治疗这例急性左心衰,我翻遍了国内外 6 部指南
治疗这例急性左心衰,我翻遍了国内外 6 部指南
心血管疾病 · 病例讨论
作者:李勇
单位:苏州市立医院
来源:心血管时间公众号
急性左心衰的治疗,不是简单的「强心、利尿、扩血管」就可以解决的,下面就跟着笔者实战这例合并了 11 个诊断、翻遍国内外 6 部指南的急性左心衰~
简要病史
69 岁男性,因咳嗽气喘 1 天入院。
否认冠心病史,三年前诊断高血压、糖尿病、肾功能不全。平时长期口服美托洛尔缓释片、硝苯地平、引哒帕胺降压;诺和锐降糖;因双下肢水肿而间断口服布美他尼。近 1 年有反复便血史,自服制酸剂,未进一步诊治。
入院查体
T:36.6℃,P:112 次/分,R:25 次/分,BP:150/94 mmHg,脉氧 70%(面罩吸氧 15L/min)神志清,精神萎靡,营养一般,颈静脉无怒张,肝颈静脉回流征(-),双肺呼吸音粗,双肺可闻及干、湿啰音。心率 112 次/分,律齐,双下肢轻度浮肿。
辅助检查
血气分析:FiO2 61%,PH 7.26,PO2 47 mmHg,PCO2 39 mmHg,HCO3- 17.5 mmol/L,BE 8.8 mmol/L。
NT-proBNP:>35000 pg/ml。
血常规:WBC 15.02*109/L,N% 89.4%,Hb 79 g/L,CRP 35 mg/L。
急诊生化:总蛋白 59 g/L,白蛋白 27.7 g/L,AST 142U/L,ALT 157U/L,BUN 45.68 mmol/L,Cr 207 μmol/L,肌酸磷酸激酶 49 IU/L。
ECG:窦性心动过速,左前分支阻滞,ST-T 改变。
胸部 CT:双肺炎症,两侧胸腔积液伴两肺下叶膨隆不全,主动脉硬化。
UCG:EF 36%,左房稍增大,左室壁稍增厚,二尖瓣、三尖瓣轻中度反流,轻度肺动脉高压,提示右房压增高,左心室收缩功能减退,左室松弛性下降,少量心包积液。
入院诊断
1. 心力衰竭(射血分数降低的心衰,HFrEF)2. 重症肺炎 3. 1 型呼吸衰竭 4. 双侧胸腔积液 5. 慢性肾功能不全 6. 高血压病 7. 2 型糖尿病 8. 中度贫血 9. 低蛋白血症 10. 肝功能异常 11. 消化道出血。
入院后予利尿、扩血管、降压、抗感染等治疗,入院当天出现胸闷气急加重,伴脉氧进一步下降而行气管插管机械通气治疗。入院第 6 天,病情好转拔管脱机。治疗一帆风顺波澜不惊。
但在入院第 11 天夜间,患者胸闷气喘突然加重,伴血压升高,脉氧 86%,心率 130 次/分,两肺广泛哮鸣音、湿罗音。随即予速尿推注,硝酸异山梨醇 2 mg/h 泵入,无创通气,胸闷气喘有所好转。
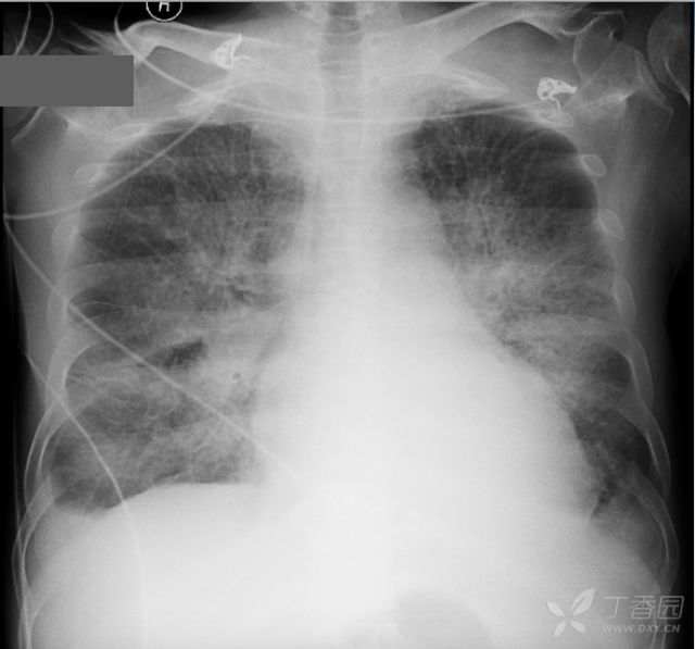
入院第 12 天,患者胸部正位片显示:「蝴蝶影」(图 1)。并在随后几天患者仍有明显胸闷气急,病情并无明显好转。

图 1. 入院第 12 天的床旁胸片,呈典型的「蝴蝶影」
第 14 天查房时发现,患者床上进食时胸闷气喘明显加重,血压 150/90 mmHg,呼吸 25 次/分,心率 130 次/分,硝酸甘油 133 μg/min 泵入中,速尿泵入中,间断无创通气,脉氧 100%。近 24 小时入量 2036 ml,出量 1450 ml,心率 103~126 次/分,血压 117~154/72~96 mmHg,呼吸 18~26 次/分。病情反反复复,治疗困难重重,突破点在哪里?
