的目的是希望喷射的药液有一定冲击力,对血栓有机械碎裂作用,这种作用在使用多侧孔溶栓导管更为明显。

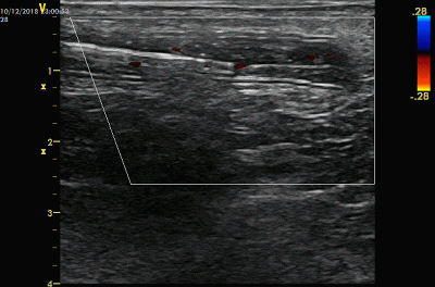
一边缓慢回撤导管,一步注射,直到鞘管部位。可以使用彩色多普勒观察药液喷射的信号。


然后再对动脉侧的血栓进行溶栓。
与静脉侧一样,导丝从另一个指向动脉的鞘进入,导丝导管配合,导丝越过动脉吻合口到达动脉,导管跟进。
指向动脉的鞘的置入也可以在静脉侧溶栓之后进行,这样在静脉侧溶栓时无鞘管的阻挡,而且再穿刺时,针体可以有溶栓药液的“回血”,更容易确认进入血管。


同样,一边回撤导管一边注射溶栓药液。需要注意的是,在靠近动脉吻合口注射药液时,注射的力度不要太大、速度不要过快,否则可能将血栓冲入动脉而引起远端动脉栓塞。
由于两支鞘是对向互指,这样经过两侧分别注射,AVG血栓的全程都已经接触到溶栓药液。
另外,在动脉侧注射时,静脉侧的溶栓药物可以有时间与血栓产生作用,已经相当于文献中经常提到的“lyse and wait”。尿激酶注射后纤溶酶的活性15min即可达到峰值。
经过这样的溶栓,血栓可以发生以下一些变化
部分血栓溶解成液体
部分大块血栓裂解成小块血栓
血栓变得松软
血栓当中出现一条“通道”,这是由于导管经过时的挤压和溶栓作用产生的

部分血栓溶解成液体,部分大块血栓裂解成小块血栓


经过溶栓,有的AVG血流恢复较好,有的则恢复较弱血流,也有的血流仍然未恢复。
但即使未恢复,溶栓造成的以上变化也是有助于下一步的球囊碎栓治疗。
另外,血栓中“通道”的出现不仅可以使得血流初步恢复,而且在接下来的球囊扩张时可以成为一个“泄压”通道,即在球囊扩张时对两侧血栓的挤压产生的占位效应和压力可以通过该通道减轻,减少两侧血栓的移位,这一点在动脉吻合口尤为重要,减少血栓脱落进入动脉远端的风险。
(版权所有,严禁盗用)
















