问题一:住院期间再次出现急性左心衰加重,其主要原因是什么?
当天又是输血,又是输白蛋白,入量明显增加,当天尿量又偏少,是容量管理出了问题!
中国心力衰竭诊断与管理指南 2018
- 肺淤血、体循环淤血及水肿明显者应严格限制饮水量和静脉输液速度。
- 无明显低血容量因素(如大出血、严重脱水、大汗淋漓等)者,每天摄入液体量一般宜在 1500 ml 以内,不要超过 2000 ml。
- 保持每天出入量负平衡约 500 ml,严重肺水肿者水负平衡为 1000~2000 ml/d,甚至可达 3000~5000 ml/d,以减少水钠潴留,缓解症状。
- 3~5 天后,如肺淤血、水肿明显消退,应减少水负平衡量,逐渐过渡到出入量大体平衡。
- 在负平衡下应注意防止发生低血容量、低钾血症和低钠血症等。同时限制钠摄入<2 g/d。
反思入院后的治疗方案,容量管理的确不到位,应该每天计算出入量,限制摄入液体量。
问题二:米力农,用 vs 不用?
心衰的治疗有个耳熟能详的经典口诀:「强心、利尿、扩血管」,号称心衰治疗的「三板斧」。目前利尿扩血管已经上了,还有一板斧,强心要不要上?本着刨根问底的治学原则,作者深入学习了国内外的多个心衰指南,发现心衰的治疗并不是那么简单的。
先简单介绍一下急性心力衰竭(acute heart failure, AHF),AHF 是由多种病因引起的急性临床综合征,心衰症状和体征迅速发生或急性加重,伴有血浆利钠肽水平升高,常危及生命,需立即进行医疗干预,通常需要紧急入院。
急性心衰是年龄>65 岁患者住院的主要原因,大部分为原有慢性心衰的急性加重,即急性失代偿性心衰,约 15%~20% 为新发心衰。
急性心衰预后很差,住院病死率 3%,6 个月的再住院率约 50%,5 年病死率高达 60%。急性心衰分为急性左心衰竭和急性右心衰竭,以前者最常见,而急性右心衰相对少见,诊治还有很多的未知。
1. 急性心衰分型
急性心衰的治疗前一定要评估有无淤血及低灌注。根据是否存在淤血(分为「湿」和「干」)和外周组织低灌注情况(分为「暖」和「冷」)的临床表现,可将急性心衰患者分为 4 型(图 2):
「干暖」、「干冷」、「湿暖」和「湿冷」,其中「湿暖」型最常见,大多数急性心衰患者表现为收缩压正常或升高(>140 mmHg,高血压性 AHF),只有少数(5%~8%)表现为收缩压低(<90 mmHg,低血压性 AHF)。

图 2. 急性心衰的分型
2. 相应的治疗决策(图 3)

图 3 急性左心衰竭治疗流程图
3. 在该病例中的应用
回到本病例,患者的急性心衰应该属于湿暖型,伴有血压升高,归于其中的血管型(血压升高),药物治疗应该以血管扩张药+利尿剂为主。
2018 澳大利亚新西兰心衰诊治指南
- 对于 AHF 伴淤血者,推荐静脉袢利尿剂以纠正液体过负荷改善症状(强推荐,低质量证据);
- 利尿是急性心衰的一线治疗,有利于缓解淤血症状,但应在合适的灌注与血压建立后才能使用利尿剂。
- 至于利尿剂是静注,还是输液、泵注,目前的研究认为都可以。如患者原有口服利尿剂的,则静脉用剂量应不少于平时口服剂量(速尿的口服生物利用度是 50%,口服 20 mg 与静注 10 mg 相当)。
此时有专家会诊建议上米力农,米力农要不要上,这是个问题。
米力农属于正性肌力药物,查阅急性左心衰竭治疗流程图,正性肌力药物仅适用于低灌注情况下,所以本病例并无应用指征。
2016 欧洲心衰诊治指南
- 正性肌力药物应在心输出量严重减少致重要脏器灌注不足时使用,此常发生于低血压性急性心衰;
- 正性肌力药不建议用于低血容量性急性心衰或其它可纠正的低血压性急性心衰;
- 正性肌力药尤其是肾上腺素机制类的,可致窦性心动过速,诱导心肌缺血与心律失常,因此使用时需要心电监护;
- 可能增加死亡率,所以应从小剂量开始,严密监测下逐步上调。
2018 澳大利亚新西兰心衰诊治指南
- 急性心衰伴有外周低灌注的症状体征(通常伴有收缩压<90 mmHg)、经其它治疗仍反复淤血,可用静脉正性肌力药物改善症状及终末脏器功能(弱推荐,非常低质量证据);
- 对于无外周低灌注的症状体征、除非是经其它治疗仍反复淤血的,应避免静脉正性肌力药物(强推荐,低质量证据)。
2014 英国 NICE 急性心衰指南
- 急性心衰不应常规使用正性肌力药或缩血管药物;
- 伴有可逆性心源性休克的急性心衰,可考虑使用正性肌力或缩血管药物。
所以目前强心指征不足,治疗上应加强容量管理,进一步加强利尿、扩血管等治疗。
问题三:氧合改善后,是否仍需吸氧?
临床上对于危重病人,无论有无缺氧呼吸困难,很多情况下我们自然而然、习惯性地给予吸氧。吸氧可以改善低氧,纠正低氧血症,如果心衰患者的氧合情况已经好转,脉氧已基本正常,是否仍然需要吸氧?
2016 欧洲心衰诊治指南
- 推荐监测经皮血氧饱和度(SpO2)(I C);
- 急性心衰 SpO2<90% 或者 PaO2<60 mmHg 时,应予氧疗以纠正低氧血症(I C);
- 患者有呼吸窘迫(呼吸频率>25 次/分,SpO2<90%)时,应尽快予以无创正压通气(CPAP,BiPAP),以减轻呼吸窘迫并降低气管插管率(IIa B);
- 无创正压通气可降低血压,对于低血压患者应谨慎。治疗期间应常规监测血压(I C)。
2018 澳大利亚新西兰心衰诊治指南
AHF 时氧疗仅用于 SpO2<94% 时(强推荐,非常低的证据级别)
- 过去推荐氧疗,认为可以缓解症状,并可增加组织氧输送,特别是在心肌缺血时;
- 最近的一些研究却发现对于非低氧患者氧疗可致血管收缩(包括冠脉收缩)、心输出量减少,并可能有氧自由基损伤
所以对于急性心衰患者吸氧要有指征,要有个度,氧合改善后,脉氧在 94% 以上时无需继续吸氧,不能盲目吸氧!
问题四:急性左心衰时,阿司匹林是否需要继续使用?
阿司匹林对于动脉粥样硬化性心血管疾病有一级与二级预防作用,目前临床使用非常普遍,但阿司匹林并不是心衰的治疗药物,《中国心力衰竭诊断和治疗指南 2018》全文未提及阿司匹林,很多患者长期服用阿司匹林,急性心衰时是否需要继续服用阿司匹林?需要一分为二的看待这个问题。
2017 年欧洲急性 ST 段抬高型心肌梗死诊疗指南
- 对于无禁忌证的患者,推荐尽早口服或静注阿司匹林(I,B);
- ST 段抬高型心肌梗死后维持抗血栓形成策略:推荐低剂量阿司匹林(75~100 mg)抗血小板治疗(I,A)。
2016 欧洲心衰诊治指南
有害:对于现有或既往有 HFrEF(EF 下降的心衰)症状的患者,对临床状态有潜在危害、有不良作用的药物应尽可能避免使用或停药,如绝大多数抗心律失常药物、绝大多数钙通道阻滞剂(氨氯地平除外)、NSAIDs、噻唑烷二酮(B 级证据)。
NSAIDs 类为何对心衰有害?
2016 AHA 声明:可能引起或者加重心衰的药物
NSAIDs 与 COX-2 虽无直接的心肌毒性,也并不加重心肌功能障碍,但可诱发心衰(B 级证据),而且是即刻起作用,其可能的机制是抑制前列腺素导致水钠潴留、增加全身血管阻力并降低对利尿剂的反应性。
阿司匹林对于动脉粥样硬化性心血管疾病有一级与二级预防作用,急性心衰时再一级二级预防,远水解不了近渴,预防意义已经不大;但阿司匹林属于 NSAIDs 类,诱发加重心衰的风险却不容忽视,权衡利弊,急性心衰时如非特别需要(如合并急性心梗),还是不用为妙。
该患者的后续治疗
加强利尿、扩血管、降压,严格限制摄入液体量后,患者病情很快好转,转出了 RICU。
总结
急性左心衰的诊断分型应该规范化,治疗应该个体化,不能一概而论的套用「强心利尿扩血管」这个「江湖诀」。每一个急性心衰病例都需要仔细地评估分型、针对性治疗,严密监测观察病情变化,严密观察病情变化及时调整治疗方案。只有认真学xi国内外的指南,掌握其精髓,才能提高急性心衰的抢救成功率。
















































